
患者右下后牙龋坏,残根1年未治疗。患者要求种植修复治疗。
手术方案:拔牙后即刻种植+延期修复。

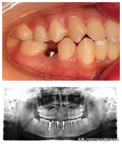
术前,45牙残根 颊侧肉芽组织覆盖

术中,植入1颗种植体颊面观,给与愈合基台覆盖

种植体术后3月颊面观可见种植体愈合良好,X线片可见,种植体位置、角度、深度控制良好

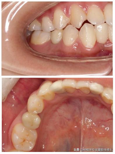
术后修复效果,可见修复体位置及形态良好

术后X线片显示种植体位置好,修复体形态恢复良好
牙齿缺失的危害:
面颊部及周围肌肉萎缩,加速面部衰老,造成牙槽骨萎缩,邻牙失去依靠长歪,松动脱落,牙缝增大,牙龈萎缩,引发龋齿、牙周炎等口腔疾病,丧失咀嚼功能,引发肠胃疾病,长期缺牙导致口齿不清,影响发音。
牙齿美是容貌美的重要部分,有健康美丽的牙齿支撑起唇颊部,面型才会丰满,口角轮廓及面部长度才会更加协调。