
图片说明:手术后,陈陆馗主任为民仔进行神经系统检查。
“出院以后我不敢再玩手机游戏了,奉劝各位不要玩手机”。12岁男孩民仔(化名)因迷恋上了“王者荣耀”游戏,在一次长时间玩游戏后出现了头晕、头痛、呕吐不适,送至医院后检查发现颅内长了一个鸽蛋大的混合型生殖细胞肿瘤,而且出现了明显的脑积水。2月22日,南方医科大学中西医结合医院神经外科主任陈陆馗团队为民仔进行了肿瘤切除,目前民仔已无任何头痛、呕吐等不适,正在进一步康复中。
男童玩游戏后头晕呕吐被送进急诊
“喜欢玩王者荣耀、和平精英,一般玩1.5小时左右,玩的时候是有一些头痛”,梅州丰顺县的12岁男孩民仔是一名小学六年级的学生。三年前他迷恋上了“王者荣耀”游戏,在寒暑假或周末不用上学时,他总会长时间的玩游戏、刷抖音、快手。每次玩完游戏后,时不时出现眼花、头晕、头痛等不适,父母以为孩子因为玩游戏劳累过度了,劝其休息,未特别重视,仅仅涂抹一些“万金油”简单处理。“他平时也喜欢吃不健康的食物,我们以为小孩上火了,就带他到小诊所打点针开点药,没有到医院做CT之类的检查。”民仔妈妈说。
2月2日晚上,民仔在家照常和小伙伴们一起玩“王者”,当玩得兴高采烈时,又出现了头晕、头痛、呕吐不适,他妈妈赶紧拿来神药“万金油”,但这次“万金油”不管用了,民仔差点昏迷过去。这时民仔父母赶紧开车把小孩送到附近的人民医院,急诊行颅脑CT检查发现颅内松果体区占位,梗阻性脑积水。在当地医院治疗了将近半个月,虽然民仔神志已清醒,但仍出现剧烈头痛、呕吐,父母看着频繁呕吐、日渐消瘦的民仔,心情焦急万分。
原因不简单,竟是颅内长了肿瘤
经多方打听,民仔父母于2月16日大年初五急急忙忙把民仔送往广州南方医科大学中西医结合医院神经外科寻求进一步治疗。“小孩那天头痛很严重,总是沉睡的样子,迷迷糊糊老想睡觉。我们就赶紧把他送到广州治疗。”民仔妈妈说。
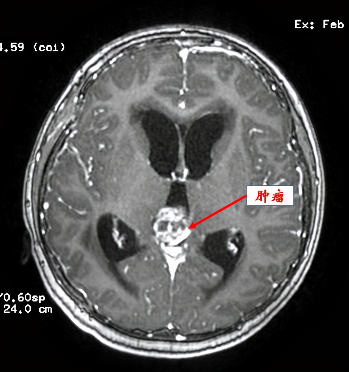
“刚来时小孩精神疲倦,不能进食,很痛苦。我们急诊给他查了CT和核磁共振,发现在颅内松果体区和第三脑室后部有一个鸽蛋大的肿瘤,而且病人出现了明显的脑积水。”陈陆馗说,民仔入院当日,我们为他行“右侧脑室钻孔引流术”,先快速解除脑积水,降低颅内高压。术后当晚,民仔精神状态较前明显改善,头痛、呕吐症状缓解,可进食流质。

图片说明:术前MRI显示松果体区及第三脑室后部肿瘤。
在做好充分术前准备之后,神经外科陈陆馗主任团队于2月22日给民仔进行了枕部开颅松果体区及第三脑室后部肿瘤切除术,肿瘤切除后,完全恢复了脑脊液循环通路,拔除了脑室引流管。病理报告显示是混合型生殖细胞肿瘤。

图片说明:术后MR显示松果体区及第三脑室后部肿瘤已全切。
“现在躺在病床上不敢玩手机了,以后也不敢玩了。”目前民仔病情较前明显好转,已无任何头痛、呕吐等不适,他深刻认识到玩游戏的危害。
反复头晕、头痛、呕吐是身体“求救”信号
陈陆馗指出,松果体区肿瘤主要包括生殖细胞肿瘤和松果体实质细胞肿瘤。松果体细胞瘤多见于成年人,在儿童多为生殖细胞肿瘤和松果体母细胞瘤。病程长短不一,取决于肿瘤的病理组织学类型、生长位置和体积大小。
“早期主要表现为头晕、头痛、呕吐等颅高压症状;随着肿瘤的增大扩展、压迫到邻近神经结构,患者会出现一系列症状,包括眼球活动障碍、视野缺损、耳鸣、听力减退、醉酒步态、多尿、肥胖、嗜睡等,儿童甚至出现第二性征改变或性早熟。”陈陆馗提醒,反复头晕、头痛、呕吐等表现是不健康的信号,是身体在向我们“求救”,应及时到正规医院就诊,不能疏忽大意,更不能迷信偏方,耽误病情。
温馨提示:青少年避免熬夜玩游戏导致过度疲劳
陈陆馗提醒,儿童青少年要注意作息规律,保证充足的睡眠,避免熬夜玩游戏导致过度疲劳,影响生长发育和学业,建议遇到不适及时要及时就诊。
“另外,肿瘤可防可治不可怕。大部分颅内肿瘤通过手术治疗可彻底根治;部分恶性肿瘤通过手术及综合治疗方法,可以实现延长生命、提高生活质量的目标;不要误以为肿瘤就是绝症,自暴自弃,错失治疗良机。”陈陆馗说。
通讯员:姚土超、朱钦文
责编:郭静
图片:通讯员提供
文字校对:郭静