哥伦比亚大学和纽约长老会的研究人员已经开发出一种可植入的泵,可以持续地将化疗药物直接送入大脑以对抗难以治疗的癌症。在一项1b期试验中,患者能够在进行日常活动的同时接受治疗。

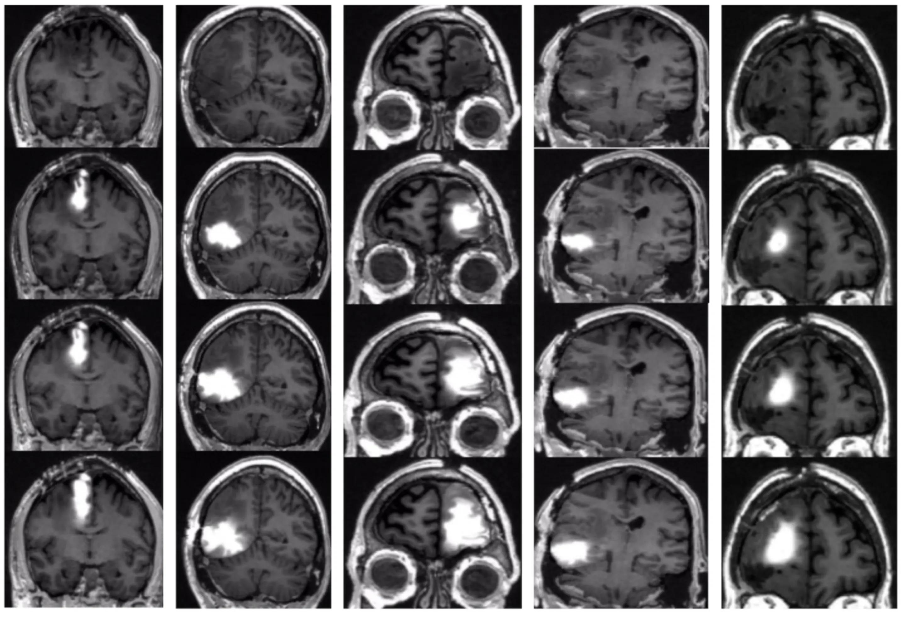
五名患者的脑部扫描,在治疗前(从上到下),以及治疗后14、24和48小时,显示了他们肿瘤周围的化疗药物浓度。图/杰弗里-布鲁斯 哥伦比亚大学欧文医学中心
供应大脑的血管对于哪些分子能够通过是非常有选择性的。虽然这种血脑屏障对于阻止微生物和外来物质进入大脑很重要,但不幸的是,大多数药物也被挡在外面。这包括口服或静脉注射的脑癌化疗药物,这些药物只能以低浓度渗透到大脑中。
绕过这道屏障是一个关键的研究领域,科学家们发现有希望使用磁性纳米粒子或超声波脉冲暂时撬开这道屏障,或者使用能够滑过防御系统的新药物载体。
在这项新的研究中,研究小组测试了一个可植入的泵系统,它能将化疗药物直接送入大脑。首先通过手术将一个小型泵植入患者的腹部,然后将一根细长、灵活的导管从皮肤下送入大脑中肿瘤所在的部分。研究人员表示:
我们的想法是,这个泵可以或多或少地无限期地继续输送药物。它可以通过无线方式打开或关闭,并根据需要用针头补充。这种治疗的性质也意味着患者可以在接受治疗的同时像往常一样生活,甚至不会意识到泵何时开启或关闭。
该研究的资深作者杰弗里-布鲁斯说:"如果你非常缓慢地泵入药物,实际上是每小时几滴,它就能渗透到脑组织中。最终进入大脑的药物浓度比静脉注射或口服可能得到的药物浓度高1000倍。该泵可以长时间停留在原地,因此我们可以直接向大脑提供更高的化疗剂量,而不会产生口服或静脉注射化疗的副作用。"
在人体试验中,五名复发性胶质母细胞瘤患者接受了这种泵的植入,它输送化疗药物拓扑替康以及一种称为钆的追踪剂,因此科学家们可以测量药物的浓度和分布。患者连续接受了四次为期一周的治疗,泵开启两天,关闭五天。
治疗后几天的核磁共振扫描显示,化疗药物成功饱和了肿瘤和周围区域。治疗后的活组织检查显示,活跃的肿瘤细胞数量明显减少,而没有影响健康的脑组织。而且重要的是,没有病人出现严重的神经系统并发症。
尽管这项试验很有希望,但该团队表示,到目前为止测试的病人数量太少,无法证明其生存优势,但未来的试验将进一步调查,包括对疾病早期阶段的病人进行测试。
该研究发表在《柳叶刀肿瘤学》杂志上。