阳光讯( 孙天磊 记者 郑亚雷)近日,长安区医院骨科三病区邢科主任医师团队成功治疗一例恶性骨肿瘤患者,这也是该院首例骨恶性肿瘤瘤段切除3D打印定制假体修复重建髋关节术,患者术后恢复良好,目前已顺利出院。
68岁的魏阿姨因间断右大腿疼痛1年余,曾多处就诊治疗,反复发作,严重影响日常生活。经打听长安区医院骨科三病区邢科主任擅长骨肿瘤的诊治,患者遂前来该院找邢科主任就诊。
邢科主任在门诊仔细看了患者自带的X片后,感觉这是一个恶性骨来源肿瘤,遂将患者收住院进一步检查。经过入院完善影像学检查,初步判断为骨内软骨肉瘤,一种骨组织来源的高度恶性肿瘤,临床诊断分期为右股骨近端软骨肉瘤。骨软骨肉瘤对放疗化疗均不敏感,外科手术完整切除是目前常用的治疗手段。谨慎起见,先安排在局麻下取了少许病变组织活检,病理诊断与临床诊断一致,准备手术治疗。

考虑到患者体型瘦小,目前市场可以提供的骨肿瘤假体昂贵笨重且难以有患者匹配的型号,邢科主任医师决定利用3D打印技术为患者设计个体化肿瘤假体的方案,经与患者沟通后,患者家属支持定制假体,一边先行让患者出院回家休养,一边紧锣密鼓的进行定制假体准备工作。
邢科主任与工程师收集影像资料,首先打印出等比例病变股骨全长模型,按影像学信息及肿瘤切除边界原则设计出切除范围,根据残留的一半股骨髓腔直径等确定假体固定方式,设计中考虑到以往肿瘤假体容易出现的固定问题并进行了改良,采用了骨外生物固定结合髓内骨水泥固定的“双保险”固定模式,以及软组织重建过程中需要的微孔,精准截骨的截骨导板等。随后利用国庆假期反复沟通修改方案,为了更好保护髋关节,最终确定钛合金为原料,减重微孔设计外表涂层的定制肿瘤重建假体+机制人工双动股骨头的复合重建模式。设计方案基本成形后,邢科主任将方案发给科研合作的西工大某材料团队工程师进行了结构设计完善,同时电脑测试强度,硬度,抗疲劳及弹性模量等力学指标,最后交付医疗设计团队前进行全面测试,假体所需各项力学指标均可达到要求后才定制出最终产品。

假体定制基本完成后,患者二次住院,按科研手术上报医务科及科教科。为保证手术安全进行,邢科主任专门向药剂科申请了术中减少出血的氨甲环酸以保障了手术顺利进行。10月13日在硬腰联合麻醉下行手术治疗。在麻醉手术部的共同协作下,邢科主任医师带领孙天磊主治医师、赵爱国主治医师及张博杰医师共同完成手术,一切按计划进行,手术用时3小时。术中良好的麻醉效果及控制性降压加上熟练的解剖和止血技术,术中出血仅200ml,术后引流不到100ml。
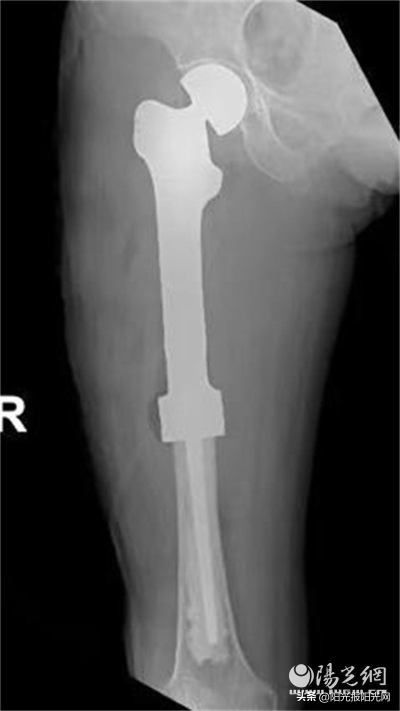
患者术后没有任何不适,恢复良好,未输血。术后拍片显示3D打印假体按计划植入,髋臼匹配良好。术后3天患者可坐起,术后1周患者可下地行走功能锻炼,术后2周可基本自主扶拐活动。2周间断拆线后出院。

恶性骨肿瘤的手术及关节重建是骨科手术的难点和雷区,3D打印定制假体治疗一般都是国内著名三甲医院骨肿瘤科开展,花费也比较贵。借助3D打印,以及邢科主任较早对此领域积累的技术力量,该院骨外科三病区让患者两次住院花费合计不到5万元即完成了这种个性化设计和治疗。过去对于普通家庭遥不可及的新科技治疗手段,在该院和科室的共同努力下正在让越来越多的群众受益。