辽宁的患者鲁先生,今年35岁。十几岁的时候就因蛛网膜囊肿做过手术,身体内一直有一根管子,术后多年一直生活得小心翼翼,但在母亲精心照顾下顺利平安地长大。直到两年前,鲁先生突然出现头晕,头痛,呕吐的情况,打破了这份平静,到当地医院就诊后,因有十几年的高血压病史,便开了降压药,服用后症状并没有好转。

随着病情的加重,鲁先生的眼睛和左侧肢体也出现了异常,眼睛视物重影,左侧肢体麻木,于是再次就诊当地医院,医生考虑蛛网膜囊肿分流管路过度分流,进行了分流阀置换术和分流管颅内段调整术的治疗,之后症状有所缓解好转。但是近来又开始出现头晕、头痛的症状,为了寻求更好的治疗,鲁先生在家人的陪伴下来到了北京航空总医院肖庆主任的门诊。

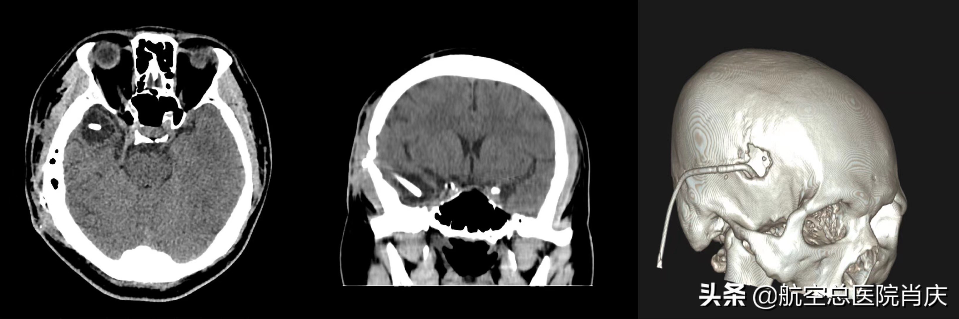
术前
鲁先生入院后完善各项检查,肖庆主任团队详细了解患者病史,并根据患者的个人情况制定了个性化治疗方案。虽然患者从小便经历了大小手术,但作为患者的母亲依然紧张万分,肖庆主任耐心与患者和家属沟通,讲解治疗方案,安抚他们焦虑紧张的心情,使患者可以在一个平和的情绪环境中进行接下来的治疗。

术后
按照治疗方案,先进行间断腰椎穿刺放液缓解症状,腰穿压力均大于330mmH2O,脑脊液化验未见明显异常。随后在局麻下进行分流管调整术,外置原分流管腹腔端,仍间断出现头部胀痛,可疑原颅内段位于蛛网膜下腔内引流所致疼痛。于是在全麻下行分流管调整术,将颅内端分流管调整至脑室囊腔内,并去除原分流阀同时留置长程引流,术后经过对症治疗,患者情况开始好转。鲁先生入院一个月后,肖庆主任团队为其做了脑脊液分流术,术后一周复查头颅及腹部CT示管路位置满意,无明显室旁水肿,患者之前的症状消失,恢复得非常顺利,历时51天的治疗后已经可以出院休养。患者鲁先生和家人非常感谢肖庆主任的专业治疗,一直感慨终于找对了医生!