
1、GGN or GGO是什么东西?
答:肺毛玻璃样结节影(GGN)指存在于肺内的局灶性密度增高影,但其密度又不足以掩盖经过其的支气管血管束,状似门窗磨砂玻璃而得名。肺毛玻璃样密度影(GGO)是指肺内浸润性病变阴影,其密度均匀,状似毛玻璃。
2、它们是怎么出现的?
答:1.肺泡的气腔内有液体(如水肿)或出血,导致CT值增加;2.肺间质因炎症、水肿、纤维组织增生或因肿瘤等原因而增厚时,造成每个像素内“组织”量增多而空气量相对减少,CT值亦随之增加;3.在呼气终末时,肺泡内空气量减少,肺间质虽正常但单位像素内肺泡壁的数目增加,亦可造成毛玻璃样密度。
3、它们都长什么样?

▲图1 GGN的Suzuki分类(A.均匀一致的毛玻璃样密度;B.半实变密度,均匀一致;C.晕征不均一超过50%;D.混合密度,不均一超过50%;E.实性/毛玻璃样密度<50%;F.纯实性)
病因诊断之一:良性病变
诊断标准

病因鉴别
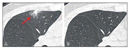
局灶性间质纤维化或机化性肺炎这是造成非肿瘤性GGO的主要病变(图2、3),局灶性间质纤维化在相当长时间的随访中可没有任何变化,CT上的特征和肿瘤性GGO可以非常相似。然而,大多数局灶性间质纤维化表现有内凹的边缘及多边形的外形,有助于与恶性肿瘤鉴别。此外,局灶性间质纤维化病灶内可含有实性成分,此实性成分多与纤维化病灶和肺泡萎陷有关。

▲图2 患者男性,47岁。良性纯 GGO 结节。A.薄层CT扫描显示右上肺叶一个7 mm的纯结节GGO;B.薄层CT显示病变6个月后不减少或不消失。病理检查示局灶性肺间质纤维化

▲图3 A.CT平扫发现右上肺叶部分显示毛玻璃样密度结节,直径测量约17.64 mm,初步诊断为细支气管肺泡癌(BAC)可能,建议3个月随访观察。B.3个月后CT扫描图像显示GGN消失,证实为局灶性非特异性炎症
嗜酸细胞性肺炎
可由多种原因引起,其中单纯嗜酸细胞增多综合征及特发性嗜酸细胞增多症可表现为GGO结节,组织学上GGO反映了肺泡内渗出及纤维性改变伴有间质内嗜酸细胞浸润,其中心的实性成分符合嗜酸性细胞脓肿改变(图4)。

▲图4患者男性,37岁。A.薄层CT扫描显示右上肺叶一个27 mm、含实性密度的毛玻璃样结节影(GGN),边缘模糊,边界不清。检查患者血液嗜酸性粒细胞升高;B.3周后复查CT,病变消失
曲霉菌感染
通常表现为中心实性伴周围GGO(CT晕征)。CT晕征代表了与梗死相关的肺泡出血。曲霉菌感染有多种类型,只有血管侵袭性曲霉菌病可表现为GGO的肺结节影(图5)。

▲图5 A.经病理证实为曲霉菌病,边界不清的GGN。病变包括一些周边固体部分和少量的毛玻璃影;B.病理涂片可见曲霉菌落及肺泡内出血
其他
闭塞性细支气管炎伴机化性肺炎,为一种特发性病变,最常表现为双侧的GGO或实变,病变分布在支气管血管周围,可表现为单个/多个结节或肿块影,病变内可见空气支气管征。
胸内的子宫内膜异位或月经综合征亦可在CT上表现为GGO结节影。大多数患者有妊娠或妇产科手术史,所有的症状和体征均因肺内有异位的子宫内膜组织所致。症状与月经密切相关有助于本病的诊断。
此外,经支气管或经胸肺活检可造成局灶性创伤性肺损伤,随即表现为GGO阴影(图6)。肺隐球菌感染也可以表现为孤立或多发的肺结节,伴或不伴周围GGO阴影。

▲图6局灶性间质纤维化活检及肺损伤
病因诊断之二:癌前病变
非典型腺瘤样增生(AAH)
多数发生在上叶,可单发或多发。CT主要表现为纯毛玻璃密度影(GGO),通常病灶最大径≤0.5cm时,考虑为AAH(图7)。AAH一般为圆形或类圆形,边缘光滑,无实性成分,无毛刺、胸膜牵拉或血管汇集等征象,极个别案例发现大到1~2cm。

▲图7患者女性,54岁。AAH。薄截面CT扫描脉窗显示左上肺叶一个7 mm纯毛玻璃结节。病理显示肺泡壁增厚,内衬可见单层的非典型立方样肺泡
原位腺癌(AIS)
新分类中的AIS,在CT上通常表现为最大径≤3cm的纯毛玻璃结节灶(图8)。病理上AIS为局限性,肿瘤细胞沿肺泡壁呈鳞屑样生长,无间质、无血管或无胸膜浸润的小腺癌(≤3cm)。黏液AIS罕见,表现为一个单发实性结节。

▲图8 A、B为某患者左肺上叶两幅连续的CT轴位图像,图B是随访6个月后。图A显示一非实性结节,包含几个微小泡沫样的实性密度;包括图B在内的其他层面都表现为非实结节。手术后病理证实为AIS。如果连续随访的CT图像显示病灶的实性密度随时间推移不断增加,则说明AISAB是浸润性的早期征兆
微浸润腺癌癌(MIA)
包括非黏液MIA和黏液MIA。非黏液MIA可能会出现一个小的固体成分,相应的区域间质浸润测量<5mm,所以可表现为部分实性的GGN或一个纯的GGN(图9);黏液MIA更加少见,但主要以实性结节为CT表现。

▲图9患者女性,70岁。图A(轴向)及图B(通过右上肺叶冠状位)显示,主要表现为含有的固体成分中小于5 mm的GGN。病理证实为MIA
浸润性腺癌
鳞片状伏壁增长模式为主的浸润性腺癌通常表现为固体或部分实性结节,很少案例表现为纯GGN(图10);浸润性腺癌其余的亚型在CT上通常呈现固体或固体为主的结节,预后要明显差于鳞片状伏壁增长模式的浸润性腺癌,尤其是固体型和微乳头型。

▲图10患者女性,70岁。表现为纯GGN的浸润性腺癌(鳞屑样生长为主)。图A~F为2005-2010年左下肺叶同一病变的CT轴位图像,病灶从最早的微薄的纯GGN逐年呈现大小和密度缓慢递增。最终手术切除证实为鳞屑样增长的浸润性腺癌
4、到底什么样的需要手术或立体定向放射治疗?
答:以纯GGN表现为主,形态不规整,边界模糊,随访3个月内体积减小或消失,良性可能性大;GGN的数量与其良恶性评判无直接参考意义。对于持久性存在的GGN,主要参考其规模的大小与有无实性成分。相较于病变的大小,固体成分的含有是更重要的,纯GGO如果病灶内出现实体成分,即使病灶≤10mm,恶性程度增加,需要积极手术或立体定向放射治疗。

整理与撰文 l 陈华林&Ricky
本文为“陈华林 医生”原创,若要转载,请联系微信号:DDYLMDT。转载请保持原文完整性及标明来源。图片来源于pixabay。