
“呼叫塔台,呼叫塔台!
机上有一位女士急需去医院救治!
请协调救护车,请协调救护车!”
深圳直飞北京航班机长正在紧急呼叫。
机上的王女士突发腹痛已休克过一次,虽然经过紧急抢救苏醒,但仍然非常危险。飞机落地,待命的120迅速接上王女士,送到了北京大学国际医院急诊科。
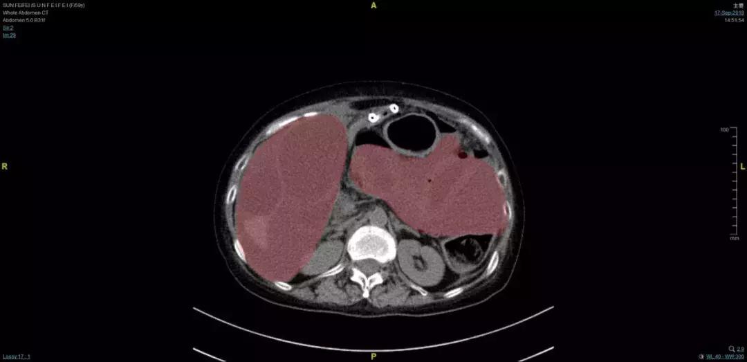
全结肠破裂,腹腔充满近千毫升粪液
上万毫升生理盐水冲洗,高难度手术5小时一气呵成

患者腹腔增强CT,红色部分均为粪液
情况危急,急诊科进行紧急生命支持后迅速请腹膜后肿瘤外科会诊,在拿到腹部增强CT和穿刺结果后,罗成华主任和苗成利副主任医师发现,由于肠道破裂,王女士的腹腔内充满了粪液,结合患者晚期苗勒氏管肉瘤的病史,手术治疗迫在眉睫!

罗成华主任紧急为患者进行手术
此时的王女士再次陷入休克,来不及了!夜里11点,手术绿色通道打开,王女士从急诊直接被推进手术室。在麻醉医师的支持下,罗成华主任、苗成利副主任医师主刀进行手术。虽然对手术难度有一定的预估,但打开患者腹腔的一霎那的场面还是让手术团队吃惊。腹腔内有近千毫升的粪液,全结肠完全坏死,还有数个苗勒氏管肉瘤的转移瘤侵犯了多个器官。
需要处理的问题有很多,团队耗时近5个小时,用上万毫升生理盐水将腹腔冲洗干净,并挑战了难度很高的全结肠切除术,同时切除部分转移瘤,进行了小肠造瘘,以替代全结肠。凌晨4点,手术顺利结束,王女士从死亡线上被拉了回来。
术后,肿瘤内科梁军主任携团队进行了会诊,给予靶向药物治疗,晚期苗勒氏管肉瘤被逐渐控制,2个月后,顺利出院。
苗勒氏管肉瘤晚期,造口和切口感染
原判定3个月的生命期,被他们一再延长
出院后的王女士由于晚期癌症及服用靶向药物的影响,身体比较虚弱,造口和手术切口在家中又护理不佳,受到了感染,再次来到北京大学国际医院住院。

术后对患者进行护理
感染后的造口很难护理,病房的护士每日消毒、上药,精细护理,同时配合小肠的营养支持,造口很快长好。
整形外科会诊后针对其术后切口的感染,进行了皮瓣转移,重新缝合了伤口。由于患者化疗不耐受,放疗科根据现有患者身体状况,在配合靶向治疗的同时,给予了局部放疗措施。
现在,治疗仍在继续……“我是特别信任国际医院的,之前老家医院的医生告诉我,没有其他的办法,只能选择保守治疗,差不多还能有3个月时间,但因为这些医护人员,我已经坚持了1年,也有信心继续活下去。”王女士说。
开放、灵活、个性化
只为提供更优化的专业治疗方案
MDT(多学科疑难病症联合会诊)是指对于疑难疾病,通过多学科交叉、整合,预约多个相关学科的专家,对患者的疾病进行全面评估,最终形成规范化、个性化、连续性的治疗方案。
作为一个开放性的医疗平台,北京大学国际医院摆脱了传统MDT模式的束缚,不再拘泥于固定团队,针对不同治疗需求的患者,充分利用多中心、多学科优势,灵活调配,以疾病为中心进行全面评估,帮助患者免于多科室、甚至多医院的奔波,以优质医疗服务,为患者提供更优化的专业治疗方案。