子宫内膜多厚才算有危险 (子宫内膜厚薄不均怀疑内膜粘连)

在我们的生活中,有很多「膜」,比如厨房常用保鲜膜,手机必备屏幕贴膜,还有爱美女士谁都离不开的面膜......

而我们的身体也有很多膜,比如眼睛里面的虹膜,耳朵里面的鼓膜,心脏上面的心脏瓣膜,还有常见的话题主角处女膜,以及整天让无数女性操碎了心的子宫内膜。

为啥说子宫内膜让无数女性操碎了心?

因为这个膜,它的厚度是不断变化的,有的时候,它的厚度被认为「不达标」,就会让很多女性心慌慌!

正所谓:薄了的想要它增厚,厚了的想要它变薄,一个月跑医院查三次B超,次次都要量子宫内膜!

在讲这层膜之前,飒姐想先跟你们科普一下我们女性朋友正常的月经周期,以及在这个周期中伴随的生理性子宫内膜的变化。

大方向上大家肯定都明白,月经来了,子宫内膜萎缩,脱落,出血,然后新的一个周期,子宫内膜开始生长。

在这个过程中,子宫内膜都是啥样的呢?

我们常常是用超声来检测月经周期中子宫内膜厚度及质地的变化,具体的测量方法是通过在矢状面的最大前后径水平,对子宫内膜与子宫肌层交界处的回声生成界面,进行测量而获得的厚度。

不同时期,B超下看到的子宫内膜的厚度影像也不同。

卵泡期月经过后,由于功能层脱落,这个时候子宫内膜厚度就会变得很薄,一般4-5mm。

超声下表现为薄的强回声线。

子宫内膜偏厚有什么危害吗,子宫内膜厚很危险吗

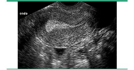
此后,在雌二醇分泌不断增加的影响下,内膜会增生持续整个卵泡期。这种增生在超声上表现为「三线征」,即子宫内膜表现为低回声,而中间和外基底层则表现为强回声亮线(如下图)。

子宫内膜偏厚有什么危害吗,子宫内膜厚很危险吗

到了卵泡期末期,测量的子宫内膜厚度为8-12mm之间[1]。在月经中期,子宫颈管可被黏液所扩张,表现为宫颈内的无回声带,这被认为是即将排卵的一个征象。

黄体期 — 排卵以后,「三线征」消失,取而代之的是一个10-14mm厚的强回声带。

子宫内膜偏厚有什么危害吗,子宫内膜厚很危险吗

一直到下次月经快来之前,内膜厚度可能达到18mm,甚至20mm左右的厚度。

薄点,厚点一定都是有问题吗?

先说结论:不一定。

首先,不同时期的子宫内膜,厚度并不相同,它是会不断变化的。

比如你月经刚过去,查了一下是5mm,结果你听人家说得8mm以上才能怀孕,立马就开始紧张,甚至自己张罗着一搜索某度,赶紧要吃雌激素,这就有点太过心急了。

毕竟就是长厚,人家内膜也是需要时间的嘛!

子宫内膜偏厚有什么危害吗,子宫内膜厚很危险吗

再比如你马上要来月经了,这个时候一测,子宫内膜20mm,立马吓得花容失色,怀疑自己内膜癌,吃不下也睡不着。

这种往往也是属于自己给自己压力,如果平时没有任何异常,我们可以先等月经来了,基本上快结束的时候再复查一下,因为月经来了,这些看起来比较厚的内膜就会脱落,月经过去之后恢复到正常的厚度,就无需太过紧张了。

然后,不同的机器和不同的医生,在操作测量的时候,也可能存在有一定的误差。

比如,我们一般说,排卵期时候子宫内膜在8mm左右,结果你去医院做卵泡监测,内膜报告了一个7mm,立马对号入座,开始怀疑自己什么雌激素低,什么卵巢早衰,什么不孕都出来了,这种常常也是属于自己吓自己。

内膜厚度不够标准就一定会影响怀孕吗?

大部分研究多是在子宫内膜厚度对体外受精-胚胎移植治疗结局的影响上面,对于不需要辅助生殖手段,仅仅是想要自然怀孕的女性来说,偶尔出现的内膜厚度不太理想,不一定就意味着你不能怀孕。

许多研究尝试将子宫内膜的厚度和质地与妊娠结局相关联,但得到的结果相互矛盾。

一项研究纳入了因黄体期缺陷而接受治疗但具有自然月经周期的女性,评估了子宫内膜的厚度和回声反射性与妊娠率之间的关系;与大多数针对体外受精的刺激周期的研究发现不同,排卵时子宫内膜的厚度和回声图形不能预测妊娠结局[2]。

那么哪些情况才是真正需要重视呢?

如果出现这些情况,那么需要引起重视:

如果子宫内膜过薄,伴随有月经量过少,尤其是对于曾经有过多次流产,宫内手术或者清宫病史,那么这种情况下要考虑是否存在有宫腔粘连的问题。

  • 对于存在有异常阴道流血的女性,需要排除内膜息肉或者内膜增生;
  • 持续的子宫内膜增厚,伴随有占位或者阴道流血的情况,需要排除恶性病变;

尤其是对于已经绝经后的女性,忽然出现异常的阴道流血,同时B超检查发现内膜伴随有异常的增厚,要警惕子宫内膜癌的可能性,建议进行内膜活检来排除癌变。

子宫内膜偏厚有什么危害吗,子宫内膜厚很危险吗

在日常生活中,如果你平时月经规律,经量正常,也没有什么不舒服,只是在偶尔的检查中,发现子宫内膜的厚度没有那么「标准」,没有必要本来就打算怀孕的,就因为这个中断了怀孕去服用各种药物,非得绝对达到「标准厚度」才敢去尝试怀孕。

就好像飒姐刚才所说的,很多「增厚」和「偏薄」是跟月经周期有关的,或者有时候可能跟小息肉有关。可能来过一次大姨妈,它们就自己更新恢复正常状态了。

激素类,尤其是雌激素类药物会影响到内膜的厚度,飒姐绝对不推荐你们自行买来服用,一些来路不明,成分不明,可能含有雌激素的保健品或者所谓的「营养品」,也建议你们谨慎选择。

如果真的需要使用激素类药物来调整月经周期或者内膜厚度,那么请一定要在遵医嘱的情况下应用。

子宫内膜偏厚有什么危害吗,子宫内膜厚很危险吗

在「不孕」这个问题上,内膜的因素只能说是其中可能存在的一个方面,怀孕不成功,可能跟很多因素有关,不应该想当然,自行认为自己的内膜薄点,厚点,就是怀不上孕的所有原因,甚至因此担惊受怕,自怨自艾。

在对待这层膜的态度上,有的时候飒姐觉得,真的可以像对待它的亲戚处女膜一样来辩证看待:

该重视的时候重视,毕竟它存在那里。

该放松的时候放松,毕竟人家的寿命只有一个月。

只要没怀孕,这层膜到点了就会「自我了断」,所以别太心急,大部分情况下,可以佛系一点,给人家一个自我调整的机会吧!

#清风计划# #健康# #她健康计划# @头条号 @头条健康 @头条辟谣

参考文献:

[1]Fleischer A C , Kalemeris G C , Machin J E , et al. Sonographic depiction of normal and abnormal endometrium with histopathologic correlation.[J]. Journal of Ultrasound in Medicine Official Journal of the American Institute of Ultrasound in Medicine, 1986, 5(8):445-52.

[2] Check J H , Carole D , Deborah L , et al. Relationship of Endometrial Thickness and Sonographic Echo Pattern to Endometriosis in Non-in vitro Fertilization Cycles[J]. Gynecologic & Obstetric Investigation, 1995, 40(2):113-116.

[3]up to date:正常月经周期的超声评估