李先生,男,1959年出生,首次治疗时56岁,广东人。
2013年10月份查体发现肝占位考虑为巨大肝癌。行中医中药治疗效果不理想,后出现体重下降,厌食乏力,进食后呕吐,腹部包块等症状。

30cm巨型肝癌患者,治疗过程分享
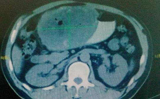
患者于2015年1月2首次入我院。入院时进食稍差,有呕吐,乏力症状,大小便未见异常,体重较前下降约15kg。腹部超声提示:肝左叶体积明显增大,形态失常,可探及多发稍高回声团块,较大者呈“巨块型”,长径30cm,明显外凸,占据整个中部腹腔,边界不清,形态不规则。

30cm巨型肝癌患者,治疗过程分享
完善各项入院检查后,行缓释库治疗多次,于2015年10月1日复查腹部CT:肝左叶巨大肿块,肝肿瘤明显缩小,最大截面约13.5cmx 11.1cm。AFP下降至400.01ng/ml.治疗后体重增加10kg。

30cm巨型肝癌患者,治疗过程分享
经缓释库治疗后,患者生命延长4年。
有时候,我们感觉走到了尽头,其实只是心走到了尽头。再深的绝望,都是一个过程,总有结束的时候,回避始终不是办法。鼓起勇气昂然向前,或许机遇就在下一秒。几米说过,我总是在最深的绝望里,看见最美的风景。
祝愿所有患者健康长寿,让美丽的生命之花永恒绽放。
不适合手术及放化疗,在身体情况允许的情况,可以选择缓释库治疗方案,(超微创、毒副作用小,效果明确)。
缓释库疗法“优美匹克疗法”(UmipicTherapy: Ulltra-Minimum Incision Accurate Personalized Introtumoral ChemoImmunoTherapy),超微创精准个体化肿瘤内化学诱导免疫治疗方法。

超微创,肿瘤内化学与免疫治疗
在CT或B超引导下,直接把化疗药物、免疫佐剂、缓释剂注射到肿瘤组织里。注射部位形成一个类似果冻的组织。通过把肿瘤局部(1)作用浓度、(2)作用时间:都提高几十倍以上,来产生作用。不经过全身血液循环,副作用极小。配合免疫佐剂,产生全身抗癌免疫,减少复发和转移。