近来,黄陂35岁的余女士发现自己右边的膝关节有点奇怪,有时候走着走着突然就“卡壳”了,无法正常屈伸,但拍一拍膝盖,马上又能恢复如常,家里人都取笑:“你这膝盖像老式黑白电视机似的,出故障拍一拍就好了。”刚开始余女士以为只是累着了,休息一下应该就能好,可是随后的日子里,这种卡住的现象愈加频繁,症状也愈演愈烈,甚至出现了膝关节疼痛、肿胀的表现,严重影响其正常生活。
为了缓解症状,余女士在当地医院做了许多检查和治疗,但效果甚微。饱受困扰的余女士最终在亲友的介绍下,来到湖北省第三人民医院(湖北省中山医院)骨外科。骨外科主任王显勋仔细询问病史并查看以前的影像学资料,立马作出判断:“这是膝关节游离体导致的。”
膝盖游离体是由于各种原因而导致膝关节腔内出现游离性的物体,游离体就像一个石子一样,在膝关节腔内来回走动,所以时长会出现膝关节卡住或者有弹响等症状。若早期不对关节游离体进行处理,游离体可能会慢慢长大,对关节的磨损也越来越严重。
面对手术治疗,余女士心怀顾虑,对即将到来的手术有些许不安与畏惧。“这个问题好解决吗?”余女士很是忐忑,王显勋介绍,现在都是利用关节镜微创手术取出游离体,“关节镜微创手术不需要切开膝关节,只需要在膝盖下切两个0.5厘米的切口,插入关节镜和操作钳,就能在镜下完成所有的操作,创伤小,恢复也快。”

术中情况
手术不到半个小时就顺利结束,麻醉清醒后,王显勋指着盒子给余女士看:“这就让你膝关节卡住的‘罪魁祸首’。”只见盒子里装着两枚乳白色卵石样的游离体,其中一枚足有大拇指甲盖大小,另一枚也有豌豆大小。

取出来的游离体

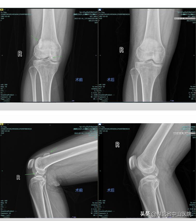
术前及术后对比
术后第二天,余女士被告知可以下地活动,“做了手术不是应该在床上躺着吗?这么快就下地真的没问题吗?”余女士满脸疑惑。“放心吧,现在不同以往了,微创手术旨在尽量小的创口下解决患者的问题,创口小了,术后恢复自然就快,所以就能早期下床活动”。王显勋解释到,“你再试试弯一下膝盖,看看还有没有卡住的感觉”。在管床医生的帮助下,余女士缓缓屈伸膝关节,发现之前困扰自己的症状已经不复存在了,在之后的膝关节锻炼中,也没有再出现“卡住”的感觉,这终于让余女士放下了心。最终,在医护的悉心照料下,术后第五天,余女士恢复良好,顺利出院。
王显勋提醒,膝关节游离体多发于爱运动的青壮年患者、有外伤人群、或有关节疾病的中老年人。如游离体达到一定的大小,在膝关节间交锁,可突然出现剧烈疼痛,导致关节突发不能活动。长此以往,也会引起关节肿胀,产生慢性滑膜炎,引起膝关节功能紊乱、膝关节骨性关节炎等并发症。
因此,一旦出现游离体引起的交锁症状,应尽快手术将游离体取出。目前对于膝关节游离体最佳的手术方案就是关节镜下游离体摘除术。关节镜手术是一种微创手术,用于关节内疾病的检查、诊断和治疗,具有创伤小、出血少、术后恢复快的优点。