随着时代的发展,科技的进步,现在我们已经有了很多更新更好的治疗癌症的手段和药物,但即便如此,人们仍然谈癌色变。
因为癌症的诱因实在太不可捉摸了,可能是吃出来的,可能是气出来的,可能是不良生活习惯熬出来的,也可能是 致癌物 就围绕在我们身边,但我们却浑然不知,今天跟大家分享的这一病例就是这样,悄无声息地患了癌症,诱因竟是工作环境中的 石棉 。

▶46岁包工头,正值壮年,竟然得了肺癌
张先生,今年46岁,三个月以来,在工作过程中偶尔出现 头晕、恶心、食欲不振的症状 ,在工友的劝解下,来到医院就诊。
通过询问张先生的既往病史和工作环境,我们了解到,张先生是包工头, 十几岁 就开始干装修这行,现在带了两支装修队,生意也很红火,平时大多数时间都是在施工现场监工,或者到各大装修材料市场去购买建筑器材等, 经常接触石棉制品。
近三个月内除了头晕、纳差,并没有其他不舒服的地方,我们推测出张先生是由于长期接触石棉纤维导致的肺部疾病,并对其进行了详细的检查。

主诉:
头晕、恶心、食欲一般,偶尔干咳,睡眠质量良好,二便正常,体征正常,情绪良好。
既往史:
高血压,病程5个月,口服硝苯地平缓释片Ⅰ治疗,每日一粒。没有糖尿病、冠心病等慢性病病史,没有肝炎、结核等传染性疾病病史。

检查结果:
患者男性,46岁,体温36.6℃,脉搏74次/分,血压115/65mmhg。
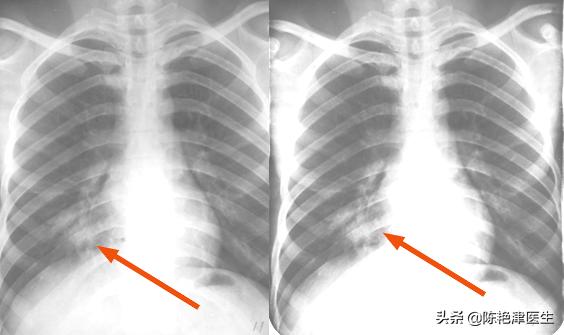
胸部增强CT显示: 右肺下叶外后基底段见结节样高密度阴影 ,内密度欠均匀,淋巴结肿大,边界是清晰的,发现支气管炎,肺气肿,双肺炎性病变。
活检显示: 免疫组化90%,见小细胞癌。
确诊:小细胞肺癌 。
▶为什么张先生没有家族肿瘤史却发生了恶性肿瘤?
张先生得知病情后,非常不解地问医生:“我就是最近不怎么爱吃东西,偶尔有点头晕,怎么可能是癌症呢?”
医生解释道: “您的这个外在表现并不明显,但是从胸片结果上和活检结果上看,确实是肺癌。”张先生:“那是什么原因呢? 我平时都不抽烟的人 ,怎么可能是肺癌呢?”

医生: “这是您所处的工作环境造成的,您 长期接触石棉从而诱发癌症 。您想想看,您十几岁就开始做装修这行了,算下来,已经在石棉环境中工作了将近三十年了,而且工作过程中从来没有防护,是完全把自己暴露在石棉环境中的。”
张先生: “石棉?就是我们做保温、隔音的那些装修材料吗?还能致癌?”

医生: “没错,石棉是一种天然的矿物质,具有很强的抗拉能力,同时耐热耐腐蚀性能很强,在古埃及,人们将它制成木乃伊的裹尸布,在古罗马,人们将它制成防火耐脏的台布,在现代,利用石棉的特性,人们将它制成保温板,隔音板,墙体材料等,也可以应用于纺织材料。
但是石棉的特点就是纤维细小,在没有保护措施的情况下,这些细小的纤维就会附着在皮肤上,造成皮肤病,或者通过呼吸进入肺部,长期积累在肺部,给肺部带来巨大的损伤,从而产生肺部疾病。 ”
张先生: “要是石棉这东西致癌,为啥还要生产使用呢?”

医生: “因为石棉本身的一些特性,使其应用在建筑、船只、冶金、纺织等多种领域,但是随着应用的多元化,与石棉相关的疾病也逐步显现出来,所以一些国家已经对石棉的使用进行了限制。
比如美国环保局就在七十年代初期颁布了相关条例,来禁止使用含石棉纤维材料的涂料。
德国从八十年代到2003年期间,约有1.2万人死于石棉造成的职业病,法国每年也有近两千人死于石棉职业病。
世界卫生组织还声明,在2005年前,所有欧盟成员国必须禁止一切石棉的使用。 很多国家都在逐步认识到使用石棉的危害性。”

▶潜伏期可达数十年,你用过的这些物品可能都有
张先生: “我身边都是做装修的朋友,大家每天都处在这样的工作环境,也没听说谁就得了癌症啊?”
医生: “ 石棉对人体的影响可以潜伏数十年之久 ,其实石棉本身是没有毒性的,之所以被列入一级致癌物,是因为 石棉破损之后会释放石棉纤维,和一些细小的粉尘,这些物质被人体吸进去之后,会积累在肺部 ,从小小的疤痕组织发展成大的结节性组织,严重影响肺部的呼吸功能,进而诱发癌症; 除了肺部疾病,石棉纤维还可导致食管癌、卵巢癌、胃肠癌等。”
听到医生这样讲,张先生的工友纷纷围了过来,七嘴八舌地问了起来:“我们每天的工作环境就是接触这些材料,这也避免不了啊?”“除了这些装修材料,生活中还有什么是石棉制品呢?”“我每天工作回家后,老婆孩子家里人会不会也算是处在石棉环境中呢?”

医生: “大家别着急,我慢慢来回答。在日常生活中,我们能接触到的石棉制品包括:我们的住房,比如外墙保温板,农村瓦房房顶上的 瓦片 ,这是利用石棉可以保温的特性;还有一些水泥地板、水泥管道等;包括 消防员穿的防火衣、防火布 等。
石棉和其他成分混合在一起,可以制作出很多可用的东西,比如石棉水泥瓦,水泥板,水泥管道等;石棉沥青板、油毡、石棉漆等;高级建筑的防水保温、绝缘耐酸碱材料;火箭抗烧蚀材料,飞机机翼、油箱,汽车、船舶的隔音、隔热材料等;
还有耐火的 石棉纺织品、输水管、绝缘板 等。在生活和工作中,做好有效防护,还是可以降低石棉对人体的伤害的。”
▶如何来预防石棉环境造成的伤害?
工友们:“那像我们这样长期在石棉环境中工作的人,我们平时应该怎么保护自己呢?”

医生: “我从三个方面给大家解答这个问题。
第一,通常情况下,吸入石棉纤维不会诱发急性的疾病,石棉进入身体之后,会经过长期的积累,达到一定量之后才会对身体产生影响。
所以,有这种特殊的工作性质的,必须每天处在石棉环境当中的工种呢,一定要在工作时,做好个人防护,有条件的要穿隔离服,最起码的也要佩戴专业的防尘口罩,同时尽量避免皮肤长时间地暴露在石棉环境中。工作中的服装和生活中的服装要区分开,并及时清洗工作装。

第二,完整的石棉板是不会释放石棉纤维的,但是如果使用时间过长,磨损严重,就会释放石棉纤维 了,所以家里的一些石棉制品,一定要注意它的保质期,也就是使用期限,要及时更换,防止环境中产生大量的石棉纤维,诱发癌症。
第三,你们一定要定期来医院做身体检查 ,因为不是所有人都会在前期出现症状的,现在没有症状不代表就没有吸入石棉,可能只是剂量比较少。所以如果你在石棉环境中工作,出现身体不适,久咳不愈或者胃肠不适时,一定要及时来医院进行CT检查,做到早发现、早治疗。”

▶医生建议:预防石棉危害,最好的办法就是少接触!
想要预防石棉纤维造成危害,除了接触人自觉性的自我防护之外,提供这样生产环境的厂商,也要对工人的人身健康负责任,要严格按照国家规定的生产流程来进行日常操作。

首先是进行湿水作业 ,即向生产环境喷洒大量的清水,以降低工作场地石棉纤维、粉尘的含量;
第二是抽风除尘 ,如果是在密闭环境工作,可以使用大型抽风机来保证环境负压,防止石棉纤维、粉尘逸出;
第三就是保证通风 ,对于一些密闭后仍会有逸出的石棉纤维、粉尘,可以采用通风的方式来降低石棉纤维的浓度。

在我们国家,还没有全面禁止开采和使用石棉的前提下,各个工厂进行环境保护,个人进行自我防护就显得尤为重要,也是我们能避免罹患石棉肺癌的重要防控措施。
就像本文中的病例一样,张先生和他的工友们如果 在日常工作中做好自我防护 ,一定可以有效的避免肺癌的发生。

当然,在日常生活中, 除了避免接触石棉纤维,自我免疫提升也是非常重要的 。如果身体的免疫系统比较强悍,对外来异物比较敏感,可以及时清理和消灭外来的致癌因子,某种程度上可以有效地避免癌症的发生。
所以人们在日常生活中,要养成良好的生活习惯,保持良好的情绪,合理膳食,坚持锻炼,保证自身免疫系统的正常运行,远离癌症,拥抱健康。
参考资料:
1.中国船舶行业向"无石棉时代"迈进
2.中国水运网(中国水运报刊社官方网站) . 2014-01-6