- MCL损伤是膝关节常见的韧带损伤。
- 远端下肢受到外翻应力后,可能会单独出现MCL损伤。
- MCL撕裂可分为以下三个等级:
1级:扭伤或拉伤,主要包括韧带伸长,但没有任何功能损失。保守治疗。
2级:部分撕裂。
3级:完全撕裂。
区分2级和3级几乎是不可能的,即使在MRI上也是如此,并且经常被写成“2-3级撕裂”
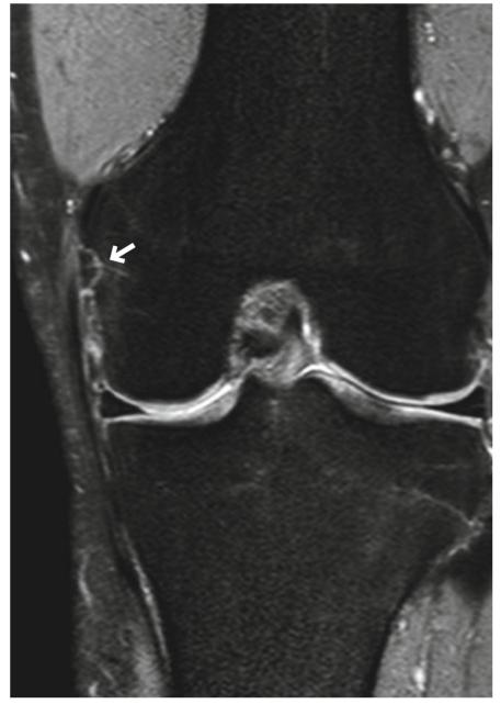
在1级MCL撕裂中,可以看到线性高信号,代表由于扭伤或劳损引起的韧带纤维水肿(图5.7)。然而,这种影像学发现也可以在内侧半月板撕裂和膝关节炎中发现。
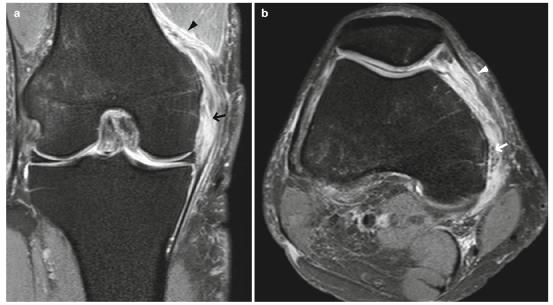
在2-3级MCL撕裂中,将会看到由于水肿和血肿导致的纤维不连续和信号异常(图5.8和5.9)。
- 水肿的变化可能不仅限于MCL本身,还可能扩展到周围的内侧支持带和股内侧肌(图5.8)。
- 超过一半的MCL撕裂发生在近端(股骨)部分,但较少发生在远端(胫骨)部分(图5.10)。
- 如果MCL撕裂伴有前交叉韧带撕裂和内侧半月板撕裂,这种复合伤被称为“经典的‘O’Donoghue’s 不愉快三联征”。众所周知,在进行美式足球等运动时会发生这种情况,但在日常临床实践中并不常见。然而,最近对“不快乐三联征”的定义包括前交叉韧带撕裂、MCL撕裂和外侧半月板撕裂。这种新的“不快乐三联症”在临床实践中很常见。
- MCL损伤据说通常伴随着内侧半月板的周边纵向撕裂。
- MCL是关节外结构,其损伤本身不会导致关节积液。
- 除非MCL的深层被破坏,否则关节镜检查不会发现任何病理结果(图5.9b)。
- 撕裂的韧带最终会被疤痕组织取代。在MRI上,疤痕组织可能表现出正常MCL的外观,但在临床检查中会出现功能丧失(图5.11和5.13)。然而,在患有膝关节炎的膝内翻患者中,由于膝关节排列不正导致张力降低,MCL可能会出现增厚。

图5.7的一级撕裂(拉伤)。一名20多岁的男子在演讲前一天滑雪受伤。冠状面FS PDWI显示沿MCL表层呈线性高信号,代表由于拉伤引起的水肿(箭头)

图5.8的2级撕裂(部分撕裂)。一个40多岁的男性。(a)冠状面和(b)轴位FS PDWI显示MCL表层水肿肿胀和不连续(箭头)。水肿的改变也可见于内侧支持带(b中箭头)和股内侧肌(a 中箭头箭头)

、
图5.9 3级撕裂(完全撕裂)。一个十八九岁的男性。(a)冠状T2*WI和(b)关节镜图像显示MCL近端部分完全撕裂(箭头),周围有水肿改变。在(b)中,关节囊的破裂(MCL的深层,箭头)可见。注意撕裂的半月板股韧带(MCL深层,a中箭头所示)

图5.10远端(胫骨)部分撕裂。一个20多岁的女性。冠状T2*WI显示靠近胫骨附着点的MCL(箭头)表层撕裂

图5.11部分撕裂MCL的随访。一个20多岁的女性。冠状面FS PDWI在(a)损伤后即刻扫描;(b )在 7个月后获得。在(a)中,注意到MCL表层的1级撕裂(箭头)。在(b)中,MCL的撕裂部分显示纤维增厚(箭头)

图5.12股骨MCL附着点撕脱骨折。一个30多岁的男性。冠状面FS PDWI显示一小块骨碎片(箭头)已从股骨分离,对应MCL附着点的撕脱骨折

图5.13的慢性撕裂。一个30多岁的女性。冠状T2*WI显示撕裂的MCL被纤维疤痕组织取代并增厚(箭头)。看起来好像是一个正常的MCL。解释这类案例时需要谨慎