这白斑是托槽粘结剂腐蚀我的牙齿了吗?
——刚摘掉牙套的小何同学
♀️突然发现我家孩子的牙上出现了一些白点点。听邻居说,这是牙齿脱钙,补点钙就好了。是真的吗?
——急匆匆带孩子来检查的王女士
我这牙怎么还一点点越来越白了呢,还有这等好事?
——小王一脸天真地问医生
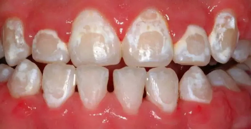
相信有不少做矫正的朋友,特别是钢丝的那种,摘下牙套后发现牙是整齐了,但牙齿尤其托槽四周有一块块的白斑或小点。

这些位于牙齿表面白垩色的点或斑块,就是牙齿脱矿了。
为什么牙齿会脱矿而产生白斑?
牙齿最外面是一层牙釉质,高度矿化的硬组织,当我们的牙齿没有及时清洁干净,牙菌斑就会在牙齿表面堆积。当你吃东西时,食物里面所含的糖分遇上牙菌斑里的细菌。细菌利用糖来释放侵蚀牙齿的物质——酸,这些酸会使牙釉质脱矿。
不管有什么后果呢?
如果你觉得这些白斑只是让牙齿颜值降低而已,问题不大,从而无动于衷。
那你就错了,牙齿脱矿是其实是肉眼所能见到的最小的龋病状态,是龋齿的前兆。我们要在源头阻止蛀牙的产生,及时处理牙齿上的白斑。当然最好就是从一开始就注意口腔清洁,尤其是正畸期间要注意一定要用含氟牙膏,还可以每个月去牙医那里涂一次氟保护漆,能大大降低这种情况的风险。

正畸的朋友可不要把口腔卫生做不到位产生的后果怪在托槽粘结剂上哦,粘托槽是用专用的釉质粘结剂,把托槽固定在清洁处理过的牙面上固定 2 年左右,对牙齿没有伤害。

对于儿童是否缺钙,也不是光凭牙齿上的白斑作出准确判断的,得让儿科医生来检查判断,不要盲目补钙。

家长能做到的就是帮孩子刷牙到小学,小朋友的小肌肉发展大概要到六、七岁才逐渐成熟,就算看上去是在认真拿着牙刷在刷牙,未必能刷干净。家长们务必记得,每天在睡觉前一定要帮忙孩子彻底洁牙,定期口腔检查并涂氟,才能维护孩子的口腔健康。

已经长出的白斑怎么治?
➣再矿化治疗
一般牙套拆除后,患者可以彻底清洁牙齿,同时唾液中的钙、磷离子可以对白垩斑进行再矿化。临床上再使用氟化物及护牙素来促进白垩斑的再矿化, 大部分白垩斑在 3 个月内有明显改善,3 个月后仍未消失可考虑以下方式治疗。

① 牙齿漂白
让背景变白,让白斑看上去不那么白。牙齿漂白是利用漂白剂作用于牙齿,以改变牙齿颜色的治疗方法。漂白与微研磨联合应用可以达到很好的美学效果。但是,牙齿漂白之后可能会出现牙齿敏感,还要考虑美白反弹的问题。

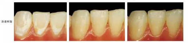
② 树脂渗透
渗透树脂是一种补牙材料,是流动性的树脂渗入牙釉质中,在病损内部形成阻碍酸性物质入侵的屏障,而不仅仅局限在病损表面。好看且操作便捷,所需时间短,治疗后效果即刻显现,但复诊次数较多。

与其他方法相比,树脂渗透技术更加微创,能保留更多的牙体组织,是首选治疗方法。但这种材料,很多的诊所和医院不一定有,而且对医生操作的要求比较高。

③ 贴面修复
如果颜色改变实在是太过严重影响美观,也可以做修复贴面。当然,具体治疗的情况,还是需要医生具体分析。

再次提醒大家认真刷牙,尤其正在矫正牙齿的朋友们如果看到了托槽周围有了白色斑点一定要引起重视,掌握正确刷牙方式,用含氟牙膏,坚持认真刷牙,防止它们继续发展下去。