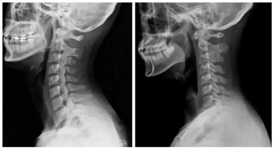
现在的办公室人群甚至连小学生,也常常会出现颈椎不适的症状,到医院检查往往会得到颈椎生理曲度变直、反弓的结论。

颈椎的生理曲度(简称颈曲)并非是一成不变的,随着年龄的增长颈椎会出现退行性改变,而使颈曲发生改变,甚至使颈曲变直或反张弯曲。

但是现在的年轻人出现颈椎生理曲度变直甚至反弓主要是因为长期姿势不当、生活习惯不良:比如长时间低头工作、睡高枕等原因。

颈椎生理曲度变直后,有的人会出现脖子酸痛、手指发麻、容易疲劳、头晕头痛等情况。也有些人并不出现严重的症状,但即使这样,也不能忽视这个问题。
颈曲的改变或消失,往往意味着椎体稳定性变差,椎间隙变窄,椎间孔变小,椎体退变,周围韧带肌肉慢性损伤,这会成为各种颈椎病如韧带增生、钙化、颈椎间盘突出、椎动脉狭窄等的结构和病理基础。

那么颈椎的生理曲度还能够恢复吗?
颈椎的生理曲度能否恢复要视情况而定。
1
年轻人容易获得较大程度的恢复
当年轻人出现颈椎生理曲度的变直或者反弓的时候,此时颈椎部位的肌肉和关节柔韧性较好,可以通过一些治疗手段、康复锻炼或者调整睡觉时枕头的高度等,在最大程度上恢复颈椎的生理曲度。
2
老年人则很难恢复颈椎的生理曲度
对于中老年人来说,由于颈椎的退化,颈部关节肌肉的衰老,很难再恢复颈椎原有的生理曲度。此时如果过度追求恢复生理曲度还有可能导致颈椎病的症状,因此不建议强行恢复颈椎的生理曲度。
所以,在发现颈椎生理曲度变化时应尽早干预。

医生

如何恢复颈椎的生理曲度?
1、首先改掉不良习惯
改掉办公或学习时的不良姿势

不要长时间低头玩手机

枕头不要太高

2、试试这个锻炼方法
坐在椅子上,直立上半身,
取一条毛巾套在脖子上并向前拉直,
收紧下巴,头部后仰,
保持10秒,
放松身体返回原位,重复10次。

3、寻求专业康复医生的帮助,能更好的恢复颈椎的生理曲度。
需要注意的是,不可盲目锻炼,需要在专业医生的指导下进行,否则会引发更加严重的后果,甚至导致瘫痪。

以上这些只能在一定程度上恢复颈椎的曲度,很难将颈椎恢复到原有的模样,所以,要想保护颈椎,预防是最重要的,从现在起,改变不良习惯,不要等颈椎出现问题再花费金钱和精力去治疗。

北京德尔康尼骨科医院宣
咨询病情请加小编个人微信:gushihuixzs