有些人做胃镜检查,医生诊断胃内有异位胰腺,感到很困惑:胰腺怎么会长到胃里?要不要治疗呢?

什么是异位胰腺
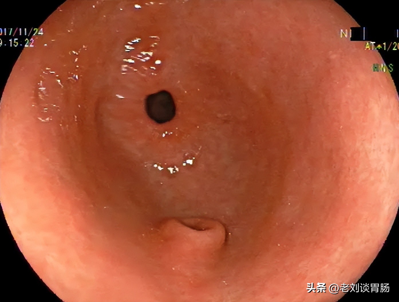
异位胰腺也称为迷路胰腺或副胰,顾名思义就是胰腺组织长在了胰腺以外的地方,它是一种孤立的胰腺组织,与正常胰腺组织没有解剖上的联系。异位胰腺可以发生在消化道和消化道外,甚至出现在腹腔以外,但以胃和十二指肠最为多见。其中胃内胰腺异位主要在胃窦部,其次是胃体部。一般位于胃肠道的黏膜下,其次为肌层或肌纤维之间,但少见于浆膜面。胃镜下主要表现为黏膜隆起,可呈半球形、圆锥形及乳头状,边界清晰、表面粘膜色泽正常,表面可有1个或几个导管开口,通常直径在0.5~3.0cm之间。诊断异位胰腺需要超声内镜检查以及病理活检来确诊。

为什么胰腺会异位
异位胰腺其实是一种先天性畸形,与胚胎发育异常有关。造成胚胎发育异常的原因归纳起来有以下几种学说:迷路学说、胚胎返祖学说、细胞种植学说、萎缩不全学说和胚胎转化学说。目前最为广泛接受的是迷路学说,就是胰腺原基细胞在胚胎发育时期,如果有一个或几个胰腺原基细胞停留在原肠壁内,由于原肠纵行生长而可将胰腺原基细胞带走。背侧胰腺原基细胞产生的细胞组织,将被带到胃;腹侧胰腺原基细胞产生者则被带到空肠,成为异位胰腺。如果胰腺原基细胞伸入胃肠壁、胆系、网膜甚至脾脏,就会在这些器官中出现胰腺组织,也为异位胰腺。
异位胰腺有什么危害
一般来讲,异位的胰腺多数是没有临床表现的,不会引起明显的不适,但如果异位胰腺体积比较大,会压迫胃窦部,引起幽门的梗阻,压迫十二指肠乳头部,会引起胆管和胰管的梗阻,出现黄疸、腹痛的症状。由于异位胰腺可以分泌胰蛋白酶,这种消化酶具有强烈的腐蚀性,会腐蚀胃壁,形成溃疡。长期腐蚀胃黏膜血管可导致胃肠道出血。
异位胰腺一般都是良性病变,但如果长期受到炎症刺激,少部分异位胰腺会有一定的癌变风险。
异位胰腺需要治疗吗
异位胰腺一般不会影响人体健康,如果没有引起明显的临床症状,可不必要治疗,只需要定期进行复查。
但对于有明显症状或者病变大于2cm的患者,可以根据超声内镜定位选择治疗方法。如果病变局限于黏膜及黏膜下层者可选择内镜下黏膜剥离术(ESD术)。如病变达到肌层甚至浆膜层,则首选外科手术完整切除。
也有观点认为,只要发现有异位胰腺,就应该将其切除,以防止其自身囊性病变、恶变及引起周围器官组织病变。

本文图片来源于网络,仅供健康科普使用,不能作为诊断、治疗的依据,请谨慎参阅。