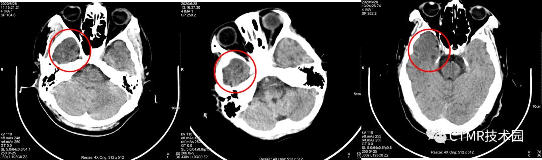
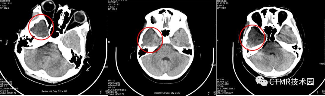
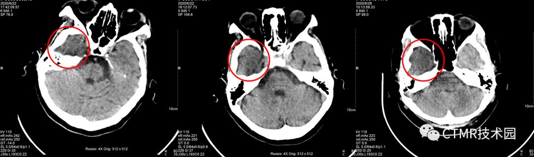
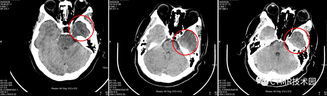
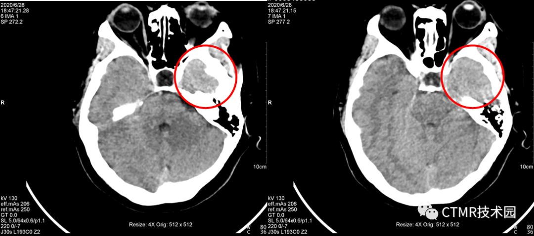
我们有一台西门子 SOMATOM Perspective 64 CT,从装机到现在四五年了,颅脑螺旋扫描条件扫描颅脑,在右侧颞区始终有“暗区”伪影,十分诡异。



我们先不去猜测什么原因导致的,先说说经过。诊断医生一直嫌弃颅脑螺旋扫描图像质量差,还有伪影。因此,一般也会使用颅脑轴扫条件。(关于颅脑 CT 平扫到底用轴扫还是螺旋扫描?当然是轴扫效果好,但是日常工作中,病人量巨大,且各种病人情况不尽相同,普诊、急诊、能配合的,不能配合的等等,再结合现在探测器性能都非常好,那么好多都偏向使用螺旋扫描,而且螺旋扫描对于外伤的病人看骨折重建薄层、MPR等都非常有利。轴扫时间长,如果病人再不配合很容易出现运动,剪薄层效果也不如螺旋好)反馈给厂家,也来工程师检修了,空气校正什么的都不能解决,最后结论说是检查床有偏移,检查时需手动往一侧推下床板。我对这个结论一直持怀疑态度,也试过,即使推检查床板也还是会有伪影。那么这个伪影到底哪来的?一切还需从检查条件中查找。下面我们来看下 检查条件 Protocol(HeadRoutine) 具体扫描参数:

1、kV 选择的是 110kV,这款机器提供的可选择 kV 是 80-110-130 三个档位,没有普通的 120kV。对于颅脑检查,对于颅底部分最好是高 kV,因为颅底骨性结构多且复杂。那么可以利用变 kV 扫描,这款机器没有此功能。
2、使用 CARE Dose4D 3、设置 QRM

CARE Dose4D 是西门子的扫描剂量调制技术,以减少曝光剂量,从而减少病人吸收剂量。需配合使用质量参考mAs (QRM).
4、探测器/准直器选择,64×0.6mm
5、螺距,预设的 1.1
6、机架/球管旋转时间 1.0s
从 DLP 来考虑,600 多的 mGy*cm 差不多也就是颅脑检查曝光剂量的范围。那么可以先暂时不考虑 Quality Reference mAs,那么一切的根源来源于螺距的设置。
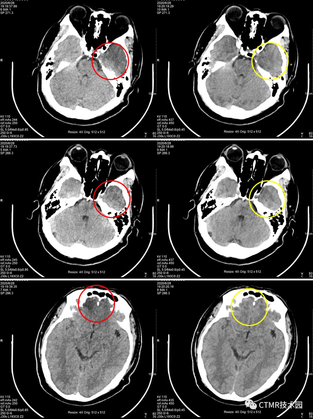
上周我在此机器值班,因为此伪影一直在我脑子里存留,平时在上 Philips Brilliance 64 CT 时,注意观察了下它扫描颅脑的螺距,非常小,可供选择的范围很小,最大可选 0.399。飞利浦的机器比较好的一点就是,它固化了 Scan type,不同的扫描部位/检查方法定义不同的 Scan type,那么在 Brain 扫描类型下,再进一步限制 Collimitation,螺距,Rotation time 等一系列参数,以期获得最佳的的图像质量。那么我就在此机器上尝试选用小螺旋扫描,最小可以改到 0.35,扫了几个病人,伪影完全消失!可以证明,在西门子这台机器上采用大螺距扫描是不合理的,应当也使用小螺距扫描。而且采用小螺距 DLP 还降低了,那么可以进一步增大 QRM,以期获得更好的图像。

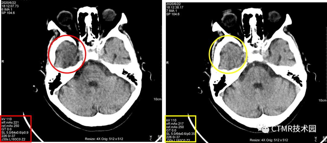
而且选用 0.35螺距 eMode 是绿色;如果用 1.1 螺距,那么 eMode 是黄色;如果应用 Adjust,eMode 也变成绿色,且此时当前病人配给的螺距为 0.9,那么它好吗?其实扫描出来的图像大多还是有伪影(从本文开头贴的图片中,有好几个都是 Adjust 后匹配螺距扫描出来的伪影图像)。



那么回到一开始伪影的问题,为什么会出现伪影?
和其他医院的老师们讨论后,我总结于以下原因:
探测器宽度约为 4cm,那么在扫描颞部这一区域时,由于螺距 = 1.1>1,或 = 0.9≈1,X 线光子经过对侧的颞区骨头衰减后到达右侧变硬,而且所使用的 kV 是 110kV,不是很高的千伏。又由于颅底这个区域骨质复杂多样,“四面环骨”,那么在右侧的这部分脑组织吸收的 X 线就减少,从而就表现为“暗区”。
那么如何去除呢?就需要减小螺距,减小到什么程度呢?产生伪影的暗区在 z 轴范围上的距离小于等于螺距乘以探测器宽度的距离。从图像上观察,这个暗区的范围大概是 2~3 层,那么就是 1cm ~ 1.5cm 的范围,那么再结合探测器宽度 64*0.6mm = 3.84cm,那么为了保障预留足够的范围,螺距应当设在稍微比 0.5 大些,那么可以设置 0.5 或 0.55,当然更小的螺距也是可以的,但结合整体扫描时间,还是尽量在没有伪影范围内适当大些。
为什么要这么设置螺距呢?为的就是让球管从伪影侧再曝光一次,以弥补射线硬化而产生的伪影。这样重建出来的图像就会削减本文一开始所说的伪影。
其他老师还提到了层厚敏感曲线,光子饥饿,探测器采集效率等。
问题1:为什么都是经常出现在右侧呢?因为颅脑大致头足范围都差不多,且都是从头向足螺旋扫描,那么螺旋扫描时可能恰好采集伪影区域层块时,是从头左侧先转的一整圈,那么就导致了右侧不在一个完整的环上,因为转过来时已经跑到下一层块了。其实有时病人以 1.1 螺距扫描是没有伪影的,比如头颅扫描范围有所偏差时,那么上一圈扫描结束位置恰好在前 A 位置,那么伪影这一层块扫描时时恰好左侧与右侧颞部基本都在一整圈范围内。这样的情况也是会出现的,那么此时图像上右侧就不会出现明显的暗区伪影。为了验证如此,我还将扫描顺序更改了下,按足向头扫描(如下图),恰恰暗区伪影经常出现在左侧。当然球管到底是怎么转的,如果能够打开机架外壳,仔细看看就好了。


对比时注意观察图像左下角参数。
问题2:130kV 配合 1.1 螺距可以吗?
不可以。会出现与暗区相反的结论。即在原来右侧(扫描方向头向足)容易出现暗区,那么用 130kV 配合 1.1 螺距会出现在左侧(扫描方向头向足)容易出现亮区。原来右侧暗区的地方反而正常了。那么经过上面讨论可知,要想用 130kV 也得要配合小点的螺距。

总结
这个伪影存在好多年了,一度怀疑机器有问题,但其他部位检查均没有问题,却不知是颅脑螺旋扫描条件不够优化。
机器与机器之间肯定存在性能上的差异,比如 kV 选择,探测器性能等。但是我们不能改变机器什么,但是我们可以改变我们自己,审视下自己,看看是否我们的想法有点偏颇?
这样的道理其实在生活中处处都存在,经常睡不好觉怪床歪,跌倒怪路不平等。其实在磁共振成像当中也是如此,总是调不好序列,扫不出好图像,肯定是有问题,要么是对机器认识不足,要么就是参数或者病人准备有问题。如果凡事多从自身找原因,或许许多事都可以迎刃而解。
来源: CTMR技术园
【版权声明】本平台属公益学习平台,转载系出于传递更多学习信息之目的,且已标明作者和出处,如不希望被传播的老师可与我们联系删除