健康的牙齿都一样,不健康的牙齿各有各的痛点。在了解健康的牙齿,以及有哪些保持牙齿健康的好方法之前,我们先来看看不健康的牙齿是什么样子的。
——可乐牙
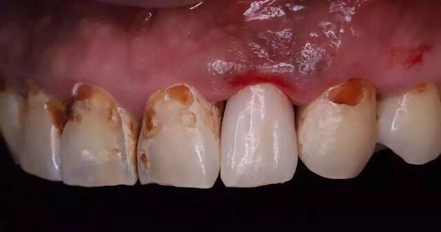
图片慎点

图片上的牙齿,几乎每颗牙都有大小不等的缺损,发黄、发黑还有一些白点,这就是典型的“可乐牙”。
什么是“可乐牙”?“可乐牙”是怎么形成的?怎样才能避免出现“可乐牙”呢?容我一一道来。
● 什么是“可乐牙”?

其实,“可乐牙”并不是医学术语,它是指长期大量喝可乐,雪碧等等碳酸饮料,继而引发的牙齿问题,专业术语叫“牙齿酸蚀症”。
● 可乐牙是怎么形成的?

碳酸饮料呈弱酸性,长期大量喝碳酸饮料,会破坏牙釉质,使得牙齿变敏感变脆弱。就像体质弱的时候,疾病很容易找上门,当牙齿脆弱的时候,口腔细菌也会趁虚而入,这也更容易导致蛀牙。
● 如何才能避免出现可乐牙?

少喝碳酸饮料,多喝水,实在抵挡不了诱惑的时候,记得用吸管喝,喝完及时漱口,建议喝完半个小时后再及时刷牙,这样可乐牙就很难找上你了。
——牙龋坏(即蛀牙)
经常喝饮料,吃甜食,刷牙不到位都是引发龋齿的重要原因,如果初期及时处理,龋坏的部分就会越来越深从小洞发展成大洞,也就是浅龋、中龋、再到深龋的过程。

其中浅龋,隐藏的很深,不疼,也不容易被发现,后槽牙窝沟里尤其要注意,图片上那黑褐色的点点就是龋坏的部分了。
中龋,当龋坏程度逐渐加深,牙齿会从没感觉到有一点敏感,尤其在吃凉的酸的食物,酸疼感觉会更强烈。这时如果能及时补上,还会是颗好牙。
深龋,当你放任牙洞由小变大,那疼也是必然的,试问都触及牙髓了,还能不疼?
发现牙齿龋坏,不要一拖再拖,不仅会有牙缺损、牙缺失的风险,而且在精神、经济方面也会承担相应的压力,还是应该早发现,早治疗。
——牙缺损、牙缺失
一般牙齿缺损会有以下三种情况:
●牙体缺损,一颗或多颗牙部分损坏
●牙列缺损,掉一颗牙或几颗牙
●牙列缺失,满口牙齿掉光
导致牙缺损、牙缺失的原因有很多,下面这四种较常见:
●牙齿龋坏
●频繁地吃很硬的食物,导致牙齿磨损
●意外伤害
●先天性牙齿畸形
前两种常见原因,我们可以通过定期检查,尽量避免长期吃太硬的食物来预防,对于后两种情况的发生,应该采取正规的措施及时处理。
对于牙齿缺损、缺失,很多人都是能拖则拖,能忍则忍,认为反正又不影响身体,花钱看牙没必要!殊不知牙齿缺损、缺失,不仅影响吃东西,而且缺牙还会导致面容衰老、影响发音、咀嚼、牙槽骨萎缩等问题。
缺牙的影响到底有多严重?缺牙到底会对整个牙齿环境造成怎样的影响?让我们一起来看看。
● 周边牙齿倾斜

掉牙后,长时间放任不管,两边的牙齿会因为没有支撑,变得越来越倾斜;假设缺的是下磨牙,对应的上磨牙会因为没有下磨牙的支撑,邻近的牙齿会歪斜生长,牙齿伸长,就像图片中的一样。
● 牙槽骨萎缩

掉牙后,闲置已久的牙槽骨失去了正常咬合力,会出现萎缩的情况,很多人对牙槽骨萎缩不是很了解,如果出现了下面这三种情况,就要警惕是牙槽骨萎缩了
1.牙根暴露,吃东西的时候会牙疼
2.牙缝变大,说话的时候会有“漏风”的情况
3.牙颈部和牙根部发现蛀牙