近两年,免疫检查点*制剂抑**无疑是最成功的肿瘤免疫疗法之一,已经改变了肺癌的治疗前景。目前获批用于肺癌的四大PD-1/L1将晚期肺癌不到5%的五年生存率一下提高到16%,翻了整整3倍,给更多的患者带来“免死金牌”。
但不尽人意的是,PD-1仅对20%~30%的患者起效,并且产生的中度至严重副作用高达30%,如何让更多的患者能够获益于免疫治疗,如何进一步提升免疫治疗的有效率是肿瘤学家们现在和未来积极探索的方向。
近两年来,除了CAR-T疗法备受万众瞩目外,另外一种新的癌症细胞疗法—— 自然*伤杀**(NK)细胞疗法 也逐渐受到关注。研究人员说, NK细胞 作为一种细胞抗癌疗法更具潜力,它可能会更安全、更便宜、更快速。
人体内冲锋陷阵斗士——NK细胞
NK细胞是人体第三类淋巴细胞,又被誉为天然免疫的核心细胞,约占淋巴细胞循环数的5%~15%,是对抗癌细胞的天生战士。其表面缺少T细胞和B细胞的特异性标志如TCR和Smlg,曾称为裸细胞。NK细胞最厉害的地方是,不需要抗原递呈过程,不用别人通风报信,就可以直接、快速将外来异物(病毒细菌感染细胞、癌细胞、衰老细胞等)就地正法。
在面对癌细胞时, NK细胞不需要其他细胞的激活与刺激,便能直接识别并杀死癌细胞,因此,也被称为人体抗癌第一道防线。
如果将人体当成一场“战疫”的缩影,那么当面对病毒或癌细胞攻击时,我们的社会也会启动“免疫反应”,成千上万的医务工作者奔赴疫情严重地区。若要用人体的一种免疫细胞来形容医务工作者的话,很容易会联想到人体内先天性免疫系统的自然*伤杀**细胞(NK)细胞。

自然*伤杀**细胞(黄色)攻击癌细胞(来源:科学之眼)
给NK细胞装上“弹头”,CAR-NK*伤杀**力倍增
嵌合抗原受体修饰的T细胞(CAR-T)在白血病研究中取得了重大突破,为血液肿瘤患者带来了新的希望。但是伴随着对血液肿瘤显著疗效的同时,CAR-T治疗也存在着一些问题,比如脱靶效应、细胞因子风暴等,并且对实体瘤尚未取得显著疗效。所以科学家开始寻求其他细胞免疫疗法来治疗癌症,而自然*伤杀**(NK)细胞疗法是最有前途的方法之一。CAR-T细胞疗法取得的成功激发了人们对用CAR基因修饰NK细胞来增强其杀肿瘤能力的热情。
CAR-NK就是利用基因工程给NK细胞加入一个能识别肿瘤细胞,并且同时激活NK细胞杀死肿瘤细胞的嵌合抗体。 嵌合抗原受体能显著提高NK细胞疗效特异性。这个思路和CAR-T的构建类似:CAR包括胞外的识别结构域(如scFv)识别肿瘤特异性抗原;一个跨膜结构域,和一个胞内信号结构域(CD3ζ 链)可以诱导NK细胞的活化。

图为构建CAR-NK细胞免疫疗法的过程
CAR-NK细胞比CAR-T细胞具有多个优势
01
与CAR-T细胞不同, CAR-NK细胞保留了通过其天然受体识别和靶向肿瘤细胞的内在能力 ,从而通过CAR-NK靶向治疗时,肿瘤细胞能够逃脱*伤杀**的可能性降低。
02
CAR-NK细胞在数天至数周内不会发生免疫排斥反应。 因此,它们在许多CAR-T临床试验中均未表现出相同的安全问题,例如没有细胞因子释放综合征的困扰。
03
NK细胞不需要严格的HLA匹配,并且没有引起移植物抗宿主病的潜力 ,这却是CAR-T细胞免疫疗法一种重要的风险。
大放异彩,CAR-NK疗法在血癌和实体瘤中双开花
实体瘤
1
国内首个“现货型”CAR-NK临床试验获药监局批准
2021年11月11日,国家药监局药品审评中心通过了一款我国自主研发的针对“ 晚期上皮性卵巢癌治疗的靶向间皮素(Mesothelin,MSLN)嵌合抗原受体NK细胞(CAR-NK)注射液 ”(简称:CAR-NK注射液)的临床试验申请。
据无癌家园获悉, 此款产品是国内首例“现货型”异体来源的CAR-NK产品。这也标志着我国的免疫细胞药物治疗实体瘤的研究迈入了新的里程碑!

卵巢癌为妇科第二大肿瘤,有70%的卵巢癌患者被诊断时已是晚期。在过去的10年间,我国卵巢癌发病年龄越来越年轻,发病率增长30%,死亡率增加18%。 其在妇科恶性肿瘤中5年生存率最低,仅为39%,5年复发率最高,达到70%。
尽管卵巢癌肿瘤细胞减灭术及以铂类为基础的术后化疗延长了患者生存期,但约60%患者接受一线化疗方案后会复发。目前除了PARP*制剂抑**能够满足30%~40%有基因突变的患者外,目前临床上没有更好的药物及疗法来满足临床需求。
此款CAR-NK疗法的研发有利于提高卵巢癌的治疗效果和改善患者生活质量。而且“现货型”的产品可进行标准化批量生产,从而扩大治疗机会,减少治疗成本,临床普及性较高。
2
1年生存率翻一倍,CAR-NK疗法在实体瘤中疗效暴增
近期,《临床肿瘤研究》杂志发布了一项针对肺癌的2期临床试验。热休克蛋白70(Hsp70)在70%左右的中晚期肺癌中高表达,NK细胞在体外先用Hsp70激活,相当于在体外先让NK细胞与未来的敌人先遭遇、先“结仇”,然后回输给病人,让NK细胞在体内正式与癌细胞殊死搏斗——这样一种在体外先用抗原肽刺激、赋予NK细胞一定特异性的作法,是近年来研究的热点。
这项临床试验一共入组了16例III期非小细胞肺癌患者,一组接受传统的放化疗综合治疗,一组接受放化疗联合Hsp70预激的NK细胞回输治疗。
结果显示: Hsp70预激的NK细胞回输治疗,配合传统的放化疗,可以将1年的生存率从33%翻倍到67%,初步结果振奋人心。
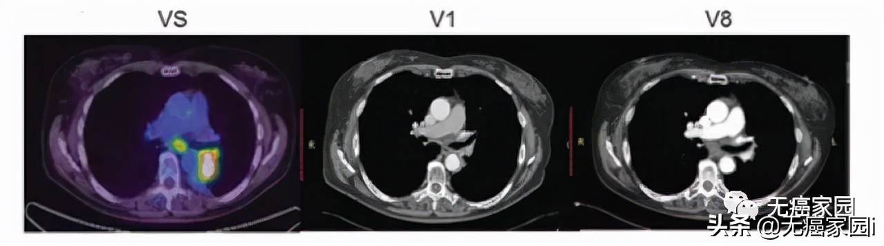
接下来,小编展示联合疗法中一个典型的成功案例,如图所示: 治疗1~2个月后复查,肺部肿瘤完全消失,并且疗效已经保持了18个月。

除了上述提到的国内外临床研究外,CAR-NK细胞还对胶质母细胞瘤和神经母细胞瘤的疗效颇佳,特异性识别和高效*伤杀**乳腺癌肿瘤细胞,对多发性骨髓瘤疗效显著。
想寻求CAR-NK细胞疗法及其他国内外治疗新技术帮助的患者可以先将病历提交至无癌家园医学部进行初步评估。
赶超CAR-T!CAR-NK细胞疗法崛起,有望对多种实体瘤实现精准打击!
血液肿瘤
1
有效率73%!CD19 CAR-NK对白血病和淋巴瘤效果显著
根据MD安德森癌症中心I / IIa期试验的结果,以CD19为靶点的脐带血来源的CAR-NK细胞疗法,在大多数复发性/难治性非霍奇金淋巴瘤(NHL)患者和慢性淋巴细胞性白血病(CLL)的患者中显现出临床疗效,而且未观察到重大毒性反应。
该试验结果近日发表在《新英格兰医学杂志》上。在参与该研究的11名患者中, 有8名(73%)对治疗有反应,其中7名达到了完全缓解!5名有反应的患者继续接受缓解后治疗。没有患者出现细胞因子释放综合征或神经毒性。这意味着他们在中位随访13.8个月时无疾病迹象。
CD19 CAR-NK细胞疗法起效快,输注后1个月内就有明显反应,并且输注后1年这些细胞依然持续存在。MD安德森干细胞移植与细胞疗法教授凯蒂·雷兹瓦尼博士表示:“这项临床试验的结果喜人,接下来将开展进一步的临床研究,探索同种异体脐血来源的CAR-NK细胞疗法的安全性和有效性。”
这是一种新型的疗法,首先需要从脐带血库中存储的脐带血中分离出NK细胞,并对它们进行基因工程改造,引入可识别癌细胞表面靶标的CAR。这些CAR NK细胞回输给患者。
与CAR-T疗法相比,其最大的优势在于不会引起移植物抗宿主病(GVHD),这是一种在CAR-T疗法中常见的由供体T细胞攻击受体中的健康细胞引起的破坏性疾病。 由于NK细胞不会引起GVHD,因此可以将它们从供体提供给接受者,而无需进行匹配。这意味着您可以从一个供体中制备多个剂量的CAR NK细胞来治疗多个患者, 从诊断到癌症治疗的时间大大缩短。

图为患者的治疗情况(图片来自NEJM)
2
再添利器!iPSC来源的CAR-NK疗法针对淋巴瘤效果颇佳!
2021年12月13日,在2021年美国血液学会(ASH)年会上,国外研发公司Fate Therapeutics展示了针对复发/难治性B细胞淋巴瘤(BCL)患者的FT596项目1期研究的积极中期数据。
FT596是一款现货型、多抗原靶向、iPSC来源的自然*伤杀**(NK)细胞候选产品。
在ASH大会上,该产品展示了截至2021年10月11日的临床数据,来自第一、第二、第三单剂量队列的25例患者中,15例患者(60%)患有侵袭性B细胞淋巴瘤,15例患者(60%)对既往治疗无效,8例患者(32%)先前接受过自体CD19 CAR-T细胞治疗。
单剂量、单周期数据
在第二、第三和第四剂量队列的26例患者中, 18例患者(69%)在单次剂量FT596后的第29天达到客观缓解,包括12例患者(46%)达到完全缓解。 值得注意的是,在联合组共12名患者的第三和第四剂量队列中,9例患者(75%)在单剂量FT596治疗后的第29天达到了客观缓解,其中包括7例患者(58%)达到完全缓解。
长期数据
ASH上的报告包括了第二和第三单剂量队列中的13例患者的长期数据。截至2021年10月11日, 10例患者处于持续缓解状态; 2例患者达到6个月的完全缓解,随后出现疾病进展;1例患者在6个月内出现疾病进展。
NK疗法适合哪些患者?
细胞免疫疗法理论上可以对应任何阶段的癌症,比如:
- 手术清除病灶后,希望使用细胞免疫疗法提高免疫力,清除残存癌细胞,预防复发,延长生存期的患者。
- 放疗、化疗后,免疫力低下,副作用反应明显(如食欲减退、恶心、脱发、皮肤炎症等),期望增加放疗、化疗效果的患者。
- 由于害怕放疗、化疗的毒副作用,希望利用各种治疗手段实现治疗效果的患者。
- 肿瘤晚期癌细胞已经全身扩散,但常规治疗方法已无能为力,期望延长生存期,提高生活质量的患者。
无癌家园专家建议
细胞免疫疗法对于晚期癌症患者肿瘤的缩小效果不明显,针对晚期癌症的患者起到的效果是保持生活品质的同时又延长寿命;而最适合接受细胞免疫疗法的其实是刚手术完,作为术后的辅助治疗法抑制复发,维持治疗效果的早期中期癌症患者;与化疗、靶向药、PD1*制剂抑**等其它疗法联合治疗,效果会更佳。
细胞免疫疗法并不是适合所有的癌症患者,像魏则西所患的肉瘤,本身就是恶性程度很高的罕见肿瘤,全球目前都没有很好的治疗方法,所以,细胞免疫疗法自然也是不适合的。因此,请保证你自己、家人以及患者朋友远离网上的虚假信息,选择接受治疗前一定先经过正规、权威肿瘤医院的专家进行评估,此外,细胞免疫疗法的费用相对来说比较高,不是每个家庭都能接受,大家一定要结合家庭经济条件慎重选择。
NK细胞治疗临床研究进行中
经过几十年的临床研究,世界上已经实现了既增强了NK细胞活性,又成功增加了NK细胞的数量,完成了NK细胞回输体内对抗癌细胞必备的两项基本要求。目前,无论是中国、日本还是美国,NK细胞培养技术都已经非常成熟。 想了解的患者可以致电无癌家园医学部,提交病历并由专业医生为您进行评估。
小编坚信,将会有越来越多的细胞免疫技术和药物联合使用的试验不断涌现,只要不放弃任何一点希望,攻克癌症指日可待!
相关文章链接:这个杀手不太冷——看NK细胞如何捍卫在抗癌第一线
抗癌的天生战士,NK细胞疗法有望成为免疫治疗界的新宠