
“医生,怎么办,我女儿的两颗门牙磕断了,正从莱西往医院赶……”5月12日下午4时10分,青岛市口腔医院病人服务中心接到一个“特殊”的电话,电话是患儿的父亲郭先生打过来的,电话那头的声音显得很着急。
从莱西市区赶到医院所在的西部城区,在下午交通高峰至少需要1个多小时,而此时距离医院下班只有40多分钟了。“往医院赶吧,我们等你。” 病人服务中心工作人员王丛丛赶紧联系儿童口腔科、放射科及院感科留人加班等候。

下午5时27分,郭先生一家三口急匆匆进了医院门诊大厅,王丛丛马上协同患儿家长安排就诊,并全程引导拍片检查。急诊值班的张进医生首先做了初步检查,儿童口腔科主任杨玉娥赶来会诊。
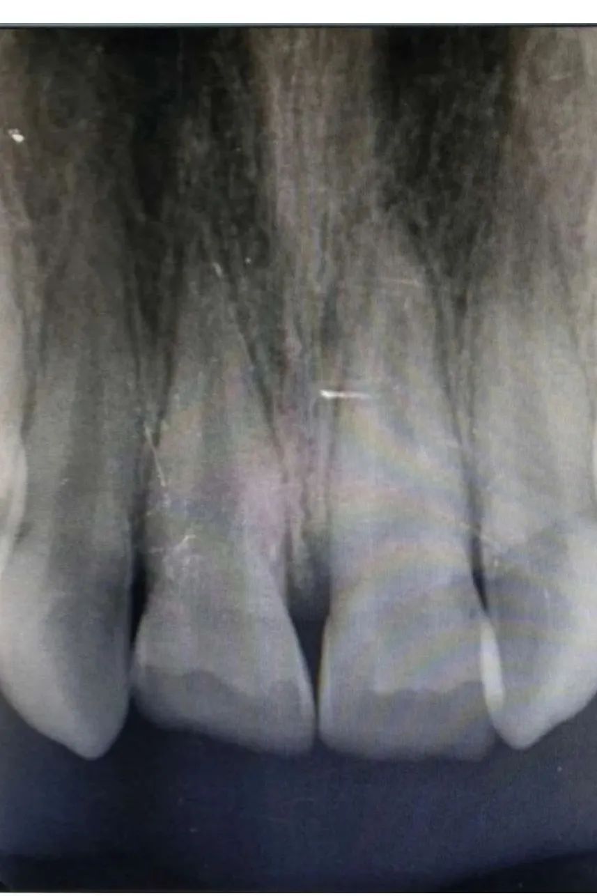
检查发现冠折露髓,两颗上门牙牙冠都缺损三分之二,牙髓暴露渗血,其中一颗有裂纹。幸运的是,虽然牙冠折断了,但拍片显示牙根没有明显折断且发育良好,可进行根管治疗,将断了的牙齿“接”回来。

“恒牙脱落不能再生,如果牙根折断或者没有及时治疗,整颗牙齿都可能保不住,不仅会影响孩子的口腔健康,还会影响孩子的颜值和发音,身心都可能会受到伤害。”儿童口腔科主任杨玉娥当即决定,转至儿童口腔科,尽最大努力挽救这两颗珍贵的恒牙。
儿童口腔科张晨医生在杨玉娥主任的指导下,连夜给小丽做了牙髓摘除,便于其吃饭,并于次日上午与冯娜医生一起共同完成了根管治疗和裂纹修复。经过前后数个小时的治疗,小丽摔碎的牙冠被成功地粘接回原来的位置,恢复了美丽笑容。

这么严重的牙外伤是怎么发生的呢?原来5月12日下午,郭先生11岁的女儿小丽在家中客厅正兴高采烈地玩耍着弹跳杆,一不小心摔倒在地板上,直接磕碎了2颗大门牙。小丽和父亲去了当地医院口腔科,随后被建议转诊至青岛市口腔医院。
无独有偶,在给小丽治疗过程中,当晚7时许,医院急诊又迎来了一位牙外伤8岁男童,同样是来自于莱西,同样是摔碎上颌两颗门牙。不同的是,小男孩是在小区里骑自行车不慎摔倒的。经外伤序列治疗,小男孩两颗牙齿的牙根都得以保留,为后续修复奠定了基础。

同一天两名儿童接连发生牙外伤,为广大家长敲响了警钟。
儿童口腔科主任杨玉娥介绍,儿童牙外伤的发生率较高,口腔门诊经常都能遇到,但是真正懂得牙外伤急救的家长却不多。如果孩子出现牙外伤,无论是整个掉了还是折了一半,都应该马上找到脱落的牙齿,并保持牙齿的湿润,可将它保存在鲜牛奶或生理盐水中,或者将牙齿放在嘴巴里(脸颊内部或舌头下面),以保持牙齿的湿润度,注意要防止儿童不慎吞咽牙齿。然后以最 快的时间赶到医院治疗,只要就医及时,脱落的牙齿还有再植成功的可能。

孩子的牙齿被撞后,若缺损较小,没有疼痛感觉,牙齿貌似健康,家长们就很容易忽略就医。对此,杨玉娥主任提醒广大家长,这种大意行为其实深藏隐患,牙外伤后出现牙髓病变的几率很高,如不及时治疗,可导致牙根吸收,最终牙齿脱落。所以,孩子的牙齿被撞后,即便没有明显症状,家长也需立即带孩子到院检查并定期复查,以便出现病变后能得到及时治疗。

来源:青岛市口腔医院
编辑:chen
【免责声明:尊重原创,旨在分享。版权归原作者所有,图文如有侵权请及时告知删除。联系电话:0532-68873526】

聚 焦 青 岛

✦家长们注意!青岛已有205家儿童接种门诊恢复服务!
✦好消息! 疫苗最快4月下旬申报临床试验!还有这些防疫新进展!
✦紧急提醒! 青岛购买发热、咳嗽类药品必须实名登记!
✦ 点击参与对新冠肺炎认知防护调查问卷
✦ 战“疫”,争分夺秒的“青岛时间”!
✦青岛4家医院线上发热门诊入口、使用方法!
