来自清远的梁叔,今年刚过半百。平日里身体健硕的他,怎么也没想到,一次意外摔伤后竟出现头晕头痛、肢体无力的情况。
大约2个月前,梁叔在做家务时不小心摔了一跤,脑袋刚好撞到家具上。当时除了撞到的地方有点痛之外,并没有其他不适,所以梁叔也没有在意。
1个月前,梁叔再次感觉头晕头痛,而且痛的程度比刚撞到头的时候还要严重些。梁叔还发现自己左边肢体总有些无力,活动也不如以前灵活了。为安全起见,家人陪同梁叔到当地医院做了检查。外院CT结果显示梁叔的右侧脑袋里有慢性出血。这下可急坏梁叔一家人,经朋友介绍,梁叔来到了广东三九脑科医院。
我院神经外九科主任穆林森接诊了患者。穆林森仔细查阅患者的影像资料后,耐心地向患者及家属解释,“不必太担心,患者的‘脑出血’与平时大家所说的‘脑溢血’有所不同。患者出血的位置在脑组织外,位于硬脑膜下,这类出血虽然也会出现头痛、偏瘫等症状,但经过微创手术引流后,很快就能缓解。”听完穆林森的介绍后,梁叔及家人这才松了一口气。

术前CT示:左侧额颞顶部慢性硬膜下血肿。
住院的第二天,梁叔便接受了“钻孔冲洗引流术”。术中,切开硬脑膜的一瞬间,暗红色的液体伴随着小血块往外涌。待压力稍稍降低后,再用温盐水沿小孔的各个方向进行反复冲洗,确保血块清除干净。手术顺利,创口仅有3cm。
梁叔在麻醉苏醒后不久,便明显感觉头痛及左侧手脚活动比之前好了很多。“真的是立竿见影啊!”梁叔既感慨,也是由衷感谢。

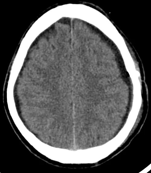
术后CT示:血肿引流冲洗满意,脑组织较前复张。
梁叔出院时,穆林森反复提醒,后期也要注意休息,并进行“吹气球”等锻炼,促进脑组织复张,填充脑表面与硬脑膜的间隙,避免复发。

穆林森
神经外九科科主任、医学博士、主任医师
慢性硬膜下血肿常常发生于中老年患者头部外伤后,更易发生于伴有高血压、糖尿病等慢性病人群。主要症状有头晕头痛、恶心呕吐、肢体活动不灵、偏瘫、肢体抽搐等。因其典型症状往往出现在外伤后3周以上,所以早期容易忽略,甚至容易与“脑梗死”等疾病相混淆,所以对于头部外伤后出现类似症状的中老年人群,应尽早到正规医院进行系统检查。
对于少量出血且无症状者,可以选择保守观察治疗。对于出血量较多且存在临床症状者,可以选择开颅清除血肿或微创钻孔引流,多数患者经手术治疗后均可取得满意的疗效。
由于患者脑组织受压时间过长、复张困难,该疾病存在一定的复发风险,故对于存在脑萎缩的老年患者,术后的系统管理也尤为重要。