门诊遇到不少病友因身上长小疙瘩,虽不痛不痒,但逐渐增大,过来就诊的,手术切除后病理检查结果提示:脂肪瘤。今天就让我们一起来认识一下这种被称之为“脂肪瘤”的小疙瘩吧!

脂肪瘤(Lipoma)是由成熟脂肪细胞所构成的良性肿瘤,好发于颈、肩、背和腹部,其次为四肢近端(如上臂、大腿、臀部)。主要分布在皮下,称之为浅表脂肪瘤,亦可见于肢体深部和肌腹之间,称为深部脂肪瘤。
(一) 病因

脂肪瘤的病因目前并没有十分明确,可能与炎症刺激结缔组织变性、脂肪组织代谢异常和障碍、脑垂体前叶性腺激素水平分泌异常、先天性发育不良、肠道营养不良等因素有关。约1/3多发性脂肪瘤患者可有家族史。
(二) 临床表现

脂肪瘤可发生于任何年龄,但多见于40~50岁中年人,儿童较少见。浅表脂肪瘤除了局部肿块外几乎不引起任何症状,深部脂肪瘤多沿肌肉生长,可深达骨膜,但很少侵犯邻近骨骼。脂肪瘤,可为单发也可为多发,大小可以从几毫米至几十厘米不等。肿瘤生长缓慢,质地柔软,边界清楚,呈分叶状,活动度良好。多无自觉症状,很少引起疼痛,出现疼痛常常是由于大的脂肪瘤压迫周围神经导致的后期症状。深部或筋膜下脂肪瘤可引起各种症状,取决于它们的部位和大小。
脂肪瘤发病与患者的全身营养状况无关,此肿瘤在消耗性疾患者身上也能长期存在。
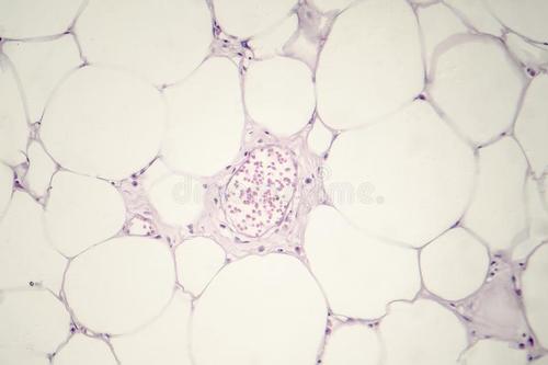
(三) 相关检查
1.影像学检查
根据脂肪瘤发生的部位可选择超声检查、CT检查、磁共振检查等。超声检查对于诊断有很大的帮助,脂肪瘤表现为圆形的透光性肿块,由于周围组织的密度高可被清楚地显示出来,可以判断肿物位置、大小,质地及血液供应情况。CT显示为具有皮下脂肪组织特征的肿块。核磁T1加权像中,表现为高信号。
2.病理学检查

病理学检查切面呈淡黄色,有完整薄层纤维性包膜,内有小梁分隔的脂肪小叶。瘤细胞主要为成熟的脂肪细胞,偶见少数脂肪母细胞。瘤体内一般血管不多,偶可见灶性黏液变性、钙化或骨化。
(四) 如何诊断?

主要依据临床表现:发生于皮下组织,生长缓慢,可移动,以及其硬度与分叶现象,均为诊断特点,再结合相关检查结果方能诊断。
(五) 怎样治疗?

直径在1cm内的孤立脂肪瘤一般不需处理。较大者可行手术切除,深在的脂肪瘤有时因较难完整切除,有复发的可能性,但恶性变几率很小。多发性脂肪瘤治疗也以局部切除为主。
专注您的皮肤健康问题,了解更多皮肤相关小知识,欢迎关注,点赞,有问题可私信留言,多谢支持!