


近期,北京积水潭医院新龙泽院区普外科与急诊科、麻醉科、重症医学科、呼吸内科和心内科合作,充分发挥综合医院多学科协作优势,成功救治一位93岁的肠梗阻患者。
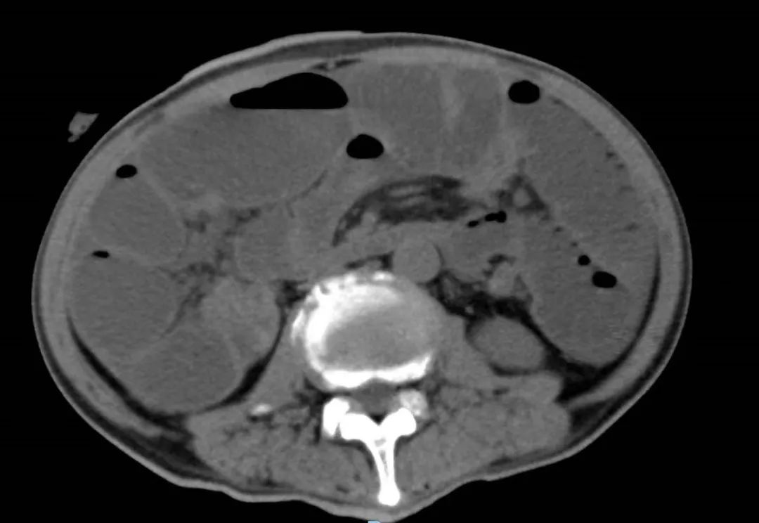
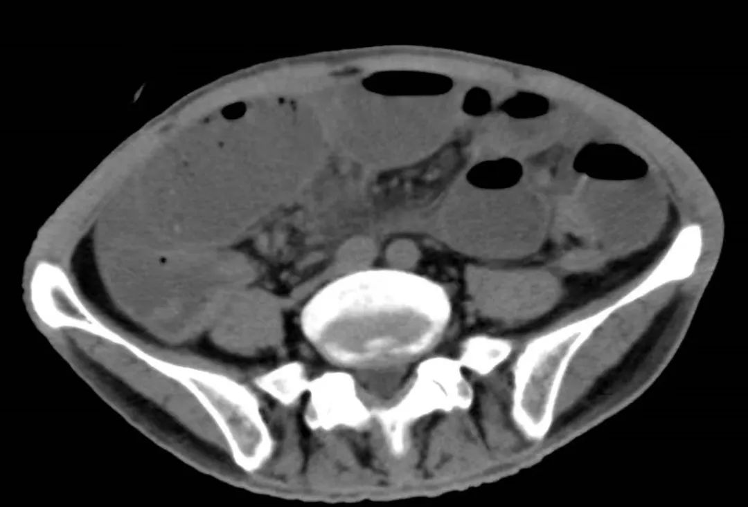
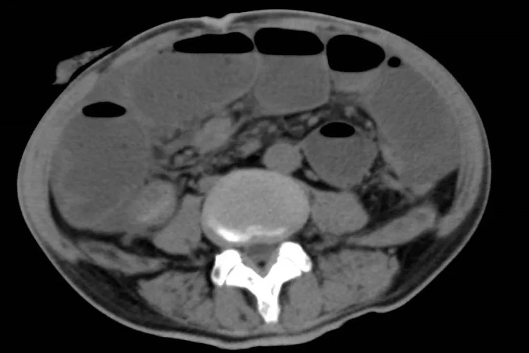
2022年5月的一个凌晨,一位93岁的老奶奶因为腹胀和呕吐被送到了新龙泽院区急诊科,经过问诊和初步查体后,接诊医生考虑患者存在肠梗阻,立即为患者申请了急诊腹部CT检查,结果显示患者的升结肠存在一个巨大的肿物堵塞了肠腔。在给予补液和胃肠减压的同时,普外科立即对患者的病情进行了紧急评估和讨论。肿瘤导致患者出现肠梗阻,手术是唯一的解决方案,但患者高龄且身体非常瘦弱,围手术期发生肺部感染、心脑血管事件等并发症的概率非常高。普外科高鹏骥主任医师制定了急诊实施腹腔镜下右半结肠切除的手术方案,并在麻醉科和手术室医护团队的密切配合下顺利完成了手术。



由于患者非常虚弱,我们在手术后将患者转入了重症医学科进行治疗。在重症医学科张柳主任医师团队的积极治疗下,患者成功撤除呼吸机支持后转回了普外科普通病房。在普外科病房治疗期间,曹彤欣护士长带领护理团队制定了详细的恢复计划,有效预防了褥疮、深静脉血栓等卧床并发症的发生。在此期间,呼吸科和心内科的医生也多次会诊给予指导,成功控制了肺部感染和心功能不全。在各科室医护团队的团结协作下,患者成功康复出院。
近年来,北京积水潭医院普外科在微创外科手术领域积累了丰富经验,除了广泛实施的腹腔镜下胆囊切除和胆总管切开取石、腹腔镜下疝修补手术以外,重点开展了腹腔镜下肝部分切除、腹腔镜下胰腺癌根治性切除和胃肠肿瘤的微创外科手术。与传统开放手术相比,腹腔镜手术创伤小很多,术后疼痛明显减轻,脏器功能恢复更快,能够更好地康复出院和恢复工作。
文图丨普外科 高鹏骥 徐耀凯
编辑丨靳晓方 于淼