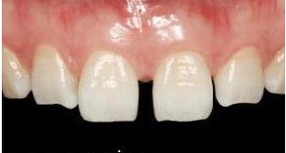
门牙有缝,很烦恼,
门牙有缝,一般来说,在牙科有三种解决办法。
1、牙齿矫正,收拢牙齿,使牙缝关闭。太贵了真没必要。
2、做美容冠,磨小牙齿,套上假牙冠。真别这样干,得不偿失。
3、用进口树脂补牙缝,这种方法实惠又快。虽然会掉,总比磨小牙齿好。
下面用实例给大家讲解一下牙缝树脂美学修复:

使用硅胶印模取出模型,如下图:

使用白蜡堆砌牙齿,并雕琢,如下图:

在石膏模型上制取成型后的牙齿硅胶印模,并在真牙上对比,如下图:

清洁牙面,在牙齿需要粘接的地方,涂抹酸蚀剂,并冲洗干净,如下图:

涂抹粘接剂,并光固化,如下图:

使用制取的硅胶印模撑底,用流体树脂堆砌出牙齿内侧结构,如下图:

内侧堆砌初见端倪,如下图:

进一步堆砌树脂,使牙齿整体结构完善,如下图:

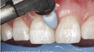
开始打磨牙缝,使牙缝更自然美观,如下图:

打磨牙缝表面,使整体透亮有质感,如下图:

树脂粘接部分切端,磨除一些,减少受力。最后成品如下:

这种方法便宜,制作过程快,一般进口树脂,三五年不会掉,也取决于医生技术和心情。国产树脂完全看医生技术与病例实际情况而定了。每种方法都有利弊,我觉得最亲民的才是好办法。如果你感觉不错,赶紧转发呀,别再让小伙伴们花上万元去矫正。有的小伙伴更惨,磨小牙齿戴假牙,活生生的二次伤害。这回我不喷医生,毕竟我也是,就喷你不转发,有料不转,害人啊!