点击「神经介入在线」可快速关注
作者:吴迎春、孙锐、王俊梅*(通讯作者)、冯冠青、郝小军
单位:鄂尔多斯市中心医院神经内科二区
病例详情
病情信息
男性,52岁。进展性卒中,因左侧肢体麻木5小时,意识障碍伴左侧肢体活动受限3小时入院。
既往史:大量饮酒史。
查体:浅昏迷,双侧瞳孔不等大,D右:D左=3.0:1.5mm,对光反射消失,左侧鼻唇沟变浅,左眼闭合不全,左侧肢体肌力0级,左侧病理症(+),其余查体不能配合,内科查体无异常。NIHSS评分:20分,心电图:正常心电图,随机血糖:17mmol/l,头颅CT:未见异常。
初步诊断:缺血性卒中。
责任血管:椎基底动脉系统(大血管闭塞可能性大),符合急诊血管内治疗指征。
急诊MRI+MRA:右侧丘脑及小脑半球多发新鲜梗死病灶,右侧颈内动脉颅内段未见显影,基底动脉尖未见显影!

患者病情危重,责任血管:右侧颈内动脉?右侧大脑后动脉?
发病6小时,rtPA静脉溶栓超时间窗,给予100万尿激酶静脉溶栓,同时与家属沟通建议脑血管造影,根据结果行血管内治疗。
患者烦躁,不能配合手术,联系麻醉科给予全麻。
手术过程
入院2.5小时全麻成功,造影。


造影结果:右侧颈总动脉远端闭塞,前交通动脉开放,代偿方式:左侧颈内动脉→左侧大脑前动脉A1→前交通动脉→右侧大脑前动脉A1(反向)→右侧大脑中动脉供血区代偿。双侧大脑后动脉、右侧小脑上动脉及基底动脉顶端未见显影。
结合病史,体征及影像学,考虑患者本次发病为基底动脉尖急性闭塞,发病机制:栓塞?右侧颈总动脉慢性闭塞?非责任血管,且代偿良好,暂时不需处理!
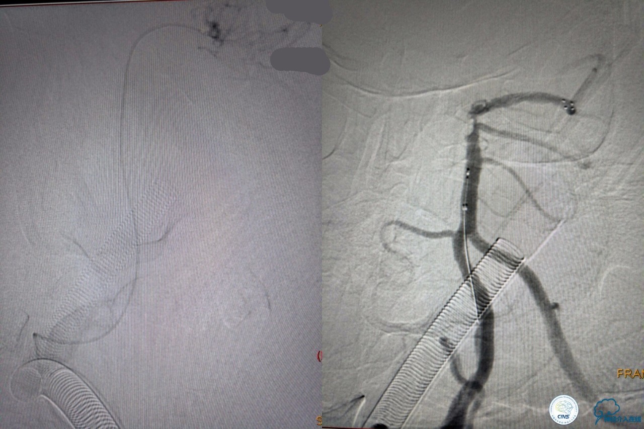
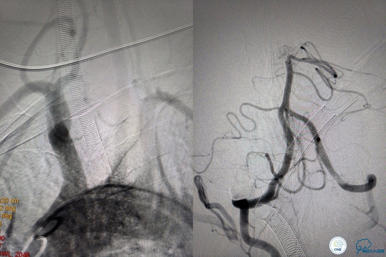
6F导引导管到位至RV2远端,rebar-18微导管及transand微导丝至右侧大脑后动脉P1远端。

solitaireAB4-20mm支架取栓。

基底动脉顶端仍有大量血栓,双侧大脑后动脉未见显影,双侧小脑上动脉再通。再次取栓?还是动脉溶栓?
决定导管内给予替罗非班6ml,复查造影BA顶端仍闭塞,第二次取栓。


第二次取栓后可见基底动脉顶端仍有大量血栓,右侧大脑后动脉开通,但左侧大脑后未见显影且左侧小脑上动脉闭塞!
第三次取栓,支架放入左侧大脑后取栓。

第三次取栓后,左侧大脑后动脉开通,但是栓子再次栓塞右侧大脑后动脉,血栓在基地动脉顶端来回左右摆动,下一次,怎办?血栓负荷太多,可以使用solumbar技术,可以没有颅内导管,没办法,换用更大的支架6-20mm,但费用增加不少,与家属沟通后同意使用,第四次取栓:

血栓负荷还是很大,左侧大脑后再通,但右侧大脑后又闭塞,只能第五次取栓,支架放到右侧大脑后动脉更远。

好大的血栓,支架释放后,血管无复流,拉一把!

没错,没看错!血管成功实现再通,术中取栓的栓子如下。

术后
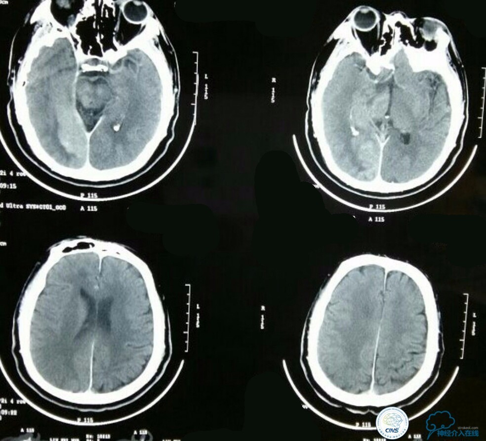
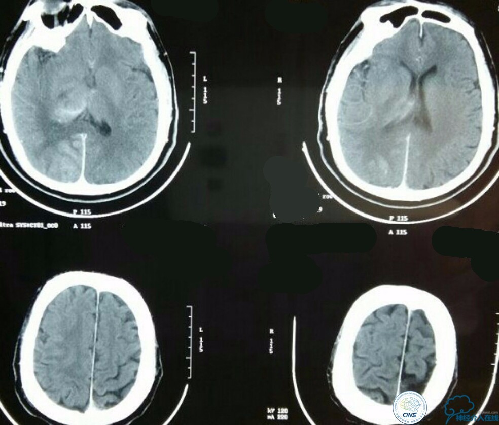
术后生命体征平稳,成功撤呼吸机,肌力较前好转,复查头颅CT:


右侧丘脑高密度影,右侧枕叶可能也有梗死,祈祷慢慢恢复吧!
总结
1.术前影像学评估很重要,尤其要重视查体,定位及评估。
2.基底动脉尖综合征的发病机制多为栓塞。
3. 3mm以上的血管选择6mm的支架可能更合适。
4.血栓负荷较重可选择最新技术,solumbar技术(支架取栓+导管抽吸)或双支架技术(没办法时)。
5. 后循环时间窗可以适当延长,而且更多选择全麻!