我们在参加各种体检之前就会被告知,检查当天一定要空腹。虽然都按照体检中心的要求去那么做了,可是云里雾里的一直也不明白为何要空腹去体检。后来慢慢才知道,是否空腹不仅对于化验的一些指标会有所影响,而且对于超声检查,空腹也是很有必要的。
今天吴医生邀请到了吉林大学第一附属医院二部,电诊科主治医师,邵江波医生给大家详细地讲讲,空腹对于超声检查的重要性。

吃完饭就看不清楚的胰腺
对于腹彩超声医生来说,最大的敌人可能就是胃肠道内的气体了,超声照射在气体上,会形成一团白白亮亮的“高回声”,这像云朵的一团“高回声”遮挡住了后方的器官,无法显示出来。所以对于一些餐后的患者,由于胃内的食物残渣和气体的遮挡,后面的胰腺很多时候就无法显示。

图一,餐后的上腹部,中间这团白白的亮亮的“云朵”就是气体,后面的脏器被气体的“光芒”所遮挡,完全无法显示,这个时候患者有胰腺炎,胰腺的肿瘤,就无法显示出来了。

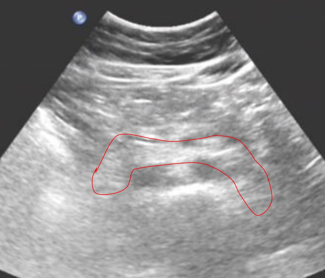
图二,空腹的患者,红线圈出来的部分就是胰腺,可以看到这个胰腺回声均匀,并且没有长东西,是一个健康的胰腺~
对于一些餐后的患者,就无法检查到胰腺炎以及一些占位性病变了(指的就是胰腺癌啊,胰腺的囊肿啊等等,尤其是胰腺炎,晚上值急诊班的时候,有部分腹痛的患者,胰腺炎的症状很明显,但是彩超看不到,就是因为大多数吃完晚饭,胃里还有很多食物残渣和气体,影响了超声的检查效果),这也是一些彩超报告中所谓的“上腹积气,胰腺无法扫查”,不是大夫不给好好看,是真的看不到啊……
吃完饭就瘪了的胆囊
胰腺位于胃的后方,受进食的影响比较大,那胆囊明明位于右上腹,和胃也挨不着,为什么也得空腹查呢?
这个就要从胆囊的功能说起了。胆囊是一个储存胆汁的空腔脏器,正常肝脏生成的胆汁,很大一部分都储存在胆囊里,在三餐的时候,根据体液调节和神经调节的作用,胆囊将储存的胆汁排到消化道中,参与食物的消化吸收。
在彩超当中,胆囊相当于一个装满了胆汁的气球,在胆汁排空的时候(所谓排空也是相对充盈而言的,吃再多东西,胆囊里多多少少也会有一些胆汁的),这个气球就瘪了,内部也容易出现一些褶皱,这些个褶皱和胆囊内的息肉就不容易鉴别了,而且有的小石头也容易藏在褶皱里,超声很难分辨的。

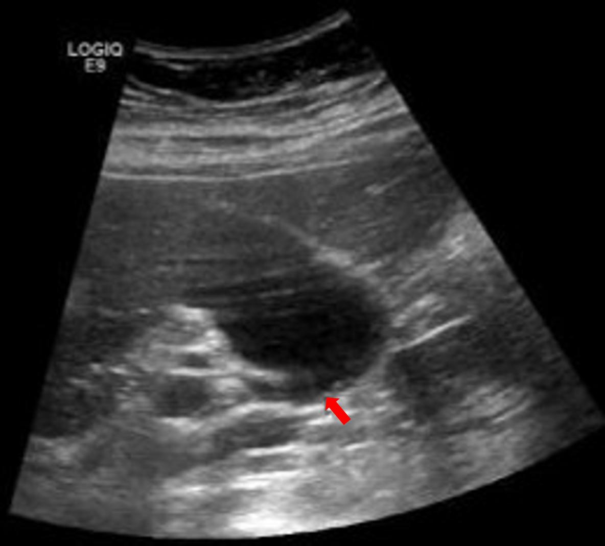
图三,空腹患者的胆囊,胆囊充盈良好,内壁显示很清楚,即使这种不到2mm的小结石,仔细观察也是可以发现的。

图四,也是空腹患者的胆囊,这种小息肉不到2mm,仔细扫查也可以发现的。

图五,这个红笔圈出的是餐后的胆囊,胆汁排出了一部分,相比之下,这个胆囊壁的褶皱之间有没有息肉和结石,就不好说了。
所以做胆囊超声检查时,最好也是空腹的,这样胆囊充盈的时候,鼓鼓的,内壁才看的清楚(这里指的空腹不仅是不能吃东西,糖啊,牛奶豆浆饮料啊,都不行的,只可以喝清水)。
体检的腹部彩超,主要检查肝胆胰脾肾膀胱,男同志还能检查前列腺,女同志还能检查妇科。空腹情况下是最好的体检状态,当然个别情况,例如患者低血糖,状态不好必须进食,也是可以检查的,完全不影响其他器官的检查,只是胆囊和胰腺就要通过别的方法检查了。对于胆囊切除术后,并且不需要检查胰腺的患者(例如肝炎或肝硬化的患者复查肝脏,或者肝脏内有血管瘤、囊肿之类的肿物,复查大小),抽完血之后少吃点东西,也是可以检查的。
以上就是关于做彩超检查为什么要保证空腹的讲解,其实总结起来很简单,就是为了避免因为饮食而对检查胰腺和胆囊等器官造成干扰。
我是五号医生吴昊,医学科普,我们是认真的。希望这篇文章能够帮助到需要的人。