生活中难免磕磕碰碰
有的时候以为只是 轻伤或皮外伤
却没想到一个月甚至三个月后
隐藏的伤害“爆发”了……
案例
锻炼时不小心摔倒,一个月后才发病……
今年1月底,70岁的刘老伯(化名)在锻炼时,不小心摔倒, 撞到头部,有轻伤,当时他自己感觉并不严重, 没有恶心、呕吐、昏迷等情况。所以,刘老伯没有当回事,继续照常生活、锻炼……

意外的是 ,3月初,刘老伯突然感到头痛、头晕,并持续加重,肢体也乏力, 家人立即将刘老伯送至我院就诊。
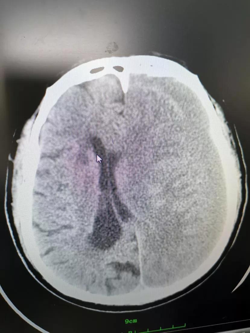
急诊行脑CT提示——
刘老伯左侧额颞顶枕部慢性硬膜下血肿,中线结构明显右移。

进展
病情加重,出现脑疝风险
这是近期刘老伯第二次入院。去年年底,他曾因脑梗入院, 此后一直服用抗凝药。 这次摔倒后再次入院,医生建议, 最好停抗凝药4、5天后手术, 以降低术中、术后出血风险。
没想到次日,刘老伯病情急转直下, 意识障碍加重,处于嗜睡状态,言语不清,四肢肌力大幅减退,右侧手臂完全抬不起来。

如果不及时手术为 颅内减压, 血肿会持续对脑组织造成严重的压迫,颅压继续增高,形成脑疝风险,很可能危及生命。
在衡量手术风险与老人情况后,脑科中心诊疗团队决定为刘老伯实施 钻孔引流术,排出血肿。术后效果明显,刘老伯很快清醒。

怎么一个月前摔的跤
现在找上门来“搞事”?

脑科中心医生解释,慢性硬膜下血肿是指 外伤3周以后颅内出血, 发生在硬脑膜下腔,占位效应明显,致颅内压增高,使脑组织受压,产生头痛、呕吐、肢体乏力,甚至意识障碍等症状。
在临床中并不少见,多发于老年人或儿童,大多数伴有轻微外伤史,比如不小心磕到头。 而这样的轻伤很容易被忽略,而且潜伏期长, 1个月甚至3个月后才表现出明显症状。
慢性硬膜下血肿隐蔽性强,又被称为“沉默的脑出血“。很多摔伤头部的人在清醒期的时候, 自认为已经好了,没有什么大事,不必去医院。这个就是一直被大家错误理解的没事, 短暂的意识丧失未被重视,并不代表头部就没有问题。
提醒
摔伤后注意事项
一般在大家的意识里,只有严重摔伤才会及时就医,如轻伤或未见明显外伤,就可能忽视。

小炬人
摔伤后不要心存侥幸,应及时就医,做脑部CT等(影像检查)检查,排除是否有颅内损伤的可能。
即使当时检查未见明显颅内损伤, 在随后1-3个月时间里,也要注意观察身体情况, 特别是老年人或儿童,如果出现头晕、头痛,且持续性加重、肢体乏力、恶心、呕吐症状,立刻就医。

