想吐糟的是这样一个剧情:平日孩子发烧了,带孩子就医;医生上来就说:以前得过肺炎吗,三天输液,是一定要的。且不说,剧中医生根据既往有无肺炎,来判断此次发热是否需要输液,这个逻辑本身就是错误的。即使这次发热就是因为得了肺炎才导致的,那输液就是一定要的吗?
今年冬天不太平静,支原体肺炎和病毒性肺炎的病人比较多,有些发展成重症肺炎,甚至有极少数病人因此死亡。
肺炎常见的症状有哪些?
统计最近一个月的几十例肺炎病人,最常见的症状是咳嗽和发热,有的咳痰,也有一些因为痰液粘稠,不容易咳出来。
发热的表现也不一样,有些是低热,有些是反复高热,甚至体温能达到40度,伴有浑身酸疼、头疼、乏力、倦怠、食欲下降,需要及时就诊,及时治疗。

这位2岁小朋友咳嗽一周,发热三天,胸部拍片显示双侧肺炎,右侧面积很大,需要紧急住院治疗。
警惕不发热的肺炎
必须要注意,有一些老人和儿童体温调节机制不健全,已经有肺炎表现,但是并没有发热,也应引起足够重视。

这个小女孩感冒好几天了,咳嗽越来越厉害,有时甚至能引起呕吐,但只是发热一天。
拍胸片发现左侧肺炎已经很明显了(片子上看到大片雾蒙蒙的实变影,提示病程在一周左右),需要马上抗生素治疗。
孩子的妈妈还念叨一句,一直以为只要不发热就没事,昨天开始发热,才有点担心。
好在治疗挺及时,使用的抗生素也很敏感,六天以后复查炎症已经基本吸收了:

理性看待输液治疗
不知道为什么,最近有很多帖子批评甚至驳斥输液治疗。
我们不能从一个极端走向另一个极端。
生老病死是自然规律,肺炎的时候,提示人体抵抗力已经不能对抗外侵的细菌,需要外界的帮助,包括合理休息、适当增加营养、还有必要的、合理的抗生素治疗。

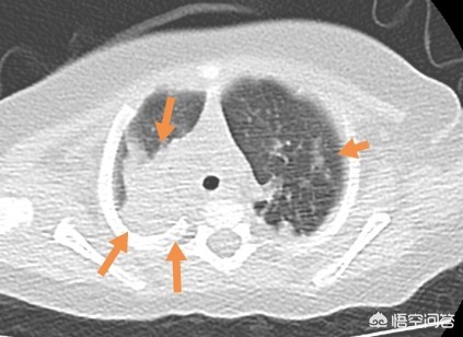
像这位小朋友,重症支原体肺炎,由于粘稠的分泌物堵塞气道,炎症吸收很缓慢,后来通过支气管镜灌洗,清理了气道的毒素和分泌物。
当天下午孩子的精神状态就恢复很多,咳嗽明显减轻,也喜欢吃奶了,睡觉也安稳了。
当时孩子的奶奶就哭了,心疼孩子这么多天遭罪。
小孩子不善于表达,老年人不愿意麻烦孩子们,这两类人群身体出现不舒服,家里人应当重视起来,不要把小肺炎耽误成重症肺炎,花钱会更多,受罪也会更大。那今天,我们就聊一聊小儿肺炎,以及关于小儿肺炎的常见的一些误区。

肺炎分类
肺炎按病因可分为感染性和非感染两大类。
通常因发热、咳嗽就医的,都是感染性肺炎。为了区别在医院内感染导致的肺炎,医学上用社区获得性肺炎(community acquired pneumonia,CAP),来表示原本健康的儿童在医院外获得的感染性肺炎。CAP是儿童期尤其是婴幼儿常见感染性疾病,是儿童住院的最常见原因,更是5岁以下儿童死亡的首位病因。
而非感染性肺炎的发生多数和自身体质、环境因素和突发紧急事件有关。例如溺水后导致的吸入性肺炎;反复吸入各种有机粉尘、化学物质、微生物导致的过敏性肺炎。
什么是感染性肺炎?
它是肺实质和(或)肺间质部位的急性感染,引起机体不同程度缺氧和感染中毒症状。
临床表现
不同年龄,不同病原体感染导致的肺炎,临床表现各有不同。但总体来说,大多数会有发热、咳嗽、喘鸣、呼吸增快、呼吸困难、*吟呻**等。重症肺炎还会有胃口不好、小便量减少、困倦甚至嗜睡等症状。

传染途径
最常见是通过飞沫传播。病原携带者可以通过咳嗽、打喷嚏、说话,从口部或鼻部排出飞沫,而将病原体传染给健康人;另一方面也可以因为和病原携带者密切接触,如接触了病原携带者的污染物(如痰、鼻涕、唾液等)。总之,肺炎的传播途径十分广泛,空气不流通、人群密集的公共场所,如商场、幼儿园、室内游乐园等都可能成为传染场所。

诊断方法
病史+体征+检查,就是具备典型的发热、咳嗽、气促的病史,医生查体肺部听诊可闻及固定的细湿啰音,胸片检查支持肺炎诊断。其中,胸片检查是金标准,即有的小婴儿,可没有典型的发热、咳嗽病史,但是根据异常的胸片检查,也可诊断肺炎。
治疗方法
轻度的CAP可在门诊或家中治疗。家长需做好发热、咳嗽的护理、预防脱水、病情观察等,如初始治疗48小时无效、高热不退,或病情恶化出现呼吸急促、呼吸困难、紫绀等,必须及时转诊治疗。重度CAP则需收住院治疗。
有哪些误区?我整理了问的最多的,掌握这些,90%的肺炎是可以避免的。

误区一
「 肺炎一定会发热、咳嗽 」
不是的。通常年龄越小的婴儿,肺炎表现越不典型。小于4月龄的婴儿,肺炎通常不会发热,也没有频繁的咳嗽,而是以鼻塞、呛奶、吐奶,胃口不好,持续口吐沫,口周发青,呼吸增快甚至*吟呻**为表现。
误区二
「 咳嗽不及时治疗,就会引起肺炎 」
不是的。临床上引起咳嗽最常见的原因是上呼吸道感染,大多数上呼吸道感染可以自愈,并不需要用药。只有在少数情况下,例如感染了毒力强的病原或者孩子存在基础免疫力低下,才会进展至肺炎。
误区三
「 肺炎诊断一定需要拍胸片 」
不是的。对于一般状况良好且可以在门诊治疗的疑似CAP患儿,无需常规行胸片检查。而对于初始抗菌药物治疗失败,需要判断是否存在肺炎并发症或病情加重的患儿则应及时做胸片检查。
先来看一张小儿肺炎治疗前后对比的图像:典型的小儿肺炎,治疗一周后复查胸片。 可以看到左上肺的大片炎症,抗炎治疗一周后明显吸收消散。宝宝如果出现了明显高热,持续的咳嗽咳痰一定要及时就诊,防止发生大叶性肺炎,继发其他系统的问题。


误区四
「 肺炎必须要输液才能治疗好 」
不是的。轻度的CAP,首选口服药物治疗,大约90%的患儿,都属于轻度CAP。只有重度合并并发症的CAP,如脓胸、败血症等,才需要静脉用药。

误区五
「 肺炎一定需要用抗生素治疗 」
不是的。CAP抗菌药物治疗应限于细菌性肺炎、支原体和衣原体肺炎、真菌性肺炎等。
单纯病毒性肺炎无使用抗菌药物指征。
真菌性肺炎,用抗生素无效。

误区六「 接种过肺炎疫苗后就不会感染肺炎 」
不是的。不管是13价肺炎疫苗还是23价肺炎疫苗,均提供的是针对肺炎链球菌的免疫保护,并不能涵盖其他病原体,如支原体、衣原体、病毒或除了肺炎链球菌以外的其他细菌。
误区七
「 肺炎一定要住院才能治疗好 」
不是的。轻度的CAP可在门诊或家中治疗。WHO(世界卫生组织)曾统计过全球儿童肺炎的发病率,以及肺炎需要住院治疗的比例。结论是:得肺炎后,只有将近10%的患儿需要住院治疗,即约90%的肺炎患儿可以在门诊治疗。区分轻度和重度CAP,一个简单的原则就是观察孩子呼吸情况,有无呼吸困难和缺氧症状,以及脱水、拒食、嗜睡等肺外症状。对于重度CAP或2月龄以下CAP患儿,如果家庭不能提供恰当充分的观察和监护,也建议住院治疗。
误区八 担心肺炎预后
「 孩子肺炎高烧不退,输了3天液,还不行,该怎么办? 」
儿童肺炎是比较常见的呼吸道疾病,特别是在冬季多发。儿童肺炎绝大多数预后较好,不会留有后遗症,很少部分重症肺炎可以危及生命。

发烧只是一种症状,发热并不一定意味着孩子的病情有多么重,且三天时间并不是太长,孩子大多数肺炎都可以有三天发热。
既然已经明确感染灶在肺部,最重要的还是要尽可能明确可能的病原体,尽可能的精准治疗。到正规医疗机构就诊,相信医生,接受正确治疗,孩子不久就可以恢复正常。
儿童肺炎的病原体常见的有这么三大类,有时也可以两两合并:
1.绝大多数为病毒感染。腺病毒、呼吸道合胞病毒、副流感病毒,及最近爆发的流感病毒等。其中腺病毒和流感病毒感染所致的肺炎是可以比较重,病情发展快,发热时间长。病毒性感染均具有一定的自限性,所以对于患病毒性肺炎的孩子,时间很重要,病程大约需要1~2周。除了流感病毒需要口服奥司他韦之外,其他病毒性肺炎不需要特异性治疗。

2.细菌感染。如流感嗜血杆菌,肺炎链球菌,金葡菌肺炎。这种情况下需要抗生素治疗。
3.支原体肺炎。支原体感染主要发生在学龄、学龄前儿童,病程比较长,发热时间也比较长,咳嗽以干咳为主。需要使用大环内酯类抗生素,主要为红霉素和阿奇霉素治疗,治疗疗程也比较长。
误区九:「 肺炎7天就能好 」
不是的。CAP抗菌药物一般用至体温正常、全身症状明显改善、呼吸道症状部分改善后3~5 天。病原微生物不同、病情轻重不等、存在菌血症与否等因素均影响CAP疗程,一般肺炎链球菌肺炎疗程7~10 天,流感嗜血杆菌肺炎、金黄色葡萄球菌肺炎14天左右,而耐药金黄色葡萄球菌肺炎疗程宜延长至21~28天,革兰阴性肠杆菌肺炎疗程14~21天,支原体肺炎、衣原体肺炎疗程平均10~14天,个别严重者可适当延长,嗜肺军团菌肺炎21~28天。
有的家长会担心肺炎也可以不输液,甚至不用抗生素,那就是让孩子硬抗吗?也不能这样说。您悉心照顾孩子的饮食起居,观察孩子的症状有没有好转,在情况加重或者持续没有好转的时候再去看医生,就是在尽力帮助孩子。家长如果能够按捺住自己的担忧,保持理智和冷静、淡定,掌握正确的科普知识,可以帮助孩子少承受一些不必要的治疗。

最后提醒大家的是,让孩子均衡饮食,多户外活动,勤洗手,避免和呼吸道感染的病人接触,按时接种疫苗可以减少孩子得肺炎的可能性。