股骨头坏死是由于股骨头血供中断或受损,引起骨细胞及骨髓成分死亡,继而导致股骨头结构改变,股骨头塌陷,关节毁损,引起患者疼痛,髋关节功能障碍的疾病,是目前骨科领域常见的难治性疾病。该病好发于中青年,常见病因是糖皮质激素的过度使用、长期酗酒以及髋部外伤导致股骨头血供中断。股骨头坏死一旦发生,如不及时处理,后期常需要进行人工关节置换。


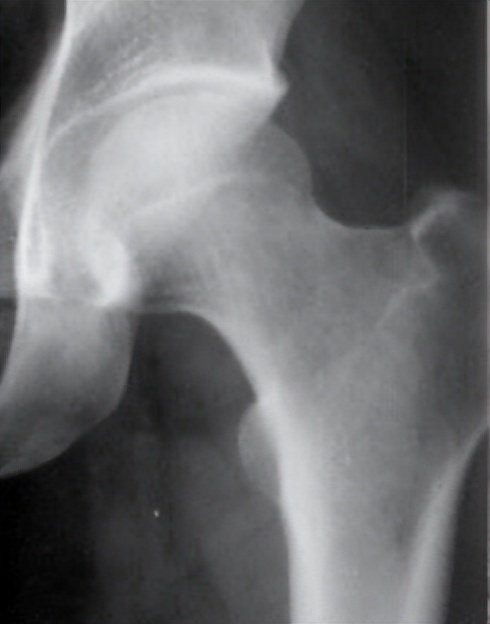
坏死股骨头

正常股骨头
目前髋关节置换术的发展相对成熟,已被广泛应用于临床,但是仍然存在假体使用寿命、继发感染、假体松动、脱位、失效等并发症问题。
因此,对于股骨头坏死的早期干预显得格外重要,尤其是对于50岁以下的中青年患者,保髋治疗是疾病初期的首选。保髋,又称为保留自身髋关节治疗,核心目的在于防止股骨头出现塌陷,延缓甚至避免关节置换。海慈医疗集团骨关节与创伤外科中心侯增涛主任专家团队,充分发挥中医药整体观及辨证治疗优势,结合股骨头坏死ARC0分期分型,采用微创保髋手术治疗早中期股骨头坏死,取得了一定疗效。
1.ARCO Ⅰ期~Ⅱ期:
本期特点:股骨头无塌陷,坏死偏于股骨头内侧,范围<1/3,无软骨下骨折。
手术方法1:髓芯减压
为最常用的保髋手术方式,可同时配合自体松质骨、自体骨髓间充质干细胞、 BMP、富血小板血浆( PRP )等一起植入。

手术方法2:钽棒支撑

2.ARCO Ⅱ期~ⅢA期:
本期特点:坏死偏于负重区,可见软骨下骨折或坏死区骨折,范围>1/3,塌陷<2mm。
手术方法1:多孔生物陶瓷棒微创植入术
技术原理:将粗隆部的丰富血运引导至坏死区,重建血供;清除坏死病灶为血管和骨长入提供三维空间;混有自体骨髓液的多孔陶瓷能够诱导骨组织再生。

手术方法2:微创*压打**植骨、异体腓骨支撑内固定术
技术特色:在钻孔减压清除死骨的同时,通过骨隧道用松质骨*压打**植骨充实,纠正及预防塌陷,再用异体腓骨植入,螺钉挤压固定腓骨。手术把死骨清除与恢复骨量、重建稳定、纠正塌陷、提供力学支撑融为一体。该术式较切开关节手术具有创伤小、对关节的干扰及局部血运破坏少、功能康复快等优点。

3.ARCO ⅢB~Ⅳ期:
本期特点: 坏死晚期,塌陷>2mm,骨性关节炎。
手术方法: 带旋股外侧动脉横支大转子骨瓣移植术

骨关节与创伤外科中心侯增涛主任介绍,股骨头坏死中医药辨证治疗,应当以中医整体观为指导,遵循“动静结合、筋骨并重、内外兼治、医患合作”的基本原则,强调早期诊断、病证结合、早期规范治疗。对于高危人群及早期无痛患者以活血通络为主,辅以祛湿化痰、补肾健骨等中药,具有改善血运、促进坏死修复、预防塌陷的作用。对早期出现疼痛症状的股骨头坏死,在保护性负重的基础上应用中药治疗,能缓解疼痛、改善关节功能;对于中晚期股骨头坏死,采用微创保髋手术配合中药治疗,能够促进死骨吸收和新骨形成,提高保髋手术效果。
专家名片
