我们在路上总是会遇到这样的狗狗,它们行走或奔跑的时候,总有一、两条腿蜷缩着不敢着地,即使着地了也会立刻收回来,仿佛地上有钉子一样。有经验的家长应该知道,这就是髌骨脱位 - 基本所有的小型犬都会出现髌骨脱位,甚至一些大型犬,也可能出现同样的问题。

1.髌骨是什么,有什么作用?
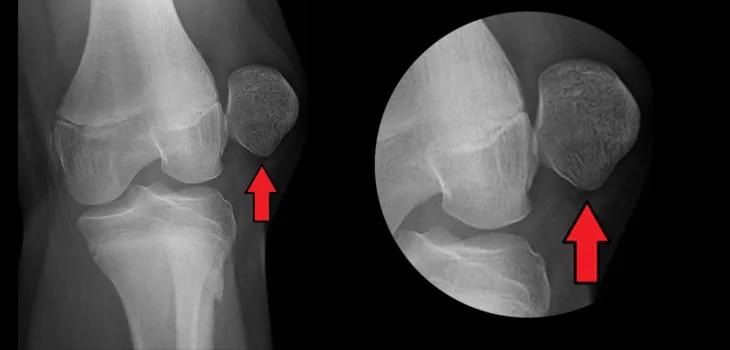
髌骨 是狗狗后腿膝盖处一块形似橄榄球的小骨头,人也有类似的组织 - 就是通常所谓的膝盖骨。髌骨可以在膝盖的滑车沟内上下左右移动,起到润滑保护膝关节、维持膝关节稳定的作用。没有了髌骨,狗狗是无法正常走路的(下图是髌骨外脱臼的X光片)。

2.为什么会发生髌骨脱位?
引起髌骨发生脱位的原因,主要是遗传。髌骨脱位在遗传病中占据着 7.2% 的比例,是所有先天性缺陷病中比率最高的。特别是小型犬,比如泰迪和博美,腿骨头很细,就会出现先天性的滑车沟过浅,很容易出现髌骨脱位。

还有一部分髌骨脱位是由外伤(比如车祸)、或人为伤害导致。
3.髌骨脱位的“伤级评定”
髌 骨脱位根据脱离位置分为向内侧偏离的髌骨内脱,以及向外侧偏离的髌骨外脱。
髌骨内脱常见于小型犬,可能是先天性的、也可能是后天发生,通常表现为膝盖内翻的站姿(内八字)。

髌骨外脱在小型犬和大型犬中均会发生,常发于老年小型犬和年轻大型犬,表现为膝盖外翻(外八字)站姿。

在临床中根据严重程度,髌骨脱位分为四个等级:
1、2级较轻,髌骨偶尔脱出或可以手动脱位于膝盖滑车沟,但可以依靠人力、或狗狗 髌 骨自行回到滑车沟内,属于复发性脱位;
3、4级较严重,属于永久性脱位,尤其是4级,髌骨完全无法归位。另外,长期忽视骨骼护理,也可能导致狗狗出现双侧性脱位。
4.髌骨脱位的治疗
1级的髌骨脱位,症状非常轻,如果没有外力干预,髌骨还可以老实的待在滑车沟内,所以注意日常的护理就可以。
2级以上的髌骨脱位都需要通过手术进行治疗,尤其是3、4级永久性的脱位,是必须进行手术的,否则会影响狗狗的正常行走,同时,狗狗也会伴发疼痛反应(就像文章开始提到的,狗狗走路像踩到了钉子)。手术原理是通过人为加深滑车沟的深度,再重新将髌骨放回滑车沟内。

从长远来看,如果是遗传性的髌骨脱位,是可能复发的。考虑到年龄和健康因素,狗狗一生做一次手术就可以了。
从术后的恢复情况来说,一般3级以内的情况恢复良好,4级的髌骨脱位恢复不佳。
5.髌骨脱位的日常预防
预防优于治疗。小型犬患遗传性髌骨脱位的可能性较高,家长们一定要引起十二分重视。在日常生活中需要注意控制狗狗体重、减少狗狗跳跃、上下楼梯,以减少髌骨脱位的发生概率。从遗传角度,一定要避免让狗狗*亲近**交配,这能够有效降低先天疾病的发生概率。

另外也有一些骨科的药物,可以预防、控制髌骨脱位,需要家长咨询可靠的宠物医生进行选择。
我们是【优嗅】,欢迎你提问、留言、关注,我们将继续分享猫咪和狗狗的专业养护知识~
