很多人在吃一些比较冷或者比较酸的食物时,牙齿会有一种酸软疼痛的感觉。有些人把它称之为倒牙,其实倒牙就是牙齿敏感,也称作牙本质过敏。
有人认为,牙齿敏感是缺钙所致,这种说法正确吗?它到底是怎么一回事呢?牙齿敏感不去看医生可以吗?在家又有什么方法可以改善呢?下面给大家简单唠唠。

牙齿敏感其实并不是一种特定的疾病,而是有很多致病因素导致的一种症状。可以这么理解,牙齿本身穿着牙釉质这个衣服,当牙釉质受到疾病的侵袭损伤了之后,牙齿就直接暴露在疾病的眼皮底下,就会直接的受到疾病的影响,遇到冷热酸甜的刺激时,就会出现牙痛的感觉。

牙齿敏感是不是因为缺钙?
刚才也提到了,牙齿敏感是由很多因素导致的一种症状,主要原因:有不正确的刷牙方式、隐形的龋齿导致,或者是一些伤害牙齿的药物导致牙釉质受损和酥软,与缺钙关系不大。

那么牙齿敏感,在家可以用什么方法来改善呢?
❶ 改掉不当的刷牙方式,如横向刷牙,用力过度,导致牙齿颈部缺损,出现敏感症状。
❷ 更换软毛牙刷。如果刷毛过硬就会是牙刷对于牙釉质的损伤更大,应该选择适合自己的软毛牙刷。
❸ 使用脱敏牙膏。要注意的是,长期使用才能达到脱敏效果,不可急于求成。如果使用脱敏牙膏数月后,牙齿敏感症状依然没有缓解,则要找医生治疗。
❹ 每次饭后用温水漱口。
❺ 养成健康的饮食习惯,少吃甜食、硬食、酸性食物,不喝酸性饮料,减少饮食对牙釉质、牙本质造成的损耗。
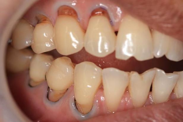
如果出现龋齿、楔状缺损、磨耗等疾病导致牙齿敏感, 别在家挣扎了,赶紧就医,医生会使用复合树脂将牙齿的缺损补起来,从而隔绝外界刺激,缓解牙敏感症状。个别患者出现明显症状,牙髓受到不可逆损伤时,可考虑根管治疗。

楔状缺损

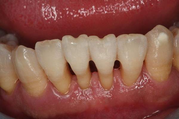
牙齿严重磨损
如牙面出现裂纹, 医生会将裂纹磨除,再用复合树脂将缺损补起来。如果裂纹较深,可能要进行牙冠修复将牙齿保护起来。

如果出现牙周炎导致牙龈萎缩, 则需要寻找牙周专科医师进一步治疗牙周炎。控制牙周炎后,根据条件可以选择膜龈手术将牙龈“补”起来,从而隔绝外界刺激。对于敏感症状较严重的患者,医生还会使用脱敏药物、激光等治疗。
