大家好,今天给大家分享一个特殊的双眼皮修复案例—— 左眼双眼皮自然有神,右眼不仅小、无神就连双眼皮也没有形成。

双眼皮术后
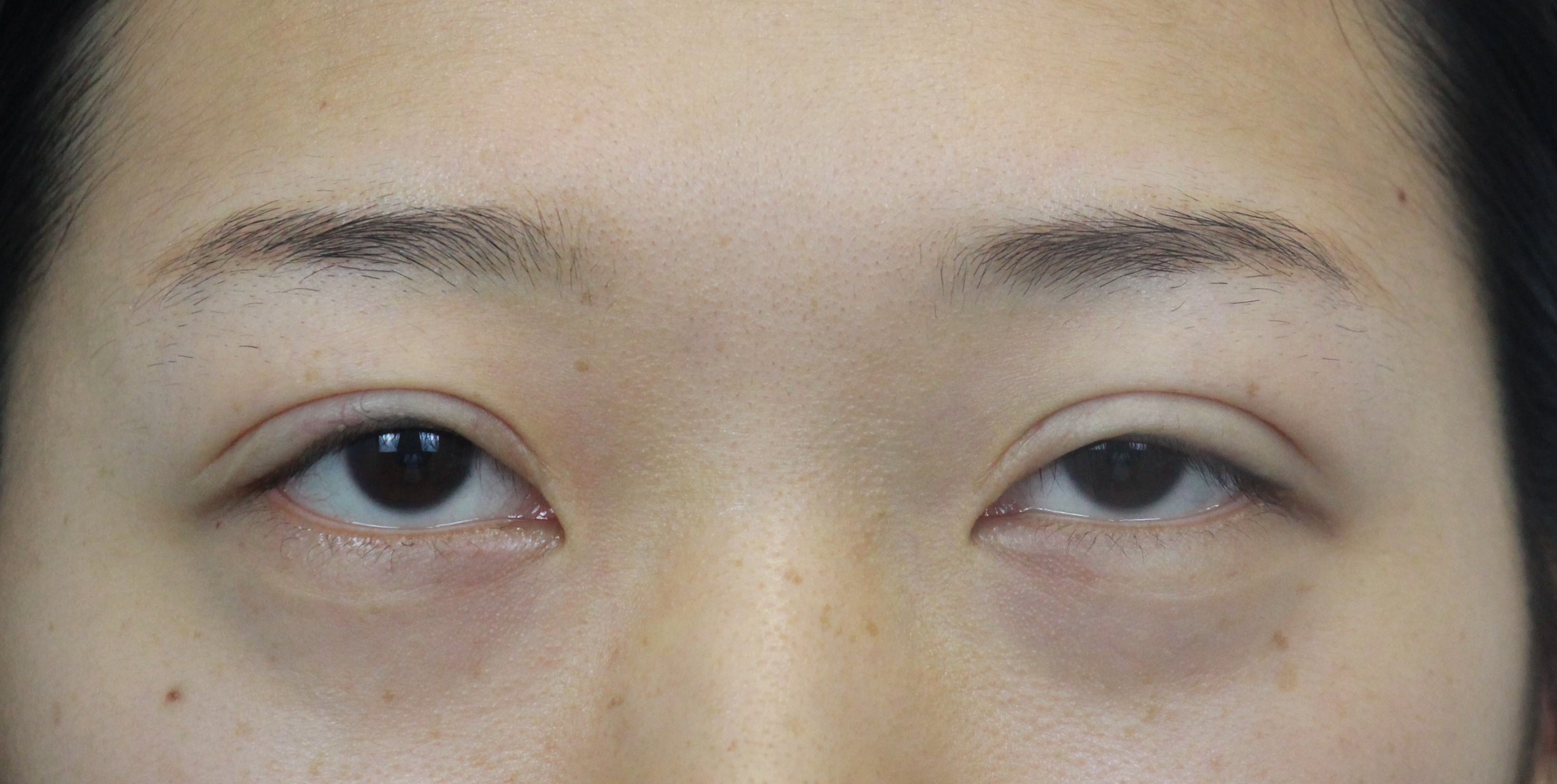
从这张图片大家可以清楚地看到双眼的区别还是很大的,尤其是让小姑娘睁眼向上看的时候,双眼的区别更大,右侧的眉毛明显的高于左侧。

右眼根本睁不动
肌力检查发现右眼肌力仅有8mm左右,已经属于中度上睑下垂了,怪不到小姑娘双眼皮区别这样大呢!

上睑下垂分类
据小姑娘自述,一开始自己就属于大小眼,原本以为做个双眼皮就可以改善呢,谁知道双眼皮术后还这样!
其实,上睑下垂一旦确诊是需要根据肌力大小矫正上睑下垂才是根本,需要对肌肉力量针对性地加强,之后再考虑双眼皮的弧度形态才是正确的流程。

上睑下垂治疗
说实在的现在的很多机构,医生忽视了对眼睑下垂的检查,导致出现了很多双眼皮形似神不似的情况。

双眼皮术后眼睛无神
找到了主要问题,就好办了,针对小姑娘的情况,给她制定的方案是:右眼上睑下垂修复,参照标准是左眼的双眼皮弧度、形态、宽度、眼睛大小。
一起看下小姑娘恢复的过程:

手术设计
即刻效果:肿胀和麻药双眼皮略宽,眼睛已经有神多了。







从小姑娘的手术后整个恢复过程来看,眼睛大小和双眼皮弧度还算比较自然,她本人也很满意,从小姑娘给我们反馈的照片就可以看到她内心的变化,从之前从来不敢自拍晒照,到现在的乐观分享就能感受到她的自信。

小结:
现在不管是美女还是帅哥对双眼皮的接受度提高了,但真的不敢轻易的、草率的就把双眼皮割了,这里面其实存在很多的门道需要深入了解,术前功课做得好术后才能减少不满意的现象,才可以少走弯路呀!