近日,郑州市的张女士和王女士感觉头晕、乏力,呼吸困难,因为最近是疫情期间,两人赶紧到医院进行诊断,结果两人的CT扫描让人大吃一惊。
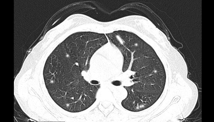
CT显示肺部呈现毛玻璃阴影,属于新冠肺炎肺部的典型特征。医院赶紧对两位患者进行了进一步排查,但是在排查的过程中让人奇怪的是,患者的血常规、病历史与新冠肺炎的症状并不相符。

而且这两个并没有武汉人员接触历史,居住的小区也没有新冠肺炎病例。后来在主治医师的的再三询问下才发现了端倪。
原来两人在家里使用大量的84消毒液进行消毒,而且每次的浓度都很高,并没有稀释,这才确诊了两人是因84消毒液引起的过敏性的肺泡炎。
就是这样的一瓶原本是用来对付肺炎的84消毒液,没想到用完之后两个人反而得肺泡炎。不过好在两人及时就医,经过几天的抗过敏治疗后,病房里的消毒液也换成了酒精消毒后两人才逐渐好转。

84消毒液相信大家并不陌生,很多人家都用它来消毒,但是如果84消毒液使用不当,很容易给我们的身体造成伤害甚至是引起人体中毒。
这一出闹剧真是让人不知道如何评价是好,幸好没有人出事。84消毒液由于价格低廉,适用范围广泛,是多人的家中常备物品。但使用不当还是会产生危险甚至致人死亡。这已经不是第一次因为84消毒液的不正确使用引起事故了。

在发光的年轻女孩的手
84属于含氯消毒液,这类消毒液通过氯离子进行消毒。当浓度较高时还可以作为漂白剂使用。84消毒液在使用前根据使用需求进行一定比例的稀释。一般用作漂白剂时,需要的浓度较高,而一般作为消毒水使用时,需要的浓度很低。

84消毒液喷洒到皮肤上时会对皮肤造成伤害。所以我们在使用时最好带上手套或者在接触84消毒液后赶紧用水冲洗。
还有最最最最重要的一点就是:
84消毒液不可以与洁厕灵同时使用!
84消毒液不可以与洁厕灵同时使用!
84消毒液不可以与洁厕灵同时使用!

重要的事情说三遍,因为洁厕灵含盐酸成分,而84消毒液的主要成分是次氯酸,二者结合会生成氯气,吸入会引起呼吸道灼伤导致中毒。
所以大家在使用84消毒液的时候,一定要注意浓度,如果喷洒后出现头晕胸闷的情况,要及时开窗通风。如果持续感觉身体不适,一定要及时就医。