患者为男性,56岁,金华人,因“咳嗽痰血”到医院就诊,先予以查胸部CT报告两肺未见明显异常。但由于我院呼吸内科盛美玲主任医师对痰血病人警惕性较高,予以再查纤维支气管镜,发现左肺上叶开口处新生物,回头仔细阅片,发现上叶支气管局部是有点异常。我们来看其术前的相关检查影像资料:

图一:红色箭头所指处示左肺上叶开口处的病灶,不仔细看根本发现不了,也极易漏掉

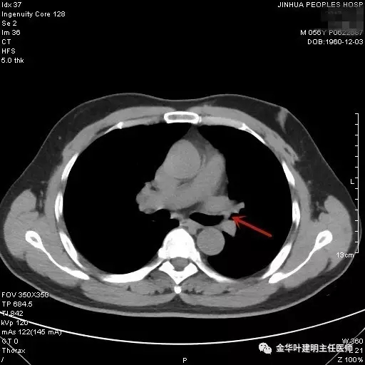
图二示:纵隔窗左肺上叶开口处新生物,相对肺窗稍明显
其纤维支气管镜检查提示左肺上叶开口新生物。活检病理:鳞癌。
患者遂转到胸外科,经相关检查及准备后于由叶建明主任医师主刀、谭海栋副主任医师与费苏鹏医师为助手,在全麻下为其行“胸腔镜辅助下左肺上叶袖形切除术”,手术顺利,术后证实吻合牢靠满意,恢复情况良好。以下为其当时术后相关影像资料:

图三示:术后第9天胸部CT平扫见左主支气管与左肺下叶支气管吻合处通畅满意

图四示:术后9天胸部CT平扫见左肺下叶膨胀良好
术后病理结果:左上肺支气管壁浸润型低分化鳞癌,浸润至肌层,瘤体大小1.5*1.7*0.3厘米,淋巴结无转移,左主支气管与左下肺叶支气管切缘均阴性。
目前体检发现的肺小结节越来越多,其中部分病例是早期肺癌,其诊断与治疗目前较为成熟,因为结节小,多在肺外周部位,手术是亚肺叶切除(局部楔形切除及肺段切除)或肺叶切除。因为肺门部都是正常的解剖关系,手术简单,恢复快,术后不需放疗或化疗,手术效果非常好。但如该病例这种中央型肺癌(病理上以鳞癌为多见),常规的胸片无法发现,CT扫描也因病灶微小隐匿不容易发现,但临床上若合并有痰中带血时,不能仅满足于常规的胸片或CT检查报告正常而轻易下“炎症”的结论,千万要建议患者行纤维支气管镜检查,以免遗漏早期支气管肺癌。以前在我院呼吸内科还曾有碰到CT上仔细分辨也无异常,唯纤维支气管镜检查发现粘膜糜烂,活检确诊肺癌的病例,后来转来胸外科手术治愈。