
很多女性都很喜欢穿高跟鞋,美丽而且性感!但是,经常穿高跟鞋容易引起拇外翻。对于拇外翻是怎么回事,很多人并不了解,下面给大家介绍一下拇外翻,让大家有所了解,从而有效预防拇外翻的发生,或者尽早干预和治疗。

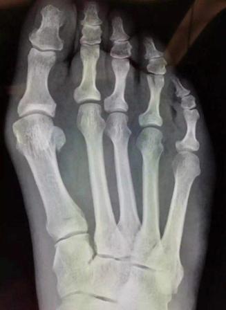
拇外翻畸形是指拇趾向外侧偏斜移位引起的畸形,内侧突起部位常常发生拇囊炎。拇外翻是累及拇趾的最常见的病变,多见于中老年妇女,女性发病是男性的9倍,常有遗传倾向,加上长时间穿不合适的鞋子,鞋子会对拇趾施加异常压力,最终发生拇外翻畸形。

根据拇趾外翻程度和拇外翻测量角的不同,可以分为轻、中、重度三种类型。

对于轻度拇外翻畸形,可以通过改变穿鞋习惯,佩戴矫形支具进行治疗,减轻疼痛,延缓进展。

对于中重度的拇外翻畸形,常常伴有拇囊炎疼痛,足底负重点改变,足底疼痛等多种症状,需要手术治疗。

拇外翻程度越轻手术难度越小,手术恢复越快。
具体手术细节,就比较复杂了,需要了解的可以到门诊我们面聊呦!
如果你有拇外翻畸形,拇囊炎疼痛,足底老茧疼痛,尽早来手足外科门诊看看吧,我们给您最专业的建议和最有效的治疗。

让您重回大自然,领略大好河山!
(天津市人民医院手足外科:每周1、2、3上午,专家门诊)