
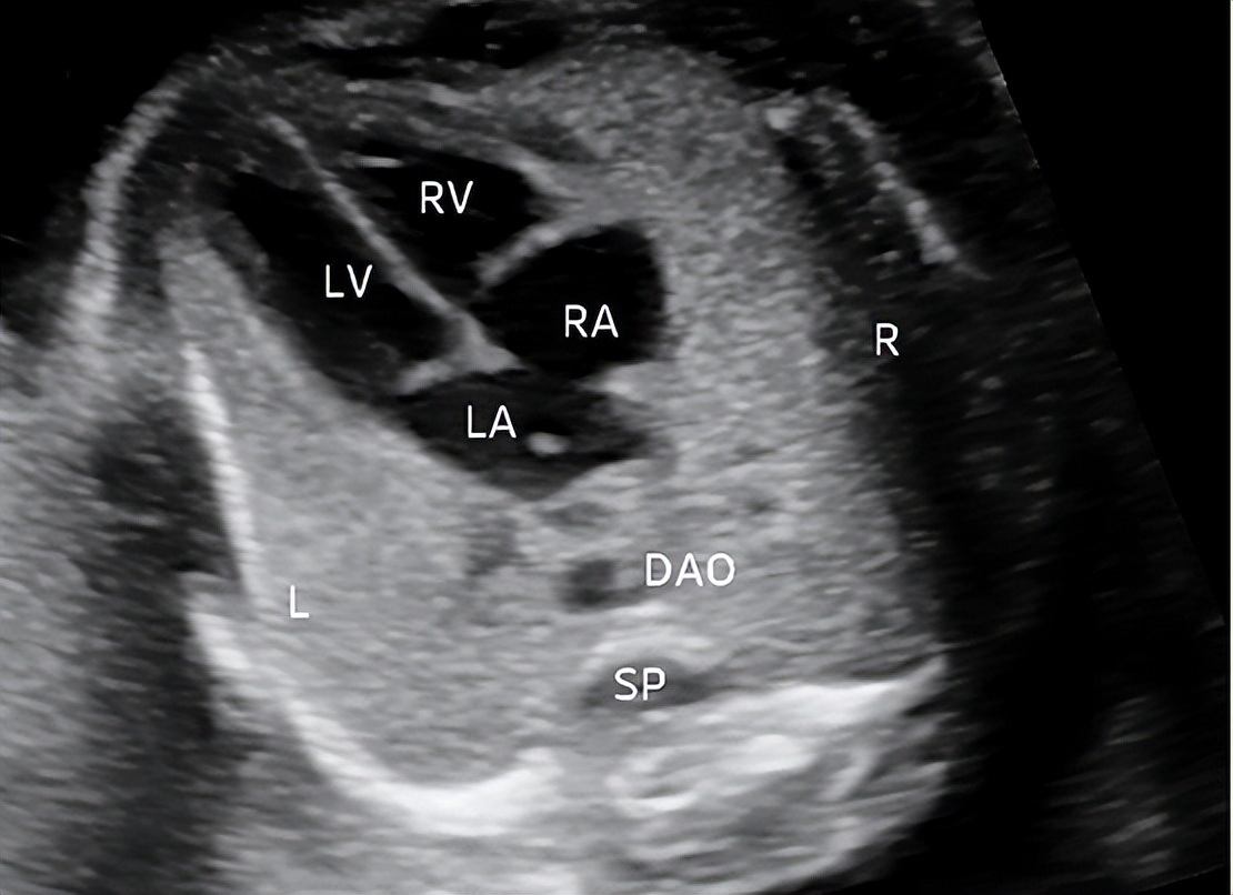
1.四腔心切面
切面要求:显示左右房室腔及两组房室瓣,同时至少显示一条完整肋骨(图1)。
观察内容:大部分心脏位于左侧胸腔,心尖指向左前方,心轴及心胸比正常,房室腔形态及比例正常,房室连接正常,彩色多普勒显示至少一条肺静脉汇入左心房,二尖瓣、三尖瓣启闭自如,左右两侧肺脏呈均匀回声。

图1 孕23周四腔心切面 显示左右房室腔及两组房室瓣(LA:左房;LV:左室;RA:右房;RV:右室;DAO:降主动脉;SP:脊柱;L:左侧;R:右侧)
2.左心室流出道切面
切面要求:显示左心室及起自左心室的主动脉和主动脉瓣(图2)。
观察内容:主动脉前壁与室间隔相连续,后壁与二尖瓣呈纤维性连接,起自左心室后向右上方走行,与肺动脉呈交叉走行,内径略窄于肺动脉,主动脉瓣启闭自如。

图2 孕23周左心室流出道切面 显示左心室及起自左心室的主动脉,箭头所示为处于关闭状态的主动脉瓣(LA:左房;RA:右房;RV:右室;LVOT:左心室流出道;DAO:降主动脉;SP:脊柱;L:左侧;R:右侧)
3.右心室流出道切面
切面要求:显示右心室及起自右心室的肺动脉和肺动脉瓣(图3)。
观察内容:主肺动脉起自右心室后向左上后方走行,与主动脉呈交叉关系,内径略宽于主动脉,肺动脉瓣启闭自如。

图3 孕23周右心室流出道切面 显示右心室及起自右心室的肺动脉(RVOT:右心室流出道;AAO:升主动脉;SVC:上腔静脉;DAO:降主动脉;SP:脊柱;L:左侧;R:右侧)
4.三血管气管切面
切面要求:显示主动脉弓和动脉导管弓的横弓及上腔静脉和气管横切面(图4)。
观察内容:主动脉弓和动脉导管弓共同汇入降主动脉,呈“V”形;从左向右血管的排列为:动脉导管弓、主动脉弓、上腔静脉;气管位于“V”形右侧、上腔静脉后方。

图4 孕23周三血管气管切面 显示主动脉弓和动脉导管弓的横弓及上腔静脉和气管横切面(DA:动脉导管;AA:主动脉弓;SVC:上腔静脉;DAO: 降主动脉;T: 气管;SP: 脊柱;L:左侧;R:右侧)
(摘自《超声产前筛查指南2022》)