一名坐着轮椅的 17 岁少年被送进急诊。
10 天前,这名患者刚刚接受了踝关节重建手术,但是刚出院不到一个礼拜,他就出现了咳嗽和低烧,呼吸也越来越困难。
夹上指脉氧,患者没走几步路 SpO2 就掉到了 82%,在鼻导管吸氧 3L/min 的情况下,才能保证血氧饱和度勉强达到 90%。
查体发现,患者两肺存在广泛湿罗音,但并没有其他的心衰体征。既没有病毒感染的症状,也没有其他系统性疾病会有的出疹、红斑、关节痛或者是血尿。
既往史也证明, 患者此前并没有呼吸系统慢性疾病的任何征兆,近期也没有出游或着接触可疑的病人。
实验室检查显示,存在轻度的中性粒细胞增多(8.6×10^9/L)、嗜酸性粒细胞增多(1.17×10^9/L)。C 反应蛋白并没有明显升高(10 mg/L)。
血培养没有异常,呼吸道病毒聚合酶链反应(PCR)、尿军团菌和肺炎链球菌抗原、支原体 IgM、鹦鹉热衣原体和肺炎衣原体 IgG 都是阴性。自身免疫性抗体筛查也为阴性。
肺功能测试提示限制性通气功能降低, 1 秒用力呼气量(FEV1)显著减少至2.52L(预计为 64%),用力肺活量(FVC)为 3.42L(预计为 72%),支气管舒张试验阴性,一氧化碳扩散容量(DLCO)为 19.54mL/min/mmHg(预测为 67%)。
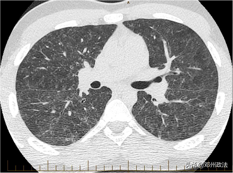
胸部计算机断层扫描(CT)扫描显示,双侧对称的弥漫性磨玻璃样病变,但没有看到明显的小结节。既不像是常见的肺炎表现,也没有结核病的证据。

患者的胸部 CT(图源:参考文献)
这究竟是什么病?诊疗一度陷入了困境。
泳池里发现致病原
根据患者的临床表现,医生们初步诊断他可能患有过敏性肺炎。
但是,在对常见的过敏性肺炎致敏原一一进行检测后,发现法氏多孢菌,陆地放线菌和鸽子血清 IgG、枝孢菌属、白色念珠菌、假单胞菌都是阴性的,曲霉的 IgE 和 IgG 也没有升高。而患者的支气管肺泡灌洗液细胞计数提示淋巴细胞增多,嗜酸性粒细胞不高。
基于这些情况,医生们确定了以糖皮质激素为主的治疗方案。在经过了一段时间的住院治疗后,患者病情逐渐改善,随后停用激素,顺利康复。
患者康复,诊断却还没有结束。
在追问了家庭成员的近期情况后,医生发现, 从 3 个月前开始,患者的妈妈、弟弟都出现了不同程度的咳嗽、呼吸困难等症状,甚至连最近常常来拜访的外婆也出现了相似情况 ,只是没有患者本人那样严重。
或许,致病原就藏在这家人的日常生活环境里?
经过了仔细的询问,妈妈终于想起来,家里的室内游泳池最近更换了消毒过滤器,从加液氯灭菌处理换成了过氧化物和混合臭氧的过滤系统,而 17 岁的大儿子在踝关节手术后,就一直呆在泳池旁的影音室里消磨时间。
这一信息给医生提供了重要线索。
医院兵分两队。一方面,检验科医生仍在实验室追寻蛛丝马迹。在对肺泡灌洗液进行培养后,检验人员终于发现了胞内分枝杆菌。
另一方面, 环境卫生专家火速前往患者家里实地调查和采样,在室内泳池的水里监测出了胞内分枝杆菌,与检验科医生的结果不谋而合!
除了胞内分枝杆菌,环境卫生专家还从泳池水中里检测出了鸟分枝杆菌和海分枝杆菌,淋浴花洒的采样里则培养出了慢生黄分枝杆菌,而这几种分枝杆菌,都属于鸟分枝杆菌复合群(Mycobacterium avium complex,MAC)。

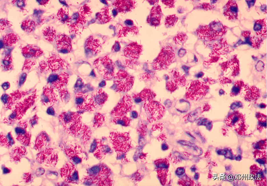
细胞内的鸟分枝杆菌。来源:维基百科
鸟分枝杆菌复合群(MAC)是一类非结核分枝杆菌(non-tuberculous Mycobacteria,NTM)。 多生存在土壤和水源中,毒力比结核分枝杆菌弱,通常只会感染老年人和免疫力低下的人群。
但是,MAC 对重金属、消毒剂和抗菌药物都有很强的抵抗力,还耐高温,能够在 52℃ 的温度下茁壮生长,需要 55℃ 以上 的高温持续消毒才能杀灭。
一个最为重要的特点是,这类分枝杆菌的细胞具有疏水性,可以优先从水中雾化出来,和水滴形成直径 ≤1μm 的气溶胶,轻而易举地进入肺泡,引起过敏反应。
至此,疾病的真凶终于浮上水面: 更换后的泳池消毒系统大幅增加了 MAC 雾化形成气溶胶的可能。而腿脚不便无处可去的 17 岁患者吸入最多,肺部过敏反应也最严重。
最终,患者一家把泳池和住宅彻彻底底地清理了一番,避免生活中再接触到类似的细菌抗原。2 年后,患者复查显示,肺功能稳定在正常值低限,CT 未见明显异常。
一场医学「悬案」总算被完全破解,医生也在病历上写下了最终诊断—— 热水浴肺病(Hot tub lung) 。
泡澡爱好者更容易得病
为什么消毒系统引发的疾病,名字却和热水澡有关? 原来,这种疾病最早就是在泡澡爱好者里发现的,
早在 1997 年,医学期刊 Chest 报道了一起相似的案例。 一位 20 岁的女患者在三年前开始出现咳嗽、喘不过来气等症状,但直到病情加重才来到医院就诊。经过检查,医生同样发现她存在肺弥散功能下降,CT 也显示有弥散的磨玻璃样病变。

左:高分辨率胸部 CT 提示基底节段呈磨玻璃样弥漫性浸润。右:HE 染色见远离细支气管的间质有多个非坏死性肉芽肿(图源:参考文献)
在接受了异烟肼、利福平、吡嗪酰胺联合乙胺丁醇等药物的治疗后,患者仍然没有好转。不得已,医生们对进行了开胸活检。
病理结果提示,患者肺中不规则地分布着许多小的非坏死性肉芽肿,从肉芽肿里,医生鉴定出六个耐酸杆菌,其中就包括鸟分枝杆菌复合群(MAC)。
经过仔细询问,原来这名患者是一位狂热的泡澡爱好者。随后,环境专家从患者家中热水浴缸里取样,培养出了 MAC。
根据这些证据,医生们把治疗药物调整为克拉霉素以及环丙沙星,不到两个月,患者顺利康复。
从此之后,这类肺部疾病也和热水浴之间建立了密不可分的联系。
还有病例报告,一位 56 岁的患者因出现呼吸困难和肺间质病变接受了肺组织活检,但病理结果却被医生误解为过敏性肺炎或结节病。在开始接受激素治疗后,患者因为本身身体不舒服,反而增加了泡澡的时间和频率,结果导致病情一直没有缓解。
直到 16 年后,另一名医生才从他的痰培养中检查出 MAC 阳性,患者被诊断为「热水浴肺病」。在戒泡澡 3 个月后,不仅症状消失,最终连肺部的病变也吸收,成功康复。
而这个案例也说明, 热水浴肺病带来的肺部改变有一定可逆性,预后尚可。
诊断
那么,病因如此复杂的热水浴肺病,究竟应该如何诊断?
从病原学角度来看,热水浴肺病属于非结核分枝杆菌(NTM)肺病的一种。 但是,大部分 NTM 肺病常常累及老年人和免疫力缺陷人群,热水浴肺病却常发生在身强体健的人群中。
热水浴肺病的病程发展通常是亚急性的,常见症状包括呼吸困难、咳嗽、发热等,少数人会像出现较为严重的低氧血症甚至呼吸衰竭。胸部 X 光片有时会发现异常,例如肺野中弥漫性结节;高分辨率 CT 胸部扫描中常出现磨玻璃渗出以及马赛克征,也有个案报道 CT 上呈空洞性结节性病变。肺功能检查往往有混合性通气功能障碍。

非典型的热水浴肺病 CT 图像:小的空洞结节性病变(箭头)(图源:参考文献)
微生物检测对诊断来说至关重要, 诊断需要依靠病人痰液、气管灌洗液、支气管肺泡灌洗液、组织活检以及浴缸/泳池水中培养出鸟分枝杆菌复合群(MAC),并且病人样本中和水样中的病原要一致。
组织病理学常见非坏死性肉芽肿,通常以小叶和细支气管为中心,这往往可以将 MAC 相关的和其他过敏性肺炎鉴别开来。
而最为明显的一个特点是,绝大多数热水浴肺病患者只需要脱离致敏原,再辅以糖皮质激素治疗,就可以恢复健康,不需要服用抗分枝杆菌的药物。
因此。学者们更倾向于将热水浴肺病归类为过敏性肺病,而不是感染性肺病。

热水浴肺病在文献病例报道中的主要特征(图源:参考文献,作者翻译)
加湿器也有危险
目前,关于热水浴肺病的病例报告多来自国外,但这并不意味着我国不会发生同样的情况。
2017 年冬天,北京的林女士由于天气干燥,每天都在家使用加湿器,同时紧闭门窗以提高空气湿度。可舒服了没两天,林女士就开始出现间断咳嗽,慢慢地稍一活动就气喘吁吁。
起初,林女士以为自己得了感冒,凭经验吃了些止咳药,但咳嗽和气喘却一天比一天重。最后,医院胸片提示林女士得了肺炎,进一步 CT 检查发现双肺都有间质炎症。
经过详细的病史询问, 医生最终作出了「过敏性肺炎」的诊断,并表示林女士的症状与加湿器的不当使用有关。
虽然病例的资料有限,但林女士的情况很有可能也是热水浴肺病的一种变体。 加湿器如果没有被定期清洁消毒,水箱和管道内就有可能滋生包括鸟分枝杆菌符合群(MAC)在内的各种细菌,在加湿器工作时,形成气溶胶被人体吸进肺组织,引起炎症反应。
如果对林女士痰样本和加湿器里的水样进行培养,兴许也会发现 MAC 的踪迹。
那么,我们还能安心泡澡,放心使用加湿器吗?事实上,只要做到定期清洁,保持浴缸和加湿器的干净,就不会对使用者的健康造成威胁。
不过,在消毒清洁时也不可随意添加杀毒剂。2011 年,韩国著名的「加湿器杀人」事件就是因为商家的错误宣传,导致许多人在加湿器中添加了杀毒剂,含杀毒剂成分的气溶胶被人体吸入后会造成更为严重的肺部损伤,导致肺纤维化甚至死亡。
(来源:丁香园)
免责声明:我们尊重原创,主要目的在于分享。版权原作者所有,如有侵犯您的权益请及时联系,我们将在24小时之内删除。