凉鞋是夏日必不可少的降暑神器,可是当你穿上凉鞋的那一瞬间,却发现自己的大拇指“东倒西歪”的,特别影响美观不说,甚至还会隐隐作痛。“这是什么原因导致的?会造成什么后果?怎么治疗?”想必大家都会有这样的疑问,别急,本篇文章就带你快速了解这种常见的骨科疾病——拇外翻。
什么是拇外翻?
拇外翻是足部常见的一种畸形,俗称“大脚骨”,患病率在18 ~65岁成人中约为23%,在65岁以上成人中约为36%,在成年女性中约为30% 。主要表现为第1趾外移,第1跖骨内收,随着外翻程度的加重,会表现出一系列的病理改变,如第1跖骨头骨软骨损伤、 第1跖趾关节炎、 籽骨脱位、拇囊炎等,患者症状表现为前足疼痛、畸形,影响穿鞋,甚至造成功能障碍。
发病原因?
拇外翻与遗传和性别有关,其次是解剖因素,包括第一跖骨过长、圆形关节、跖骨内翻等,足部力学异常、关节活动过度、炎性关节病等都是拇外翻的发病因素。

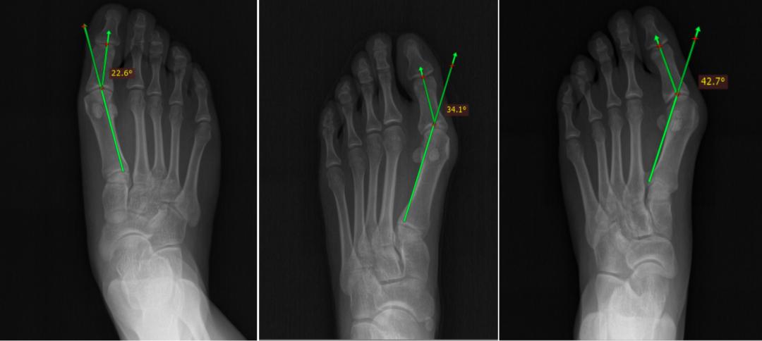
影像学检查?
通过临床检查,拇外翻很容易被识别。拇外翻除了肉眼发现的拇指外偏、外移,还可以通过足部X线片检查,测量第1跖趾关节外翻角及第1、2跖骨间角等数据来进行程度分级,评骨继发病理改变。国内将拇外翻畸形分为轻度、中度和重度。轻度为:15°< 拇外翻角< 20°,第1、2跖骨间角<11°;中度为:20°<拇外翻角<40°,11°<第1、2跖骨间角<16°;重度为:拇外翻角>40°,第1、2跖骨间角>16°。

不同程度的拇外翻畸形
如何治疗?
根据美国足踝外科医生学会的建议,患者在手术治疗前应采用保守治疗,严重疼痛或功能障碍的患者,以及在保守治疗方案下症状无改善的患者应积极采取手术治疗。
鞋底修饰、矫形器和夹板是最常用的三种保守治疗方案,同时常选择运动和手法作为治疗方案或辅助治疗方案。目前拇外翻矫形手术的基本原则是骨性矫形联合软组织矫形,手术治疗的目的是解除疼痛、矫正畸形、改善功能。
近年来, 国内外应用广泛的矫形术式包括骨性矫形术(Chevron 截骨术、Scarf截骨术、Reverdin 截骨术、Akin截骨术、Ludloff截骨术、关节融合术等)和软组织矫形术(外侧软组织松解和内侧关节囊紧缩)。
目前拇外翻矫形很少单独使用一种术式,而是几种术式的联合, 其中Akin截骨术式和外侧软组织松解术是最常联合应用的术式。对于严重畸形或伴有第1跖趾关节炎的患者,可采用第1跖趾关节融合术