2017-01-15 卫毅楠 介入医学
-
文章来源:运城市急救中心医学影像科卫毅楠

-
介入放射学又称介入治疗学,是近年迅速发展起来的一门融合了影像诊断和临床治疗于一体的新兴学科。它是在数字减影血管造影机、CT、超声和磁共振等影像设备的引导和监视下,利用穿刺针、导管及其他介入器材,通过人体自然孔道或微小的创口将特定的器械导入人体病变部位进行微创治疗的一系列技术的总称。
-
介入医学,是现代医学园地中的一朵美丽的奇葩。她的神奇之处在于诊疗范围大,治疗难度高,在人体中探幽入微,几乎无所不能。它既能扭转内科药物对改变组织结构无能为力的窘迫,也能避免外科手术对机体“大刀阔斧”的伤害。它对人体损伤极小,可发挥的治疗效果却非常可靠,而且显著!所以,介入医学已经成为今天医学界的“新宠”。是继内科、外科之后的第三大临床学科。





-
以上图片是介入治疗时常用的部分器械
-
介入治疗有哪些优点?

-
介入治疗全程在影像设备的引导和监视下进行,能够准确地直接到达病变局部,同时又没有大的创伤,因此具有以下几个优点:
-
一、创伤小,安全
-
介入治疗手术只需要局部麻醉,比如肝癌的化疗栓塞,只需要在大腿根部局部麻醉,局部切开2毫米左右的皮肤切口,插入一根很细的导管,在血管内插到肝脏,局部注射药物,结束后拔出导管,局部包扎,创伤很小,整个治疗过程患者清醒,医生一边和患者交流一边就把手术做完。
-
二、效果好,疗效确切
-
介入治疗效果明显,优势治疗效果立竿见影。比如出血的栓塞治疗,术后患者的出血立即就可以停止,术前患者出现血压下降等情况立刻就可以纠正。比如食管狭窄的治疗,术后患者马上就可以喝水,进食阻挡感立刻就可以纠正。比如肝血管瘤、子宫肌瘤的介入栓塞治疗,一次就可以治愈,并且创伤非常小,不用开刀就可以治疗肿瘤。
-
三、术后恢复快,患者痛苦小
-
一般介入术后1天,患者就可以下床活动,当天就可以进饮食,患者不必在床上静卧很多天,减少在床上大小便时间,从而减少患者及家属很多不便。
-
四、解决很多难题
-
介入治疗的发展为临床解决了很多难题,使原先不能手术或手术难度很大的疾病得到了简单有效的治疗。比如颈动脉海绵窦瘘,介入应用之前需开颅手术,创伤很大,手术难度大,而介入治疗非常简单的就可以给与治疗,采用球囊栓塞术创伤很小,效果立竿见影。再比如胆管癌,临床上往往引起梗阻性黄疸,外科手术往往切除范围很大,或因为侵犯范围广而不能手术,而介入治疗采用很简单的经皮经肝穿刺术,放入引流管或胆管支架,在此基础上再给与进一步治疗,如植入125I放射性粒子,就可以给与有效地治疗。肝癌患者到了晚期,往往因为患者身体状况差不能接受外科手术,其他治疗效果不好,而采用介入治疗就可以收到很好的效果,减轻临场症状,延长生存时间,我们治疗过很多不能手术切除的肝癌病人,可以生存很长时间。
-
与传统治疗手段相比有哪些优势?

-
需内科治疗的疾病
-
如肿瘤的化疗、血栓的溶栓,介入治疗与内科治疗相比,其优点在于:药物可直接作用于病变部位,不仅可大大提高病变部位药物浓度,提高疗效,还可大大减少药物用量,减少药物的全身副作用。


-
需外科治疗的疾病
-
介入治疗相对于外科治疗优点在于:①它无需开刀,无创口或仅需几毫米的皮肤切口,就可完成治疗,创伤小;②大部分患者只要局部麻醉而非全身麻醉,从而降低了麻醉的危险性;③对正常组织的损伤小、恢复快、住院时间短;④对于不能耐受手术的高龄危重患者或者无手术机会的患者,介入也能很好地治疗。



-
介入治疗适应症有哪些?
-
一、全身各部位血管造影;
-
二、各类肿瘤的治疗:如肝癌、肺癌、食管癌、肾癌、胰腺癌、各种转移性肿瘤及妇科肿瘤、骨肿瘤等;
-
三、肝血管瘤栓塞术、肾错构瘤栓塞术和肝、肾囊肿、脓肿抽吸硬化术等;
-
四、各种动脉瘤、血管畸形的栓塞治疗及血管闭塞性疾病PTA或支架置入、动静脉血栓等;
-
五、出血性疾病:鼻腔大出血、咯血、上消化道大出血、经皮肾镜术后出血、膀胱出血、产后出血等
-
六、非血管性管腔狭窄:食管良恶性狭窄、胃肠吻合口狭窄、胆道梗阻支架置入、气道支架置入等;
-
七、子宫肌瘤、子宫腺肌症、宫外孕、输卵管阻塞引起的不孕症等妇产科疾病;
-
八、各系统病变穿刺活检;
-
九、其它:脾功能亢进、腔静脉滤器植入(预防或治疗肺梗塞)、前列腺增生、肝破裂、脾破裂、肾破裂等。



















-
介入治疗可以分为哪些种类 ?
-
介入治疗的技术很多,首先可以分为血管性介入技术和非血管介入技术。大家都很熟悉的治疗心绞痛和急性心肌梗死的冠状动脉造影、溶栓和支架置入就是典型的血管性介入治疗技术,而肝癌、肺癌等肿瘤的经皮穿刺活检、射频消融、氩氦刀、放射性粒子植入等就属于非血管介入技术。按照治疗疾病所属的系统,又可分成神经介入、心血管介入、肿瘤介入、妇产科介入、骨骼肌肉介入等。
-
介入放射学的技术分类
-
一、血管介入放射学
-
亦称介入性血管造影学(Interventional angiography),是指在诊断性血管造影的同时,自导管向血管管腔内注射药物或某些物质或施行某种措施,以达治疗目的。常用血管介入技术有三种。
-
1、血管内灌注药物治疗
-
(1)血管收缩治疗 经导管向有关动脉内滴注加压素,以控制胃肠道出血,例如食道胃静脉曲张出血、胃粘膜弥漫性出血及结肠憩室出血等等。
-
(2)肿瘤化疗 导管留置于供应肿瘤的动脉,滴注化疗药物,使局部用药浓度加大,避免或减轻化疗引起的全身反应。
-
2、经导管血管栓塞法(Transcatheter embolization)
-
经原血管造影的导管或特制的导管,将栓塞物送至靶血管内,一是治疗内出血如外伤性脏器出血、溃疡病、肿瘤或原因未明的脏器出血。另一是用栓塞法治疗肿瘤,因肿瘤循环部分或全部被栓塞物阻断,以达控制肿瘤之生长,或作为手术切除的一种治疗手段;亦可用于非手术脏器切除,例如注射栓塞物质于脾动脉分支内,即部分性脾栓塞,以治疗脾功亢进,同时不影响脾脏的免疫功能。
-
常用的栓塞物质如自体血凝块、明胶海绵、无水酒精、聚乙烯醇、液体硅酮、不锈钢圈、金属或塑料小球及中药白芨等。
-
3、经皮腔内血管成形术(Percutaneous transluminal angioplasty,PTA)
-
60年*开代**始应用于动脉,使狭窄的血管扩张,70年代研制双腔气囊导管成功后,得到广泛应用,多用于髂、股、腘动脉及肾动脉。肾动脉PTA(或PTPA)多用于肾源性高血压,使狭窄肾动脉扩张,从而降低血压。PTA亦可用于冠状动脉,称为经皮腔内冠状动脉成形术(Percutaneous transluminal coronary angioplasty,PTCA),使硬化的冠状动扩张,以达到治疗冠心病的目的。PTA使用的导管为带胶囊的双腔导管,将胶囊段置于狭窄血管处,囊内注入含有造影剂的液体,加压至3~6个大气压,每次持续10—15o。加压可重复3~4次,多数能使狭窄血管达到扩张的效果。
-
PTA多用于动脉粥样硬化性狭窄的血管,其机理是粥样斑块受压,内膜和中层撕裂、伸展,使管腔增宽。其他原因的血管狭窄,如多发性大动脉炎,先天性血管狭窄,有时也可用PTA治疗。
-
二、非血管性介入放射学
-
1、经皮穿刺活检(Percutaneous needle biopsy,PNB)
-
使用细针(22~23号,外径0.6~0.7mm)经皮直接穿刺身体各部位病变区,由于针头有特殊装置,便于取出病变的活检标本。也可用细针直接抽吸病变的组织碎块,再作活检。
-
胸部PNB用以诊断肺脏、纵隔和胸壁病变,对肺内球形病籵及纵隔包块的定性诊断有重要意义,准确率可达85%。较常见的并发症为气胸、出血、但用细针的并发症甚少,腹部PNB应用较多,肝、胆、胰、脾、肾及腹后壁包块均可,诊断准备性亦高;骨骼穿刺须用较粗骨穿针,可诊断骨肿瘤。此外还用于穿刺甲状腺肿块,眶内肿块等等。
-
为保证针刺安全到达待查病变处,须用电视荧屏、CT、B超、及有关造影检查,以便指引穿刺方向。
-
2、经皮穿刺引流
-
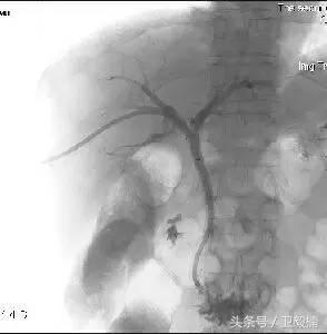
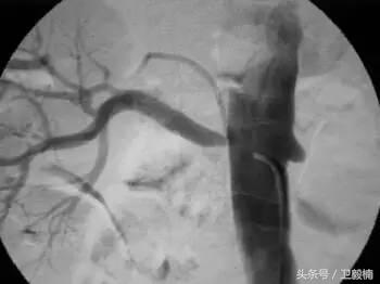
(1)经皮肝穿胆道引流(Percutaneous transhepatic choledochus drainage,PTCD或PTD)由于恶性(如胆管癌、胰头癌)或良性(如总胆管结石)病变,引起肝外胆道梗阻,临床出现黄疸。PTCD可行胆道内或胆道外胆汁引流,故而缓解梗阻,减轻黄疸,为根治手术提供有利条件。行PTCD前需先做经皮肝穿胆管造影(Percutaneous transhepatic),确定胆管梗阻的部位、程度、范围与性质。PTCD有内外引流之分,通过PTC的穿刺针引入引导钢丝,而后拔出穿刺外地,沿引导钢丝送进末段有多个侧孔的导管,导管在梗阻段上方的胆管内,其内口亦在该处,胆汁经导管外口连续引流,是为外引流;若导管通过梗阻区,留置于梗阻远端的胆管内或进入十二指肠,胆汁则沿导管侧孔流入梗阻下方的胆管或十二指肠,是为内引流。
-
(2)经皮肾穿肾盂造瘘术(Percutaneous transrenal pyelotomy) 主要用于尿路梗阻引流,也可利用造瘘术的导管将肾盂或输尿管内结石向下推移,送至膀胱排出。造瘘术方法同上,使用细针经皮穿肾,进入肾盂,先做经皮顺行肾盂造影(Percutaneous antigrade pyelography)观察尿路形态、狭窄或梗阻部位及其程度,而后沿穿刺针送进引导钢丝,再将导管插入,留置于肾盂内。
-
按临床应用分类
-
1、血管性疾病:
-
(1)PTA +Stent治疗血管狭窄。
-
(2)溶栓+PTA和(或)Stent治疗血管狭窄。
-
(3)应用栓塞材料,钢圈,内支架治疗动脉瘤、AVM、动静脉瘘,血管性出血。
-
(4)应用穿刺术+PTA+Stent治疗门脉高压症,布加氏综合症。
-
(5)应用栓塞术或血管加压素治疗胃肠道血管出血。
-
(6)下腔静脉滤器预防下肢、腹盆部血栓脱落。
-
2、心脏疾病:
-
(1)应用闭合伞治疗ASD、VSD。
-
(2)应用钢圈或粘堵剂治疗PDA。
-
(3)应用球囊扩张治疗肺动脉瓣、二尖瓣狭窄。
-
(4)应用PTA+Stent治疗冠状动脉狭窄。
-
(5)射频消融治疗心动过速。
-
(6)心脏起搏器治疗各种心率过缓。
-
3、肿瘤:
-
(1)选择性肿瘤供血动脉灌注化疗+栓塞治疗恶性肿瘤。
-
(2)经皮穿刺注入无水酒精、沸水治疗恶性肿瘤。
-
(3)应用栓塞术治疗海绵状血管瘤,蔓状血管瘤,子宫肌瘤,骨肉瘤,鼻咽部纤维血管瘤等。
-
(4)热消融治疗肝癌,肺癌。
-
4、非血管性疾病:
-
(1)应用PTA+Stent或单纯PTA治疗消化道,泌尿道、胆道、气道、鼻泪管狭窄。
-
(2)应用栓塞术或经输卵管注入硬化剂治疗宫外孕。
-
(3)应用扩张术治疗输尿管狭窄。
-
5、穿刺活检术:
-
应用特制穿刺针抽吸或取组织进行病理检查。
-
按所应用的设备分类
-
1. 在X线透视引导下。
-
2. 在CT引导下。
-
3. 在B超引导下。
-
4. 在MRI引导下。
-
以上文字内容及部分图片内容来自于网络,一部分是我们科室和河南省人民医院的资料,由于整理的时间仓促,介入治疗的内容也比较丰富,难免有不全和不当之处,请各位同道给予斧正!