人吃五谷,孰能无病?但是很多人即使身体出现了异常,如头痛等,总不以为意,觉得并没有特别影响身体的正常运作,忍一忍也就过去了,殊不知,正是你不重视的“小毛病”,也有可能会累积酿成“大祸患”!

男子头痛不重视,竟查出罕见三脑室海绵状血管瘤!
李先生,今年36岁,5个多月前出现头痛的症状,后脑勺比较明显,没有其他症状,因此并未引起重视,一直硬抗着。
直到5月初,病情加重,头痛更为严重,双眼也出现视物模糊的症状,才到当地医院就诊,检查结果却出乎他的意料,影像学检查显示:三脑室内占位性病变,双侧侧脑室扩大,伴有脑积水等症状。
因位置特殊,症状严重,当地的医疗条件有限,医生建议转上级医院进一步治疗。
经过大半年的折腾,他才知道,导致他频繁头痛、视物模糊的罪魁祸首是是颅内肿瘤,而且位置还在人脑中央的三脑室,并不是他一直以为的“小毛病”,着实让李先生心中“咯噔”一下,一下子面如土色。
历时4小时40分,张院长团队成功切除“血管瘤”!
为进一步治疗,李先生在家人陪同下,到昆明三博脑科医院寻求进一步治疗。
入院后,综合李先生的病史、症状、相关检查,张院长考虑可能性最大的是三脑室海绵状血管瘤。

张院长介绍:“海绵状血管瘤不是真正的肿瘤,而是一种缺乏动脉成分,由众多薄壁静脉血管组成的海绵状畸形血管团,之所以名字中带“瘤”,是因为这些静脉管壁不成熟,很容易出血,出血后,血块纤维化后和畸形静脉混合在一起,形成球状的肿瘤,因此无论拍片子还是手术中所见,都呈现肿瘤样的肿块,可作为一种单发性病变,出现癫痫、头痛、神经功能缺失等症状,也可作为刺激病变,极易发生破裂出血,引起临床症状, 手术切除病变是治疗海绵状血管瘤的根本治疗方法。”
患者已经有较严重的临床症状,而且伴有脑积水,如果脑积水继续加重,将导致颅内压升高,引发脑疝等严重后果,手术指征明显,需尽快手术切除治疗,刻不容缓!

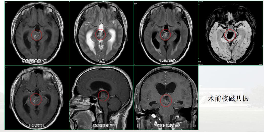
张院长介绍:“颅内海绵状血管瘤可发生在中枢神经系统的任何部位,但最常发生于侧脑室,生长在第三脑室的海绵状血管瘤相当罕见,第三脑室位于人脑中央,位置深在,周围重要结构众多,要够到脑深部的肿瘤,并尽可能的全切,最大限度的保留神经功能,对手术设备和手术医生的技术要求极高,另外,第三脑室肿瘤周围脑组织缺乏,肿瘤生长阻力较低,脑室内海绵状血管瘤生长速度较快,可形成巨型畸形,三脑室海绵状血管瘤是脑室手术中的难点。从检查结果看,患者的肿瘤钙化明显,大小约3X2X2cm,占满三脑室,海绵状血管瘤的血管结构不同于正常血管,没有内皮组织,非常脆弱,稍有不慎将造成大出血,或出现严重神经功能障碍,手术的风险和难度可想而知。”
为此,张院长团队进行了严密的术前讨论,团队会诊后决定,行右额开颅,额角造瘘经脉络裂入路三脑室血管畸形切除术。
经过4小时40分钟的紧张手术,深埋在李先生脑深部的海绵状血管瘤被顺利切除。术后,李先生头痛症状逐渐消失,视力逐渐恢复,四肢活动正常,恢复良好。

病理标本检测,确诊为三脑室海绵状血管瘤,这也证实了张院长的诊断。

张院长提醒:健康无小事,有的头痛越拖越危险!
颅内海绵状血管瘤主要临床表现依次为癫痫(35.8%)、颅内出(25.4%)、神经功能障碍(20.2%)和头痛(6.4%) 。 无临床症状者占12.1%,轻微头痛可能是唯一主诉 ,常因此或体检偶然发现。
张永力院长呼吁大家,健康无小事,尤其是头痛反复发作,要警惕,及早到正规专科医院检查治疗,以免延误治疗、耽误病情,最终导致大脑不可预料的损害!

1、呈间歇性加剧头痛:如头痛头晕症状呈间断性加重,或由间断性头痛变为持续性剧烈头痛;或缺血性脑梗塞的先兆;而剧烈头痛伴恶心,呕吐则多为脑出血的先兆。
2、深部炸裂、胀痛:表现为头痛呈剧烈搏动性痛或炸裂痛,多为深部的胀痛、炸裂样痛,常不同程度地伴有呕吐、神经系统损害体征、抽搐、意识障碍、精神异常以至生命体征的改变。
3、晨起头痛、呕吐:晨起时感觉头痛、呕吐、眩晕或是脑瘤的常见临床症状,很可能是颅内肿瘤危险信号。脑肿瘤头痛是颅内肿瘤占位导致的头痛,脑瘤患者头痛等多发生在早晨或晚上。
4、持续性头晕头痛、视物变形:是脑血管痉挛的主要特征,多表现为剧痛、压痛等形式,或是头部的肿胀感、沉重感、压迫感等,有的伴有恶心、呕吐。痛发作前先有眼部先兆,如黑朦、雾视、偏盲等,也可有面、舌、肢体麻木等,与脑血管痉挛息息相关。
5、眩晕、肢体发麻:表现为突然感到眩晕,肢体出现麻木感;突然感到一侧脸部或手脚麻木,有的为舌麻、唇麻;与平日不同的头痛;恶心呕吐或血压波动;以及暂时的视物不清等症状。
免责声明:
本文部分资料来源于网络,如有侵权,请联系编辑删除。
文章目的是提供一般的健康科普信息,仅供参考,不能代替个人医学诊断和治疗,个人的医学问题请到院咨询医生。