几天前笔者发表文章“新冠病毒感染的高血压患者,应停用ACEI(血管紧张素转化酶*制剂抑**)类降压药物”受到了广泛关注。近些天,有同行对此持不同意见,甚至有人说新冠病毒感染的高血压患者应该用ACEI类药物。
笔者对上述观点不赞同,一个在新冠肺炎中有争议的降压药,为什么要在病人感染期数十天内必须使用,是没有其他替代药物?(一线降压药5大类),还是有证据认为应用有益?
今天,笔者结合近期会诊的一个新冠状病毒感染性肺炎的重症病例,进一步探讨新冠肺炎合并高血压患者停用ACEI药物的理由,目的是给临床一线治疗预警及提供一些新的思考。
介绍一下这个病例:
这是一个53岁女性患者,1月22日左右出现发热,到医院就诊,确诊为“新冠肺炎”,患者既往高血压多年,长期服用“钙拮抗剂、ACEI”药物。
感染早期,患者一般情况尚可,血压控制理想,血常规:大致正常。生化全项:胆固醇略高。
感染第7天左右患者逐渐出现了病情恶化:在100%纯氧吸入的情况下,血氧分压53%,乳酸酸中毒,血压95/45mmHg(多巴胺维持中),白细胞2万多,C反应蛋白高出20多倍,降钙素原正常。CK:4310IU/L,
CKMB:210IU/L,乳酸脱氢酶明显增高。肝衰竭、肾衰竭、急性ARDS、全身炎性反应综合征等,当时请会诊目的是明确是否存在病毒性心肌炎、是否需要生命支持。
由于该医院不能检测肌钙蛋白,患者CKMB/CB不超过6%,不支持心肌损伤,所以我认为不能确诊病毒性心肌炎或心肌损伤,CK、CKMB、乳酸脱氢酶增高可能为骨骼肌损伤、肝脏等其他脏器损伤所致。但患者严重ARDS,在100%纯氧吸入的情况下,血氧分压53%,所以给予了患者ECMO治疗,目前仍在治疗中。

总结该例患者:1、患者高血压长期服用ACEI,并持续应用至发病第3天,后出现休克停用。2、该患者出现ARDS、全身炎性反应、多脏器衰竭,未见明显心肌损害。
支持使用ACEI类降压药物的观点如下:
1、新冠病毒结合ACE2(管紧张素转化酶*制剂抑**2)进入肺细胞内,ACE2表达减少。
2、ACE2减少,激活RAS系统导致肺损伤。
3、要抑制激活的 RAS系统所以应该应用ACEI。
而笔者提醒大家对于新冠肺炎应谨慎使用ACEI的观点如下:
1、目前研究已证实新冠病毒感染的途径为结合ACE2入侵肺细胞,并劫持表达ACE2细胞,上调细胞内众多病毒复制、转染基因,导致病毒感染能力大幅升高。而ACE2主要表达的细胞为II型肺泡上皮细胞(83%)。当前现有的研究只能确定病毒感染途径。
2、持相反观点的同仁认为病毒结合后ACE2下调,激活RAS系统激活,过度刺激AT1受体,导致肺血管通透性增加,从而引起肺损伤加重,此机制来源于SARS-Cov病毒肺炎的研究,而不是新冠病毒肺炎,两者是否有同样作用机制,目前没有数据证实。
从笔者的这例病例中不难看出,随着病情进展,患者白细胞、C反应蛋白明显增高,降钙素原正常,这提示发生了炎症反应综合征而非继发感染。
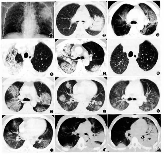
推测病毒感染后,机体出现了强免疫反应,巨噬细胞等免疫细胞吞噬病毒结合细胞(II型肺泡上皮细胞),造成严重肺损伤,这也与肺CT表现相符,感染一般为肺的外带、末梢、肺泡部位(图1。新冠病毒CT表现)。如果是RAS系统反射激活导致肺损伤,应该是肺的整体、多段损伤,而不是局部(图2.SARS肺炎CT表现)。
另外,如果真是反射RAS激活导致肺损伤,应用ACEI应该损伤明显减轻, 目前来看对于新冠病毒肺炎仍然没有特效药,且上述肺炎患者前期应用ACEI也没能阻止病情进展。

(图1、新冠病毒肺炎CT表现)

(图2.SARS肺炎CT表现,常侵犯多个肺段)
3、Ferrario等发表在Circulation研究显示[1],给大鼠应用ACEI类药物(赖诺普利)后血压下降的同时,ACE2水平增高了4.7倍。所以应用ACEI有升高ACE2的风险,从而导致病毒更容易入侵细胞。
4、2018年发表的一篇论文,回顾性分析了539例病毒性肺炎患者,结果发现入院前给予ACEI和他汀类药物,不能降低病毒性肺炎(非新型冠状病毒肺炎)患者的死亡率及插管率。很可能结果也会出现在新冠肺炎中。

5、一个有争议的药物,为什么要在患者病毒感染到恢复期这么短时间内必须使用,而且降压药物也不止ACEI这一种。从目前资料来看,停止使用应该是负责任的做法。
大家可能还记得罗格列酮事件吧,2007年5月21日,《新英格兰医学杂志》在线发表的一篇有关罗格列酮安全性的荟萃分析,认为罗格列酮降糖的同时会增加心血管事件,针对此事件尽管有很大争议,当时美国FDA做法是立刻严格限制罗格列酮使用。后来更多的证据表明罗格列酮是安全的药物,所以美国FDA于2015年12月,全面取消了对罗格列酮的限制。我想这个程序应该是正确的做法。
综上总结:
1、目前已经证实ACE2是病毒入侵途径,并未有证据证明肺损伤是ACE2下调激活RAS系统所致,从影像学和临床来看,肺损伤更支持是局部病毒感染免疫反应所致。
2、本文提及的病例早期应用ACEI对病情进展没有阻止作用,当然是个案,需要更多数据进一步证实。
3、有研究显示应用ACEI会上调ACE2,这有潜在增加病毒入侵风险,不能不重视病毒的早期入侵。
4、在没有证据证明新冠肺炎的患者中应用ACEI有益,而可能有害的前提下,新冠肺炎伴高血压的患者中没有必要一定应用ACEI,至少不应在病毒感染到恢复的短时间内应用。
个人意见,仅为学术交流,仅供临床一线参考。
参考文献:
[1]Carlos M. Ferrario,et al. Effect of Angiotensin-Converting Enzyme Inhibition and Angiotensin II Receptor Blockers on Cardiac Angiotensin-Converting Enzyme 2.Circulation.Vol. 111, No. 20.
[2].图2来源:唐秉航.中华放射学杂志 2003.37(8):698-700.