曾先生今年31岁,六年前曾得过脑肿瘤,经过广州某大型三甲医院手术治疗后虽已康复,但不幸的是肿瘤手术后5年再次复发了,这次的肿瘤复发给曾先生带来严重的头痛,甚至呕吐、嗜睡等恶劣的症状,曾先生辗转广州多家医院求医, 都因为手术风险极高未能完成手术。随后曾先生经专家介绍辗转到日本做质子刀放疗,又被告知肿瘤太大已不宜行放疗,如果行放疗可能造成脑水肿导致生命危险,遂无奈回国,又到香港行中医治疗,但仍然没有明显效果!
在近一年的求医过程中肿瘤也在快速的增大,曾先生头痛、吞咽困难、行走不稳症状逐渐加重,家属随即联系北京天坛医院的著名神经外科专家,被告知手术需等待较长时间,就在患者家属绝望、走投无路的时候,天坛专家告知其深圳市第二人民医院神经外科为深圳市“三名工程”北京天坛医院协作单位,其技术水平可为曾先生施行手术。
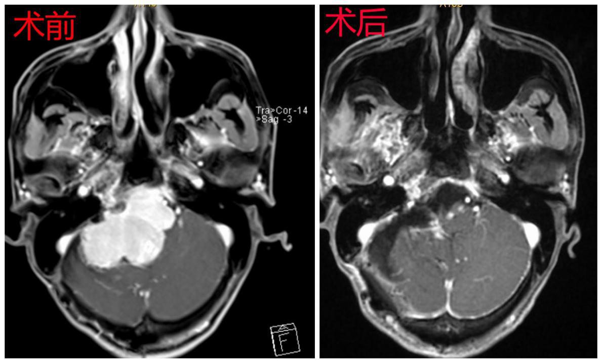
在尚未联系深圳市第二人民医院之前,曾先生病情急转直下,突然出现急性脑积水、高颅压、脑疝昏迷等症状,2018-04-01在当地医院急诊行“脑室外引流术”,然而这仅是权宜之计。曾先生家属根据北京天坛医院专家意见联系深圳市第二人民医院脑科中心医师后于2018-04-03转入我院,由神经肿瘤病区颅底组接收了曾先生。深圳市第二人民医院脑科中心主任、颅底肿瘤协作组组长蒋太鹏教授组织颅底组成员王建中副主任医师、林恒州副主任医师、左大辉主治医师、刘晓佳主治医师对曾先生病情进行全面评估发现,曾先生的复发肿瘤病理为“恶性孤立性纤维性肿瘤”,肿瘤目前已侵占右侧枕骨大孔区、桥小脑角区、斜坡、天幕及鞍上等部位,病变范围广泛,该肿瘤供血极其丰富。
因肿瘤生长区域有众多重要血管及颅神经通过,还压迫生命中枢脑干,解剖结构复杂,且既往有手术病史,肿瘤粘连严重,可能包绕各颅神经和重要血管,手术难度极大,术中极易损伤重要颅神经及血管,而且一次性完全切除肿瘤极其困难,术后也极易出现呼吸障碍、面瘫、吞咽障碍、昏迷、四肢瘫痪等严重并发症。对于医生来说这是一个非常棘手的病例,施行手术是一个极大的挑战。考虑到患者已辗转国内外多家医院均未得到有效救治,放弃手术即等于放弃生命,通过详细告知家属病情,家属表示积极配合治疗,在此基础上神经外科全体医师进行再次讨论,得到了神经外科首席专家高永中教授和全体医师的支持,并制定了详细的手术治疗方案及应急预案。
考虑到曾先生的脑室外引流管已留置3天,未来的3天为清明小长假,若等节后手术会增加颅内感染风险。随即蒋太鹏教授将患者病情通报手术室钮敏红、龚喜雪两位护士长及麻醉科杨新平副主任,她们表示全力配合为患者进行手术。时间就是生命,2018.04.05清明节放假第一天全体医护人员放弃休息,为曾先生施行手术。术中肿瘤供血极其丰富,在分离三叉神经和迷走神经周围肿瘤时曾出现“脑心反射”致患者心跳骤停,幸好丰富经验的手术团队及时处理,手术得以继续进行,历时约12小时,是一场不折不扣的拉锯战,对医师的精力、体力有极大的要求,手术顺利将肿瘤近全切除,将患者生命从死神的手中重新夺回。
术后患者转入神经重症监护室,经黄贤键主任神经重症团队精心治疗,2天后转回普通病房。除术前即存在的后组颅神经功能障碍外,曾先生术后未出现明显并发症,四肢均可正常活动,仅有轻微面瘫表现。在治疗过程中,曾先生一度情绪不稳定反复拔除胃管并拒绝重插胃管,考虑患者后组颅神经麻痹出现的吞咽困难,若不留置胃管容易出现误吸造成肺部感染,神经肿瘤病区张玛莉护士长、阎丽护士、魏敏护士耐心反复劝说,最终将胃管重新插上,在神经肿瘤护理团队的精心护理下,患者目前逐步恢复中,伤口已拆线,拟近期进一步行放射治疗。
曾先生的手术得以成功施行,离不开手术医师、麻醉科医师、手术室护士及病房护士的团结协作,在节假日放弃休息为患者手术更是体现了深圳市第二人民医院全心全意为患者服务的宗旨。该手术的成功施行标志着我院神经外科的颅底手术水平已处于省内领先地位,更重要的是,得到国内神经外科权威的天坛医院专家认可。
最后深圳市第二人民医院脑科中心蒋太鹏主任提醒广大市民,如果出现头晕头痛,恶心呕吐,肢体抽搐,或者听力下降,行走不稳,视物模糊等症状时,一定要及时医院就诊,若对自己病情不确定的患者也可到深圳市第二人民医院神经外科门诊进行咨询。

医疗组与病人合影

术前术后对比图

术前术后对比图

术前术后对比图