李先生,56岁,两年前体检显示肺纹理增多,通过检查确定是由吸烟导致的肺纹理增多症状,见医生建议李先生及时戒烟,以免发生肺部疾病。
李先生没有听从医生的劝诫,仍然经常吸烟,最近一段时间,李先生开始频繁的咳嗽,咳痰,夜间咳嗽现象严重影响李先生的睡眠,李先生决定去医院检查一下。

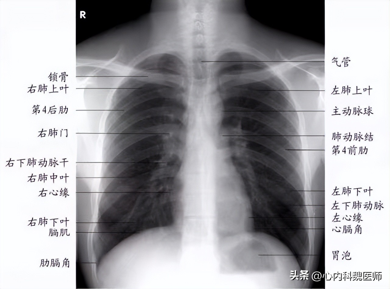
通过李先生的主诉,推测李先生应该发生了呼吸系统疾病,对李先生进行体格检查,肺部进行听诊,触诊以及叩诊,发现肺部有异常呼吸音,随后对肺部进行影像检查,通过影像学检查发现肺纹理增多现象, 肺纹理粗细不均匀,出现蜂窝状细小纹理,为支气管性肺纹理增多现象。
随后进行血生化和血常规检查,检查提醒机体发生了炎症,进行呼吸功能检查,检查结果显示呼吸功能下降, 最终确诊李先生为慢性支气管炎。

通过会诊确定李先生的治疗方案, 主要治疗方案以药物治疗为主,通过服用解痉止咳的药物缓解咳嗽症状,雾化吸入乙酰半胱氨酸促进痰液 ;除了药物治疗外,李先生还要戒烟,吸烟是导致李先生发生慢性支气管炎症的重要原因。
两年前李先生就出现了吸烟性肺纹理增多现象,但是李先生并没有重视,最终导致慢性支气管炎发生。下面我们具体了解一下“肺纹理增多”。

一、“肺纹理增多”是一种什么病?
肺纹理增多不是病,而是影像学检查结果,单独出现肺纹理增多无法确诊疾病,出现肺纹理增多时,且伴有其他相关疾病症状才可确诊 。
导致肺纹理增多的原因主要分为两种, 生理性因素和病理性因素 ,肺纹理增多作为病理性因素时不会单独出现;肺纹理是肺部出现的放射状态的状影,由肺部的肺门向外发出,总体呈树枝状影,由疾病原因或生理原因影响, 树枝状影会出现增多或中粗,这种现象统称为肺纹理增多 。导致肺纹理增多的原因主要有以下几种。

1)吸烟性肺纹理增多
经常吸烟会对肺组织造成一定影响,因此对肺纹理也会出现生理性增多的现象,吸烟导致的肺纹理增多症状较轻,一般不会出现肺纹理走向异常。 长期吸烟导致肺纹理增多,可能会引起慢性肺部疾病,导致肺纹理增多转变为病理性。
上文提到的李先生经常吸烟,老年前体检时发现肺纹理增多,排除病因后发现是由吸烟导致的, 但李先生没有听取医生的建议仍然吸烟,最终导致肺纹理增多病理化,发生慢性支气管炎, 有吸烟不良嗜好的人群应该尽早减少吸烟或戒烟。

2)生理性肺纹理增多
年龄和肥胖都会导致生理性肺纹理增多,随着年龄的增加, 肺部间质组织也会增加,肺部功能会出现生理性退化,这种情况会导致老年人出现渐进性劳力气促,长期气促就会影响肺间质增加 ,从而影响肺纹理增多。
长期渐进性劳力气促很有可能会导致老年间质性肺疾病。老年人出现肺纹理增多时可以去医院检查一下是否有老年间质性肺疾病的倾向。

肥胖也会导致生理性肺纹理增多,由于几天过于肥胖导致呼吸循环系统受累,支气管和肺组织的负荷过重,长期以往容易导致肺组织受损,导致肺纹理增多。
另外, 肥胖人群容易导致X线吸收过多,脂肪过厚会影响胸片拍摄结果,导致出现一定误差,影像学显示肺纹理增多 。建议肥胖人群定期检查肺纹理,一旦生理性肺纹理增多有病理转化的倾向,及时在医生的指导下进行预防性治疗,肥胖人群也应及时减重,保持健康体重。

3)病理性肺纹理增多
由疾病导致的肺纹理增多是病理性因素,主要分为淋巴性肺纹理增多,支气管性肺纹理增多以及血管性肺纹理增多。
肺部淋巴出现炎症或损伤影响肺纹理增多,肺纹理是肺间质的影像,肺间质组织包括肺部淋巴,因此肺部的淋巴影像是肺纹理形成的一部分, 肺部淋巴结发生炎症后会导致淋巴组织肿大,最终导致淋巴影像增多,由此发生淋巴性肺纹理增多。影像表现表现为两肺多细小网状阴影,出现这一特点及时检查肺部淋巴疾病。

支气管性肺纹理增多主要是由支气管疾病导致的,健康状态下的支气管肺纹理表现为粗细均匀的树状,受支气管炎症或支气管扩张影响,部分支气管会出现增多增粗现象。
支气管炎症会使支气管组织出现损伤,炎症物质也会附着在支气管组织上,因此支气管的影像学检查会受到影响,肺纹理影像检查中包括支气管影像,因此发生支气管疾病时肺纹理会受到影响,导致患者发生支气管性肺纹理增多。支气管扩张会影响肺纹理影像检查增多增粗, 发生支气管性肺纹理增多表现为肺纹理粗细不均匀,出现蜂窝状细小纹理 。
上面提到的李先生就发生了支气管性肺纹理增多,根据这一特点有效判断李先生应该是发生了支气管疾病,帮助李先生快速确诊慢性支气管炎。

病理性肺纹理增多,还包括血管性肺纹理增多,这一病理性的原因是由心脏疾病导致的 ,血管能够帮助供应肺部所需的血液和氧分,心脏疾病影响血液循环变差,肺部血管会发生充盈,由于心脏供氧不足会导致肺部缺氧,肺部缺氧状态下也会出现血管充盈现象。
肺纹理反映肺间质影像,肺间质包括肺部血管,因此出现血管性肺纹理增多时常表现为肺纹理增粗,肺纹理多由肺门发出,按照肺部血管走向,出现这一特点可以确诊患者发生了血管性肺纹理增多, 出现血管性肺纹理增多且伴随心脏增大症状时可确诊为风心病或先心病等心脏疾病。

上面提到的李先生两年前体检时出现的是吸烟性肺纹理增多,两年后有转变为支气管性肺纹理增多,因此即使是生理性肺纹理增多的患者也应注意肺部状况,保证肺部处于健康状态。 有条件的人群建议定期检查肺部,以免增多症状加重,造成不可逆转的疾病 ,下面我们具体认识一下肺纹理增多,了解其是否是一种很严重的症状。

二、肺纹理增多严重吗?
不管是生理性肺纹理增多,还是病理性肺纹理增多,对我们的健康都有一定的影响,尤其是病理性肺纹理增多,不及时接受治疗可能会导致无法逆转的疾病。
生理性肺纹理增多也可转化为病理性肺纹理 ,因此现肺纹理增多时还是需要注意,但是单独出现肺纹理增多以及临床诊断时不用太过惊慌,这种症状多是生理性因素,年龄因素导致的肺纹理增多是无法避免的,为了避免生理性因素转变为病理性因素,年龄较大的人群可以进行一些调理,促进肺部功能改善; 由肥胖因素导致的肺纹理增多,应该及时减重。

上面提到的李先生是吸烟性肺纹理增多,吸烟导致的肺纹理增多症状早期较轻,如果不加约束,则会加重肺纹理增多症状,出现吸烟性肺纹理增多就是机体在提示我们吸烟可能会继续损伤肺部,李先生确诊为吸烟性肺纹理增多后,仍然不听医生劝阻继续吸烟,两年后导致慢性支气管炎, 如李先生仍然不听医生劝说可能会导致疾病癌变,严重时可能导致肺癌发生。 因此出现肺纹理增多时,我们要及时进行干预,否则会肺纹理增多现象就会严重影响我们的健康。

病理性肺纹理增多相较于吸烟性以及生理性是最严重的肺纹理增多症状,出现这一症状时,我们应该及时治疗,积极控制疾病有利于肺纹理增多现象得到缓解。一般病理性肺纹理增多现象不会单独出现,常常合并一些症状,提醒我们相关疾病,下面让我们一起了解一下。
三、病理性肺纹理增多常结合哪些症状?
一般肺纹理增多没有特别明显的表现,病理性纹理增多结合相关症状,常常提醒一些疾病发生了,下面让我们一起了解一下。
1.伴呼吸困难,心律失常等症状
影像检查肺纹理增多现象,合并呼吸困难,心律失常这些症状时,常提醒我们可能发生了心脏方面的疾病。 患者出现呼吸困难等症状时,说明肺部缺氧严重,肺部出现缺氧现象排除呼吸道堵塞,就是由于心脏供血不足导致的,心脏供血不足,不通,向肺部的血液和养分就不足,肺部缺氧会出现呼吸困难现象。
合并心律失常提醒心脏功能下降,导致心脏供血功能不足,患者出现血管性肺纹理增多。如果我们出现肺纹理增多现象,且伴有些症状时,应及时去医院检查心脏疾病。这一现象常提醒我们可能发生了风湿性心脏病,心力衰竭等疾病。

2.伴咳嗽,咳痰等症状
排除感冒因素后,经常咳嗽,咳痰则可能发生了肺部疾病,尤其咳嗽,咳嗽症状伴随肺纹理增多,常常提醒我们可能发生了支气管疾病。
上面提到的李先生发生了 咳嗽,咳痰症状 ,去医院检查后发现支气管性肺纹理增多,最终确诊为慢性支气管炎。

3.伴发热,盗汗等症状
发生肺纹理增多伴随发热,出汗疲惫等症状时可能发生了粟粒性肺结核,另外, 肺纹理增多伴随咳血,黑便等现象时,可能提醒我们发生了肺癌 。
如果我们出现肺纹理增多且伴有其他症状,应该及时去医院检查,做到早发现,早治疗,不管是病理性还是生理性都需要尽早改善这一症状。

四、如何改善肺纹理增多症状?
①.积极治疗原发疾病
大多数病理的因素提醒疾病发生,这类患者应该积极治疗原发疾病。疾病得到治疗或控制后,肺纹理增多症状就会得到改善。
②.严格把控生活方式
生理性和吸烟性肺纹理增多是由于生活方式不良导致,在日常生活中我们应该保持健康体重,做到不吸烟不喝酒,保持作息规律,保持健康的饮食方式。

③.定期监测肺纹理情况
定期检查才能了解肺纹理情况,能够有效帮助我们监测疾病治疗进程,也能有效帮助我们监测肺纹理增多现象是否有病理化倾向,有效提高治疗效率。

“肺纹理增多”,是影像学检查结果,不管是生理性肺纹理增多还是病理性肺纹理增多,对我们的身体健康都有一定影响,尤其是病理性肺纹理增多,可能导致一些无法逆转的疾病发生 ,因此出现肺纹理增多时我们一定要重视,及时改善这一症状。
上面提到的李先生两年前发生了吸烟性肺纹理增多,但是李先生没重视,最终发展成慢性支气管炎,我们要以李先生为戒,出现肺纹理增多症状时一定要重视,及时去医院检查,做到早发现,早治疗。
参考文献:
[1]陆聪.职业健康检查中“肺纹理增多”的原因分析与探讨.中外医学研究, 2013, 11(23): 71-72.
[2] 黎长富,刘红. DR数字化摄影示"肺纹理增多"CT扫描临床应用价值.现代医用影像学, 2012, 21(4): 217-232.
[3]梁军.尘肺病治疗的研究新进展.按摩与康复医学.2016, 7(4): 1-3.