上周有一位家长带孩子以牙齿发黑为主诉就诊,在检查后诊断为全口牙色素。所以今天想和大家分享牙齿色素的原因及防治方法。

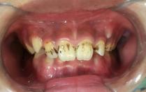
8岁孩子口内外源性染色

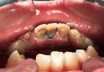
8岁孩子口内外源性染色
首先要明确,并不是所有的牙齿发黑都是色素,伴有牙齿缺损的发黑一般都是龋病(关于龋病的相关知识会在后续的科普中做专题讲解)。
牙齿分为内源性和外源性,今天着重介绍外源性染色。外源性牙齿染色的原因很多,总结起来有以下的原因:日常饮食黑色素较多的食物(最常见),长期服用颜色较深的中药,口腔内产黑色素细菌活跃等。染色一般位于牙齿的唇颊侧,部分严重的患儿可有舌侧及咬合面的染色。


牙面色素沉积有什么危害呢?首先,牙面染色通常伴有软垢,牙菌斑更容易停留在牙面上而引起龋病;其次,牙齿的美观受影响,学校里同学和其他小朋友可能会嘲笑牙齿黑的同学而造成心理上的压力。那么牙齿色素该怎么办呢?
瓜瓜建议做到以下两点:第一、预防重于治疗,教导并监督孩子正确的认真刷牙,大部分牙面色素是可以避免的;第二、如果已经有色素,建议家长带孩子至专业的儿童口腔科检查并且洗牙。谈到洗牙很多人担心小孩子洗牙会不会敏感?会不会对牙齿造成伤害?其实这些问题完全不用担心,首先专业的洗牙是不会损伤牙齿的,其次儿童洗牙主要是进行色素的清洁,一般来说不会有牙结石等其他问题,所以洗牙方法也和大人不一样,不会造成术后的敏感。洗完牙以后认真刷牙,定期口腔检查就可以减少未来色素沉着等可能性。
