咱们国家的胃癌发病率比较高,占全球胃癌发病人数的43.9%,全球因胃癌去世的病人有48.6%发生在中国。晚期胃癌中位总生存时间仅为一年。胃癌之所以难以治疗,主要还是可选的治疗方法不是很多。
随着免疫治疗时代的到来,PD-1单药成为胃癌三线治疗的手段,PD-1*制剂抑**联合化疗已经成为胃癌的一线标准治疗。化疗联合免疫治疗会提升治疗的效果,但是也有不良反应,但胃癌患者是否会接受将放疗也同时加入进去?也就是晚期胃癌化疗、免疫治疗和大分割放疗同时做。下面的这个故事就讲述了一个不可手术的胃癌患者,通过上述治疗实现了肿瘤病灶的消退和手术,患者实现了主要病理缓解。
一、发现即晚期的胃癌病人
2022年5月12日,复旦大学附属肿瘤医院收治了一名67岁的男性患者,他出现了消化不良和和黑便的症状很多天了。在医院就诊的时候患者出现了头晕、食欲不佳、上腹满不适、偶有钝痛、排便困难。患者自行服用奥美拉唑胶囊5天后没有缓解。患者有30年的吸烟和饮酒史。
医生在给患者做检查的时候发现其脸色苍白,表现为贫血。左侧锁骨上区可触摸到肿大的淋巴结,但是腹部和直肠指检没看到异常的情况。肿瘤标志物都在正常的范围之内(肿瘤标志物不敏感)。但是胃部增强CT扫描可看到胃体壁增厚,胃周围、肝胃间隙、肺门区、腹膜后有肿大淋巴结,后面的PET-CT检查证实肿瘤已经转移。胃镜检查确定为胃癌。相应的分子检测指标是:微卫星稳定型、HER2两个+(弱阳性,但FISH验证为阴性),二代基因测序证实TMB的数值比较低,具体数值为5.98M/Mb。
综合患者的各项检查指标,这个患者被确定为转移性胃癌,TNM分期为cT4N3M1。

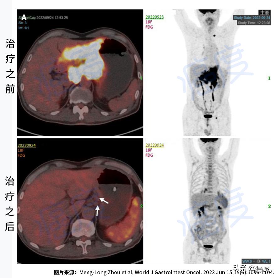
治疗前后的影像学检查对比
二、首次治疗就用猛药,达到最佳治疗效果
一般来说发生了转移,患者是不能考虑做手术的。这个患者治疗也是一线的标准治疗,mFOLFOX6化疗方案联合PD-1*制剂抑**的组合治疗。为了便于大家参考。详细地将具体的药物剂量和时间编译出来。
第1天2小时内静脉注射奥沙利铂(剂量为85毫克/每平方体表面积);第1天2小时内静脉注射亚叶酸(剂量为400毫克/每平方体表面积);静脉注射5-氟尿嘧啶(剂量为400毫克/每平方体表面积),46小时内持续输注(2400 毫克/每平方体表面积);每两周重复一次化疗。每两周给予PD-1*制剂抑**纳武利尤单抗240毫克。
由于患者胃部病灶出血,而且肿瘤病灶处于胃部的远端,引起了不完全梗阻。考虑到这些原因,在和患者和家属沟通之后,对原发病灶进行了放疗。在做了2个周期的化疗联合PD-1治疗后,对原发灶和淋巴引流区进行了高频放射治疗,总剂量为24格瑞,分为6次完成。然后又进行了4个周期的化疗联合免疫治疗。
治疗一个月之后,患者消化不良、黑便明显缓解,胃部增强CT扫描显示胃壁厚度减少,对示踪剂的吸收也降低,总体评估为部分缓解PR。

治疗之后病灶体积和示踪剂吸收明显减少
在经过多学科讨论之后,谨慎建议手术。2022年10月20日,这个患者进行了手术治疗。腹腔镜没有发现腹水,也没有发现腹膜种植。所以就将腹腔镜手术改为了开放手术,进行了全胃切除加Roux-en-Y重建、D2淋巴结清扫。手术后的病理显示肿瘤病灶已经溃烂、间质纤维化,有炎症细胞浸润,但是检查了26个淋巴结都没有发现肿瘤转移。这个时候的分期为T1aN0Mx,手术之后没有发现术后并发症。
手术后4周开始了化疗联合免疫治疗,然后使用纳武利尤单抗单药注射了1年,每隔3个月进行一次检查。总体情况很好,患者表现为健康稳定,没有复发的迹象。
三、启示和讨论
在患者治疗的过程中,摆在他们面前的有多种治疗措施,但是不同的病人选择的治疗办法不同,而治疗的结果也是千差万别的。从上面的总体治疗来看,这个患者最后进行手术治疗是非常及时的,因为目前这种治疗实现了病灶缩小,但不代表癌细胞都被杀死干净了,也许过一段时间又复发了。当然这里前提是手术的病灶之外没有残留,所以也是为何手术之后还进行辅助治疗的原因。
当然最值得我们思考的还是一开始就用的组合治疗,可能往往很多病人不能耐受这样的组合治疗。但放疗会增强免疫治疗的效果,越是在患者身体比较好,人体免疫系统比较强的时候用上去,越是能达到最佳的治疗效果。如果说担心患者不能耐受,后面的体质就会越来越差,可能治疗也就会越来越是被动,所以本文能给到大家的启发就是如果一定要选择“抗”治疗的不适,那就在最开始治疗的时候硬抗吧,也许下一个奇迹就是您。
关注癌度,了解肿瘤最新的诊疗相关信息!