从老家过来的一位女病人,56岁,咳嗽胸闷4个月,CT发现右肺大片高密度影:


这是肺炎吗?
病人说,这个阴影4个月前就有了,在镇医院输液抗炎治疗过半个月没有效果,也排除了军团菌、放线菌等慢性感染,但一直没找到癌细胞,想过来确定一下到底是不是肺癌?
如果不好治就不治了,活到哪天算哪天。
遇到这种病人总是令人沉重!
病程4个月,抗生素治疗无效,真的需要先排查肺癌。
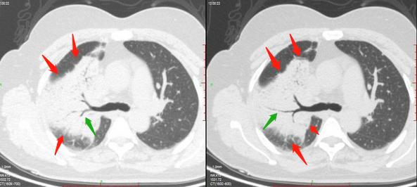
我们分析她的片子,右肺上叶大片实变(红箭头),里面可以看到管状的支气管(绿箭头),并且支气管走行僵直、扩张。
这个支气管改变很有价值!我们知道,肺炎的时候支气管是光滑自然的,

Lungs icon in flat style isolated on white
正常支气管逐渐分支并越来越细,像一棵树一样深入到双肺里面,如下图箭头所示:

而这位病人的支气管发生了扩张,并且边缘轮廓不够光滑:

这就提示了两个疾病:肺粘液腺癌和肺淋巴瘤。
后来支气管镜取病理,做了免疫组化,确诊为肺MALT淋巴瘤。
什么是肺淋巴瘤?
首先,这也是一种肺的恶性肿瘤,比较少见,占肺内原发肿瘤的0.5%,主要侵犯肺间质和支气管黏膜下组织。
在胸部CT影像上,肺淋巴瘤有4种表现形式:肺炎肺泡型、结节肿块型、粟粒型、间质型。
这位病人就属于肺炎肺泡型,表现类似于肺炎,但抗生素治疗无效。
这种疾病虽然属于恶性肿瘤,但进展缓慢,治疗效果好,5年生存率能达到84-94%。
所以,不要听天由命任其发展。

癌症至今尚未完全攻克,所以很多人说,查出癌症就别治了,省点钱留给家里人,反正治了也没用,不要人财两空。
查出恶性肿瘤,到底要不要治疗?
癌症病人通常有两种选择,治,或者不治!
选择不治疗的癌症病人,原因也只有两个:
1.担心治了也没用,人财两空;
2.病人说了不算,家里人不愿意冒险;
家家有本难念的经,我们体谅每个家庭的难处,但我们不妨对做出不同选择癌症病人的结局做一下了解。
坚持不治疗的癌症,最终会怎么样?
1.某些癌症生长比较缓慢,进展比较温和,转移出现晚。
这种病人比较幸运,没有专门治疗也能存活几年,甚至十几年。

上图这位老人,在72岁的时候发现左侧早期肺癌,觉得年纪大了,没有选择手术也没有采用其他任何治疗。
11年后,老人83岁的时候最后一次来复查,肿瘤已经进展到晚期:

之后就失去联系了。
肺腺癌早期大多进展缓慢,甚至可达数年,仅表现为肺内高危结节(这也是我们呼吁重视胸部体检的原因,通过体检做到早期发现及时处理,解除风险)。
这种的是比较幸运的类型!
但癌症并不都是温和的,更多的是来势汹汹进展迅猛,否则也不会让我们谈癌色变了!
2.某些癌症进展迅猛,生长快,转移早。
这类癌症如果不治疗,病人会在短期内死亡,比如小细胞肺癌、中晚期肝癌、肉瘤样癌等。

比如这一位病人,巨块型肝癌,确诊的时候肿瘤就比拳头还要大了。
这种程度如果不治疗会快速进展,一般寿命不超过三个月,短的甚至只有二十几天。曾经肝癌被称作“癌中之王”,就是这个原因。
当然这个病人没有放弃治疗,选用介入栓塞配合消融治疗,三年半后还活着:

这个病人比较幸运,对治疗有效!并且三年多的时间没有发生转移和复发。
有没有某些癌症,就算积极治疗也效果不好?
有!现在癌症还没有根治,没有彻底攻克!
很多癌症没有特效的治疗方法,只有依靠早期发现,及时切除。
这些对治疗不敏感的癌症,如果发现就是中晚期,常常就很令人无奈。
这种类型的,一般就不建议过度治疗了。

这是一位肉瘤样癌的老人,73岁,发现时就已经侵犯胸壁了,胸痛得很厉害,医生说手术风险太大,无法保证效果,但是对放化疗又不敏感。
最后家里孩子们决定赌一把!
很遗憾,手术后病人只活了半年多。
总之,癌症病人之间也是不同的!不能一概而论放弃治疗!

如果有明确的敏感治疗手段,还是建议尝试,比如本文一开始的肺MALT淋巴瘤,治疗效果不错!哪怕能延长三五年寿命也是好的!(当然还要结合家庭经济状况)
现在这时代科技发展快,新药和新技术层出不穷,也许就在这三、五年,就有特效药出现了呢。
这里是影像科豪大夫,感谢您的阅读和关注!如有疑问,可在留言区提问,我将尽量回复。