在宝宝成长过程中,大多数乳牙都在完成自己的使命后乖乖地退出牙槽,为恒牙让位,让宝宝健康成长。但是遇到特别“倔强”的乳牙,不愿被“后浪拍死在沙滩上”顺应“历史的潮流”该怎么办呢?

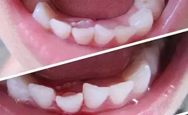
乳牙松动却迟迟不掉是很常见的事情。正常情况下,小孩子从五六岁开始进行牙齿替换,乳牙掉落,然后恒牙长出来,顺序是先下牙后上牙,从中间到两边。但也有一些小朋友,乳牙还没掉落,相对应的恒牙就迫不及待地长了出来,这种情况就叫“乳牙滞留”,又叫乳牙迟脱。

造成乳牙滞留的原因
越来越多的孩子乳牙无法自行脱落,恒牙就已经萌出,这往往是食物太精细造成的。过于精细绵软的食物使得咀嚼时所需力量下降,乳牙牙根吸收过慢,该脱落的时候依然坚固。
另外,乳牙的牙髓炎症以及恒牙的先天缺失以及萌出动力不足也都可能造成乳牙滞留、恒牙迟萌现象发生。
乳牙滞留的危害
★宝宝乳牙滞留会引起恒牙萌出的方向和位置异常,甚至无法萌出,这对宝宝的颌骨发育是有影响的。
★咀嚼率降低则会导致宝宝对食物吸收营养不到位。
★恒牙萌出后牙缝变大。口腔卫生环境发生变化会导致龋齿发生。
★面容美观和心理发展都会造成不同程度的影响。

乳牙滞留应如何预防



出现乳牙滞留怎么办
如果是替牙期的小朋友们出现了恒牙已萌出,乳牙仍然长时间不脱落的情况,需要将滞留的乳牙拔掉。新生恒牙没有了阻力,在唇颊舌肌的力量作用下,一般会恢复到正常位置。
因先天缺失继承恒牙导致的滞留乳牙可不予处理。但是要密切观察滞留乳牙,积极预防龋齿的发生,尽量延后牙齿脱落时间。如果宝宝牙齿脱落,要根据牙齿排列情况进行间隙管理。