
每天18时,以案说医。医案是中医临床实践的记录,体现了诊疗过程中理、法、方、药的具体运用,是医家诊治疾病思维过程的表现。历代名家医案是中医药宝库中的瑰宝。我们推出【以案说医】栏目,以期传承精华,启迪我辈,共同进步。
近日我们将记录广东中医医疗队在湖北抗疫的《新型冠状病毒肺炎中医医案精选》部分医案摘录出来,以当代中医的视角,感受与时间赛跑、与病魔较量的惊心动魄。
【基本资料 】
李某,男,44岁。既往体健。
01 【发病过程】
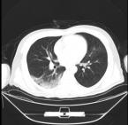
患者因“发热8天”于2020年1月28日入院。患者1月20日开始出现发热,体温最高39.5℃,乏力畏寒,全身酸痛,就诊于外院,行抗病毒治疗。胸部CT示双肺感染,考虑病毒性肺炎。经治疗后,患者仍有发热,且出现活动后气促,以“病毒性肺炎”收入湖北省中西医结合医院隔离病区。入院后西医诊断:新型冠状病毒肺炎(临床诊断)。患者入院后予抗感染、抗病毒、静脉滴注球蛋白等治疗后已无发热,但仍诉活动后气促明显,步行上厕所后即出现气促。于2月5日复查胸部CT提示双肺多发磨玻璃密度感染灶(图2-3-1)。

图2-3-1 2020年2月5日胸部CT
02 【首诊证候】
2月6日(患者入院后第10天)首诊:患者神清,疲倦乏力,自觉四肢酸软困重,活动后气促明显,干咳为主,痰白黏,难以咯出,维持鼻导管低流量吸氧,外周血氧饱和度95%,少许头晕胸闷,无口干欲饮,无发热恶寒,睡眠一般,胃纳一般,二便正常。舌淡红、有齿印,苔黄腻(图2-3-2),脉滑。

图2-3-2 首诊舌象
03 【辨证论治】
病机诊断:湿毒犯肺,损及脾胃。
治则治法:清热利湿,兼以扶正。
处方:瓜蒌皮10g,苍术10g,槟榔10g,杏仁10g,葶苈子10g,藿香10g(后下),茯苓15g,白术10g,茵陈20g,桃仁10g,草果6g(后下)。
服法:水煎服,日1剂。
04 【随诊过程】
2月9日四诊:2月7日新冠肺炎核酸检测阳性。患者今日自觉精神有所好转,气促较前有所减轻,咳嗽,仍以干咳为主,双侧胁肋部隐痛,少许胸闷,口苦,无头晕,胃纳差,小便正常,解稀烂大便1~2次,睡眠稍差。舌淡红、有齿印,苔腻微黄(图2-3-3),脉滑数。

图2-3-3 四诊舌象
处理:患者邪气侵及少阳,损及太阴,故在上方基础上加用柴胡、黄芩疏利少阳,加大白术剂量及合用焦三仙健运脾胃。
处方:藿香15g,苍术10g,草果9g,茯苓15g,白术30g,杏仁10g,贯众10g,槟榔10g,佩兰10g,枳壳10g,柴胡15g,黄芩10g,厚朴15g,神曲10g,麦芽10g,山楂10g
服法:水煎服,日1剂。
2月10日五诊:患者诉服药后症状减轻,感觉良好,精神明显好转,气促明显减轻,胸闷已缓解,血氧饱和度已升至99%,可脱离氧气行走,少许干咳,双侧胁肋部隐痛好转,胃纳好转,大便正常,睡眠略差。舌淡红,苔白腻微黄,脉滑数。
处理:效不更方。
服法:水煎服,每日1剂。
2月12日七诊:患者情况继续好转,精神可。患者精神改善,无疲倦乏力,无气促,少许咳嗽,深吸气时双胁肋部隐痛,无发热恶寒,纳眠可,二便正常。舌淡红、有齿印,苔薄白,脉滑。六分钟步行试验:380米。
处理:效不更方,仍予上方加减,分次服用。
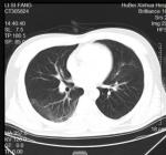
复查胸部CT示病灶较前明显吸收(图2-3-4)。连续2次新型冠状病毒核酸检测均阴性,于此日出院。

图2-3-4 2020年2月11日胸部CT
05 【按语】
(1)证候特点:本案例患者早期有发热、咳嗽、气促等症状,中医介入时病程已达10日,故而出现疫气、湿邪缠绵,伏于膜原,湿阻肺胃。临证所见以气促、倦怠乏力、四肢酸软困重、纳差、舌淡有齿印、苔腻、脉滑等为特点,一派湿性重浊、黏滞之象。
(2)病机分析:患者正值壮年,受疫戾邪气侵袭而染病,整个病程长达18天,疫气初起,本在膜原,然患者正气充足,正邪交争,故疫气未见热邪弥漫之象,仍在膜原,但日久正衰,已损及太阴肺及脾胃,故导致湿热之邪缠绵难祛,可见气促、倦怠乏力、四肢酸软困重、纳差、舌淡苔腻有齿印、脉滑之象。
(3)治疗思路:《温疫论》云:“此邪不在经,汗之徒伤表气,热亦不减。又不可下,此邪不在里,下之徒伤胃气,其渴愈甚。宜达原饮。”一般温疫初起,初得之二三日,但此患者已发病十余日,无发热恶寒,是否仍在膜原?此患者既往体健,正气尚充足,其舌脉有“不浮不沉而数,舌苔白厚腻如积粉”,故考虑疫邪仍伏于膜原,正应吴又可所言“不传则邪不去,邪不去则病不瘳”,且缠绵日久则肺、脾胃正气亦已耗伤,故此时需标本兼治,必当“透达膜原,疏利化浊”,同时也要注意固护脾胃,故选方取达原饮之意,拔邪外出,速离膜原,同时培补脾胃,以恢复气血化生之源。
(4)临证启发:吴又可《温疫论》作为我国现存第一部传染病学专著,影响深远,其中达原饮更为治疫名方,而如何灵活运用此方,则需深明吴又可创立之意。案例中虽未用达原饮原方,但正如《温疫论》所言“以后四品(知母、芍药、黄芩、甘草),乃调和之剂,如渴与饮,非拔病之药也”,因此患者出现胁痛、口苦,考虑邪热溢于少阳,故加柴胡;出现纳差、舌有齿印、便溏,考虑邪毒伤于太阴,故加苍术、茯苓、白术以健脾化湿,再加焦三仙健运脾胃。因此,对于新型冠状病毒肺炎患者,仍要仔细审证,辨明邪之所凑,临床再细细斟酌,拟定处方,可求其意,而不需执着于原方。
(本案编写:蔡彦 黄东晖)
【来源:《新型冠状病毒肺炎中医医案精选》,人民卫生出版2020年5月第一版,主审:张伯礼,主编:张忠德、邹旭】
