采耳,起源于川渝地区,
是一项新兴的休闲养生项目。
采耳时,通过工具的刺激,
外耳道向大脑传递信号,
释放多巴胺,从而产生愉悦感,
成为很多人放松的不二选择。
福建20岁男子小徐(化名),近3个月来觉得左侧外耳道不适,感觉有异物闷堵,偶尔感到疼痛。由于常年有采耳的习惯,他以为又是耳屎堵住了,便前往常去的采耳店清理“耳屎”。
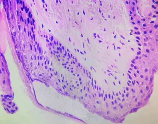
在采耳过程中发现,他的耳洞里竟然长了个“瘤子”,一触即痛,还伴有轻微出血……小徐急忙前往福建省妇幼保健院耳鼻喉科就诊。医生为他使用视频耳镜进行检查,考虑为外耳道乳头状瘤,建议立即手术切除治疗。

完善相关术前检查后,医生为小徐在局麻下快速完成外耳道肿物的切除手术,术后病理证实确为乳头状瘤。术后患者感觉良好,第二天便重返岗位上班。
对于这次遭遇,小徐很是纳闷,自己的耳朵为何无缘无故会长出一个肿瘤?
医生表示,这与其长期频繁、过度的采耳史有密切关系,长期对耳道的不当刺激和感染是引发乳头状瘤的重要因素。
什么是外耳道乳头状瘤?
外耳道乳头状瘤,又称外耳道尖锐湿疣,是一种发生于外耳道软骨皮肤的良性肿瘤,多因外耳道的鳞状细胞或基底细胞长期受到刺激而发生增殖。我国南方较多见,且好发于男性。
外耳道乳头状瘤是怎么产生的?
0 1
病毒感染
外耳道感染HPV病毒可引起上皮局部增生,导致发病。挖耳是病毒感染的传播途径。
0 2
慢性刺激
由慢性化脓性中耳炎及外耳道炎的脓液、湿疹、异物长期存留或经常挖耳朵等慢性刺激导致。
0 3
个体因素
在一定程度上,个体的遗传因素及免疫系统状况可能也会引起外耳道乳头状瘤。
耳朵出现哪些症状需要警惕?
0 1
出血 :挖耳时易出血为外耳道乳头状瘤的早期表现。
0 2
耳痛和不适:外耳道乳头状瘤常常伴随着耳朵的疼痛及不适感,尤其在咀嚼或触摸外耳道时更为明显。
0 3
耳屎增多:由于肿瘤的存在,耳屎可能会增多,形成耵聍栓塞,引发听力问题。
04
耳朵流出分泌物:在某些情况下,乳头状瘤可能导致耳朵分泌黄色或棕色的分泌物,称为耳漏。
05
听力下降:长期存在的乳头状瘤可能会阻碍声音传导,导致听力逐渐下降。
日常生活中该如何预防?
避免使用尖锐物体
使用棉签或耳勺等尖锐物体时,容易误伤外耳道的皮肤,增加炎症和损伤的风险。过度清理会打破耳朵内部的自洁能力。
避免过度清理耳内
耳朵不需要频繁清理。避免使用清理工具进入耳道深处。这样做可能会将耳屎推动到更深的位置,甚至导致聍栓塞或刺激耳道皮肤。
谨慎使用耳蜡软化剂
过度使用软化剂可能导致耳内环境过于湿润,增加乳头状瘤形成的风险。
保持耳朵干燥
避免让耳朵长时间处于湿润环境中,湿润环境容易导致炎症或瘤体的形成。
避免刺激性物质
尽量避免将刺激性的化学物质引入耳朵,包括香水、化妆品等。这些物质可能导致过敏反应和炎症。
及时治疗耳部感染
任何耳部感染都应及时治疗,以防止慢性炎症的发展。感到疼痛、分泌物增多时,应及时就医。
定期医学检查
如果感觉耳朵不适或异常,建议咨询耳鼻喉专科医生,及时采取适当的措施。定期的医学检查可以帮助发现潜在的问题。
“采耳”须谨慎,
如果耳朵出现不适,
务必及时前往
正规医院进行专业治疗。
微信改版了
现在刷到我们全凭缘分
大家记得设置星标
关注精彩内容不迷路~
来源:福建卫生报综合福建省妇幼保健院
编辑:杨馨(见习)
审核:黄美辉、陈静

来源:福建卫生报