点击「神经介入在线」可快速关注

作者简介:
徐锐,日照市人民医院医学影像科主任兼介入医学科主任、主任医师,教授,硕士生导师。中国卒中学会青年委员,国家卫计委脑防委缺血性卒中介入专家委员会委员。2005年以来,带领着影像、介入团队完成了跨越式发展,为广大市民提供了优质、高效、一流的现代医疗服务,科室被评为省级临床重点专科建设单位,个人先后荣获 “山东省优秀医务工作者”、“日照市十大杰出青年”、“日照市十大青年楷模”“日照市十大名医”等称号,是市十二次*党**代会*党**代表,2015年被评为日照市有突出贡献青年专家,2016年中国科协九大代表,2016年山东省优秀*产党共**员。
病例详情
病情信息
患者女性,61岁。
主诉:言语不清、右侧肢体活动不灵2天。
既往史:体健。
现病史:患者2天来无明显诱因出现言语不清,口角歪斜,逐渐出现右侧肢体活动不灵,伴饮水呛咳,无头晕及头痛,无恶心,在当地医院住院治疗,行头颅CT未见脑出血,治疗后症状有加重,为求进一步治疗来我院就诊。患者自本次发病以来,精神较萎,胃纳可,睡眠可,大小便如常。体力、体重无明显下降。
查体:BP 197/93mmHg;神志清,精神差,言语欠流利,查体欠合作,双侧瞳孔不等大,光反射存在。右上肢肌力4级,右下肢肌力5-级,左侧肢体肌力5级,四肢肌张力正常,右侧偏身感觉减退,四肢腱反射(+),右侧巴氏征阳性,左侧阴性。
辅助检查:头颅CT未见脑出血。总胆固醇示5.82mmol/L,糖化血红蛋白7%。心电图示窦性心律,ST-T改变,随机血糖示5.3mmol/L。
诊断过程
初步诊断
脑梗死?
基底动脉瘤?
高血压Ⅲ期
冠状动脉粥样硬化性心脏病(心功能Ⅱ级)
高脂血症
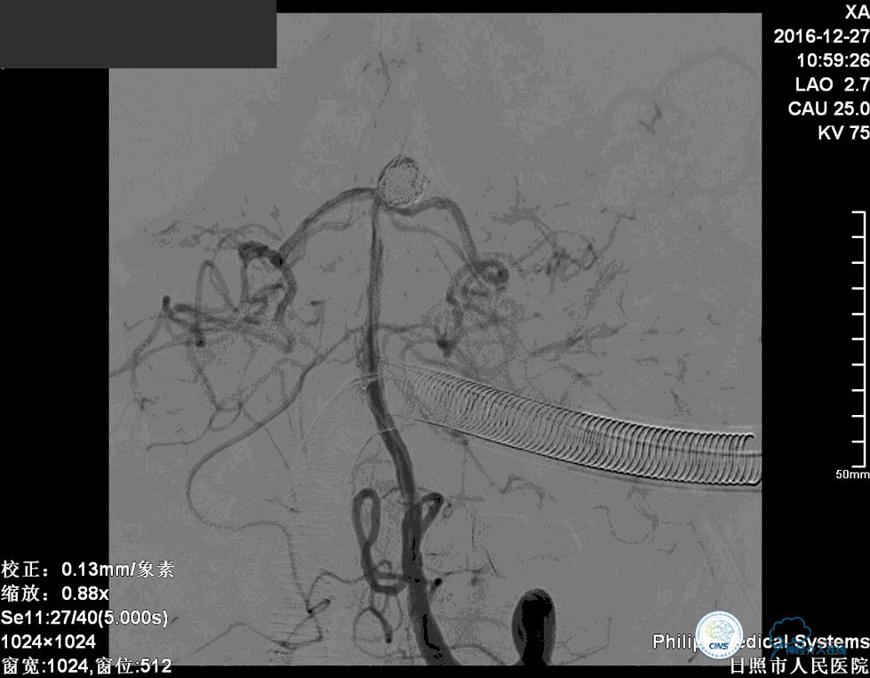
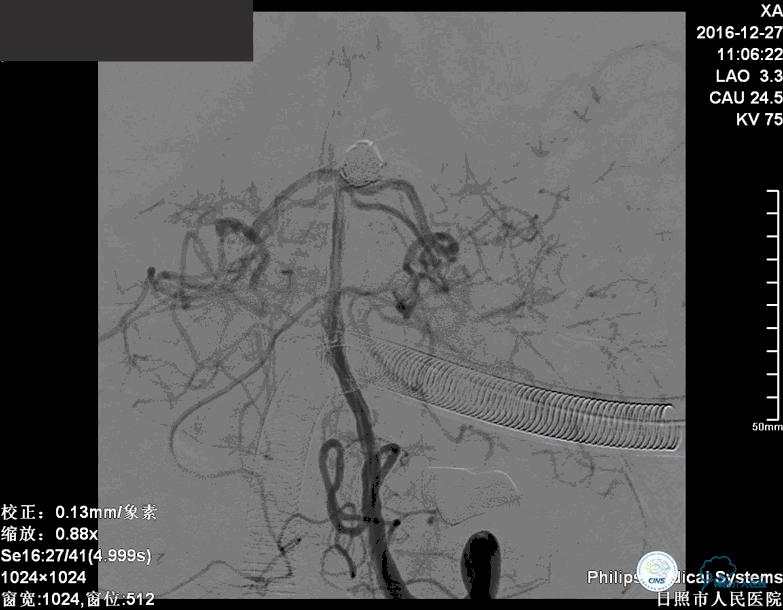
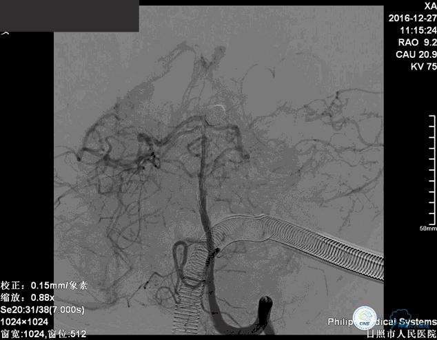
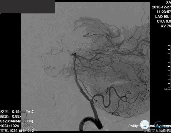
确诊:基底动脉顶端宽颈未破裂动脉瘤,动脉瘤大小约6mm×9mm,瘤颈约4毫米。



注:以下为动图




治疗过程
分别选择了7mmx30cm、6mmx30cm、2个4mmx15cm、3mmx8cm、2mmx8mm Target共6个弹簧圈进行栓塞。










术后
术后患者神志清楚,术后肢体运动较术前未见明显异常。
总结
这是一例基底动脉顶端的宽颈未破裂动脉瘤,对未破裂动脉瘤治疗的主要依据就是除病人因素外,动脉瘤的大小、形态、部位是评估是否需要积极治疗的主要依据。
这个动脉瘤直径大于5毫米,位于基底动脉的顶端,形态不规则,具备破裂的高危因素。所以这个动脉瘤还是应该积极治疗。
对于这个动脉瘤的介入治疗措施,包括球囊辅助弹簧圈栓塞介入治疗、支架辅助弹簧圈栓塞介入治疗、双微导管技术弹簧圈栓塞介入治疗。
这个病例我们采取了双微导管技术弹簧圈栓塞治疗。

双微导管
这个动脉瘤是一个宽颈动脉瘤,动脉瘤的瘤颈和双侧的大脑后动脉关系比较密切。在进行栓塞治疗的时候要避免弹簧圈对双侧大脑后动脉以及小脑上动脉堵塞。
我们将两个微导管分别送入动脉瘤腔内,其中一个塑为u型,一个直头。两个微导管,一个位于动脉瘤较深的部位,1个位相对较浅的部位,交替进行栓塞。
前两个弹簧圈对动脉瘤的瘤颈和动脉瘤的后部进行了栓塞。成篮稳定以后,开始对动脉瘤的内部和前部进行栓塞。
这个手术的难点是在保证动脉瘤致密栓塞的同时,要保证双侧大脑后动脉的通畅。最终手术达到了较好的效果。
术后患者神志清楚,术后肢体运动较术前未见明显异常。双微管技术降低了患者治疗的费用。同时避免了支架置入以后,终生服用抗血小板药物的情况。