"你看你家孩子长得这两颗小*牙虎**,真可爱。"不少人在青春时期都很羡慕同班那个长着*牙虎**笑起来很甜的少年或姑娘,就像现在活跃在娱乐圈的刘昊然、王俊凯、李宇春、佟丽娅这些有*牙虎**的明星,只要张嘴一笑就由衷的使人感到亲切和温暖。
今天我们就来谈谈*牙虎**的那些事

其实*牙虎**和犬齿其实都是尖牙的俗称;
人类一共有28-32颗牙齿,门牙中线往左右数的第三颗就是尖牙;上下一共四颗,牙根粗壮咬合力度大。
“尖牙”是口腔中使用寿命最长的牙齿,在口腔中牙根最深,咬合力最强,和其他哺乳动物一样,尖牙的主要作用是用来撕扯食物的尤其是肉食。
但是随着人类对工具的使用,食物都经过加工才进食,尖牙的作用就没有那么大了,慢慢经过进化也就变得没有那么突出了;

那么现在所出现的'*牙虎**'是怎么形成的呢?
1、 乳磨牙
大部分孩子会在六岁以后开始换牙,乳牙会会陆续脱落被恒牙所代替;
但是如果乳磨牙并没有顺利脱落也没有及时拔除,就会让上尖牙因为萌出受到阻碍向唇侧错位,形成*牙虎**。
但是乳牙因为外力或者龋齿脱落过早,也会容易因为恒磨牙向前移位让尖牙错位,形成*牙虎**。
2、 颌骨作用
孩子因为遗传或后天疾病导致的颌骨发育不完全,齿量大于骨量,就会让牙齿排序本应该占有的空间不足,从而使尖牙错位生长,形成*牙虎**。
所以现在大部分的*牙虎**形成都是因为在幼年生长发育时期发生“意外”、“病变”造成的;
这个'意外'后期生长的好,或许会对患者的颜值起到锦上添花的作用;一旦生长的太过于肆无忌惮,那就是“青面獠牙”的真实写照,由于过分突出,也会直接影响面容。

那*牙虎**可以拔除吗?
不建议拔除。
去到任何一家正规的医院医师都不会主动建议患者拔除掉*牙虎**,尤其是上颌的尖牙,因为这两颗牙齿牙根长且坚固,它不容易患病,是口腔中服务时间最长的牙齿;
并且它所处位置位于嘴角两边的弯角,起到支撑上嘴唇的作用,如果拔除会使嘴唇塌陷,影响面貌显得非常的老,没有精神。
所以除非是牙齿严重畸形或病变,已经危害到其他牙齿健康的程度,否则不建议拔除。

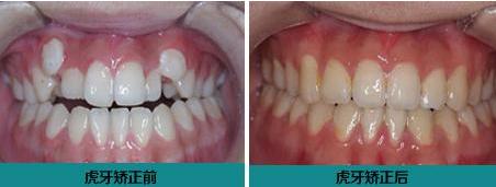
但是这颗*牙虎**已经'虎'到严重影响颜值和日常生活了要怎么办?
可以选择矫正它!
建议先到专业的口腔医院检查,医师会根据患者的年龄和牙齿畸形情况给出适合的矫正治疗方案。如果患者处于青少年正在发育的时期,这个时期颌骨还没有定形比较容易矫正,可以选择进行隐形矫正治疗,在不影响效果的前提下提升了美观度,家长也不用担心带牙套会给孩子的心理带来什么负担;

如果是已经成年,矫正治疗相对来说比较难,可以选择进行美牙冠快速矫正。要是有蛀牙、牙周炎等口腔问题,那无论选择哪种矫正治疗份方法,矫正之前都先进行治疗,医师诊断可以后再进行矫正。
我是牙科医生黄征难,35年从业经历,如果你有任何口腔问题,欢迎在主页私信咨询,或评论留言!可以私信牙片,我来帮你免费问诊!